Devant tout retard d’éruption, il faut effectuer un bilan clinique et radiologique à la recherche d’une anomalie locale (kyste, odontome…) pouvant être un obstacle sur le chemin d’éruption. L’anamnèse médicale sera importante afin d’éliminer toute cause générale. Un avis orthodontique sera systématique.
Définitions
Il existe une myriade de termes pour désigner les divers retards d’éruption, et des amalgames sont faits entre toutes ces anomalies. C’est le cas, par exemple, de l’utilisation du terme de dent incluse au sens large, qui peut être définie comme « une dent dont le phénomène d’éruption ne lui a pas permis de faire totalement irruption dans la cavité orale ». Or, ce terme est beaucoup trop généraliste. Il paraît donc nécessaire d’avoir une vue d’ensemble de tous les termes utilisés [1].
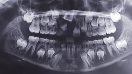
Une dent en rétention est une « dent immature non présente sur l’arcade, à l’âge où elle aurait dû faire son éruption ». Sans traitement, elle peut, en devenant mature, devenir enclavée ou incluse (fig. 1).
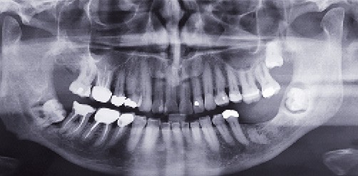
Une dent incluse proprement dite est « une dent encore incluse dans l’os maxillaire ou mandibulaire dont l’édification radiculaire apicale s’est terminée avant que le processus d’éruption ne lui ait permis d’évoluer jusque dans le milieu buccal, sans la moindre effraction de la muqueuse orale et sans contamination du sac péricoronaire par la flore bactérienne buccale » (fig. 2). Une dent en désinclusion est définie comme une « dent restée incluse, une grande partie de la vie, jusqu’à ce que certaines transformations morphologiques de la cavité orale favorisent son exposition au milieu buccal » (fig. 2).
Une dent enclavée (terme utilisé principalement en France) est « une dent dont l’édification radiculaire apicale s’est terminée après que le processus d’éruption…

