L’incisive latérale est-elle simplement une incisive centrale de taille réduite ?
La confusion règne quand il s’agit de décrire avec précision l’incisive latérale. Bien trop souvent décrite comme une incisive centrale aux dimensions plus réduites, les raccourcis descriptifs sont ici bien trop réducteurs. En effet, l’incisive latérale venant compléter fonctionnellement l’incisive centrale, elle partage donc logiquement un ensemble de caractères morphologiques. Cependant, elle s’en éloigne aussi par de nombreux aspects : outre ses dimensions plus grêles, l’incisive latérale dispose de détails plus marqués.
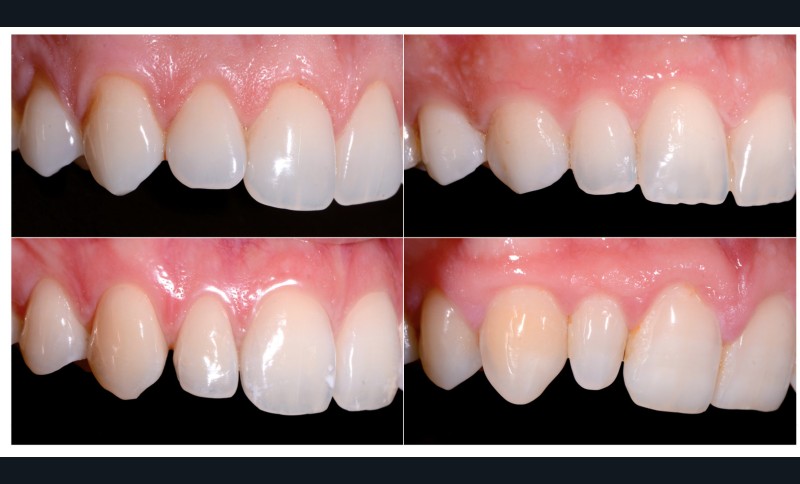
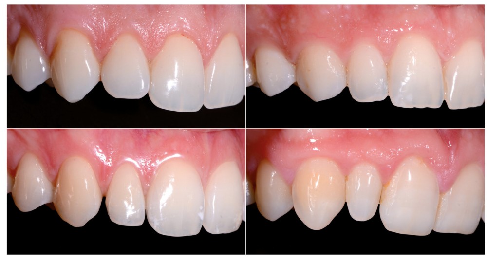
Exception faite de la dent de sagesse, elle est la dent dont les variations anatomiques sont les plus hétéroclites (fig. 1). De nombreuses morphologies sont ainsi retrouvées à l’état naturel (ovoïdes, carrées) ; les lignes de transition des bords proximaux peuvent converger, rendant l’incisive latérale plus ou moins cunéiforme jusqu’à l’extrême, en pointe effilée (communément nommée « riziforme », on retrouve cette forme de nanisme dans la littérature anglo-saxonne sous le terme « peg-shaped lateral incisor »). Les mesures moyennes de l’incisive latérale sont présentées figure 2.
La description anatomique de chacune de ses faces se limitera volontairement à sa forme la plus générique [3, 4] (fig. 3).
La face vestibulaire
Comme énoncé précédemment, cette dent peut montrer une variabilité considérable dans sa morphologie coronaire. Sa largeur mésio-distale réduite donne visuellement une sensation de dent gracile. On retiendra classiquement, des contours de la face vestibulaire dans leur ensemble plus en rondeur que l’incisive centrale avec des angles incisifs fortement arrondis (en particulier l’angle distal qui présente une courbure très marquée). Il en résulte un bord proximal distal plus court par rapport à l’angle…


