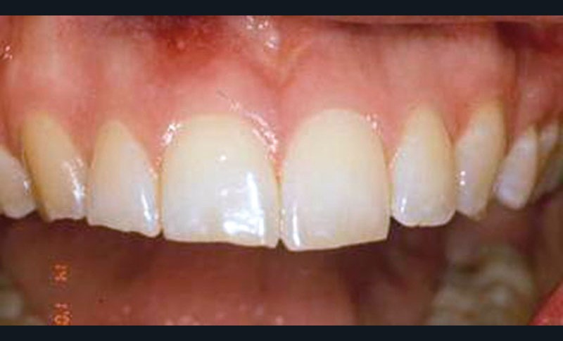
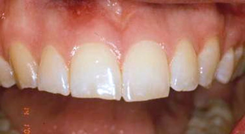
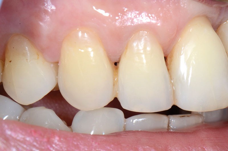
Les papilles gingivales, extensions de la gencive libre marginale sous le point de contact, occupent une place prépondérante dans l’esthétique gingivale du sourire et nécessitent parfois une reconstruction esthétique, puisque la gencive marginale et les papilles sont souvent visibles au cours du sourire [1].
La forme pyramidale de la papille et du col papillaire dépend de la morphologie des dents adjacentes (longueur, largeur, épaisseur, profil), de leur position mésio-distale et apico-coronaire et, par conséquent, de la dimension du point de contact (punctiforme ou étendu). Son volume dépend aussi du biotype parodontal (épais ou fin). À l’état sain, elle occupe la quasi-intégralité de l’espace interproximal, ou embrasure interdentaire, qui est délimité apicalement par la crête osseuse alvéolaire, coronairement par le point de contact, et latéralement par les faces proximales de deux dents adjacentes.
Ses fonctions sont biologiques (barrière de protection parodontale lors des fonctions masticatoires et autres sollicitations mécaniques et biologiques), fonctionnelles (arrêt de l’air et de la salive lors de la phonation) et esthétiques (écrin gingival) [2, 3]. La perte du volume de la papille interdentaire se traduit par l’apparition de triangles noirs [2] libérant plus ou moins l’embrasure interdentaire. L’ampleur des défauts papillaires varie en fonction de leur étiologie [4].
Les causes de la perte des papilles interdentaires sont nombreuses : les maladies parodontales (particulièrement la parodontite ulcéro-nécrotique) et leurs séquelles post-thérapeutiques, les avulsions dentaires traumatiques, l’âge, l’absence de point de contact, l’absence de nettoyage inter-proximal, les malformations dentaires, les soins iatrogènes, les pontiques dentaires ou encore des traumatismes liés aux méthodes de nettoyage des dents [4].
Les conséquences de cette perte…
L’injection d’un gel d’acide hyaluronique pour repulper les papilles interdentaires ?
- Par
- Publié le . Paru dans L'Information Dentaire (page 18-25)
Les lèvres définissent la zone esthétique dentaire (blanche) et parodontale (rose) au cours des diverses mimiques de la face (fig. 1).
Cet article est réservé aux abonnés.
Pour lire la suite :
Vous êtes abonné.e ?
Connectez-vous
Pas encore abonné.e ?
Abonnez-vous
Abonnez-vous pour recevoir la revue et bénéficier des services en ligne et des avantages abonnés.
Vous pouvez également :
Acheter l'article
En version numérique


