L’ostéoblaste : tout ce que vous avez toujours voulu savoir sans jamais oser le demander

  • Par
  • Publié le . Paru dans Biomatériaux Cliniques n°2 - 15 octobre 2020 (page 8-12)
Information dentaire
Une fois mis en place au niveau de l’organisme, un biomatériau va interagir avec l’environnement biologique, ce qui permettra la régénération tissulaire. Comprendre quels sont les acteurs phares de cette régénération aidera à faire le bon choix en matière de biomatériaux. Les premiers acteurs sont les cellules et dans le cadre spécifique de la régénération osseuse, ce sont notamment les ostéoblastes, les ostéoclastes, les ostéocytes, les macrophages et les cellules souches qui vont intervenir. Dans ce premier article, nous vous donnons les points clés pour comprendre l’un des éléments cellulaires essentiels de cette régénération osseuse : l’ostéoblaste, en répondant à trois questions essentielles : Qui est-il ? D’où vient-il ? Que fait-il ? Enfin, nous verrons qu’un grand nombre d’événements physiologiques ou pathologiques peuvent altérer son fonctionnement et avoir des répercussions importantes dans le processus de remodelage osseux. L’ostéoblaste n’aura plus de secret pour vous…

La science des biomatériaux est très largement pluridisciplinaire. Parmi ces disciplines, on trouve notamment les sciences des matériaux, de l’ingénierie, la chimie, la biochimie et bien entendu la physiologie et la biologie. Ces deux dernières tiennent une place prépondérante car le biomatériau doit interagir avec les tissus biologiques. Dans ce cadre, il est donc indispensable de connaître les tissus biologiques entrant en interaction avec les matériaux, et en premier lieu leurs plus petites unités vivantes : les cellules.

Connaître les cellules, c’est comprendre comment le matériau sera perçu par l’organisme : toléré, intégré ou rejeté. Les mécanismes de réparation, cicatrisation, intégration, rejet – pour ne citer qu’eux – sont invariablement médiés par différents types cellulaires et par leurs interactions.

Cet article est le premier d’une série visant à présenter de façon synthétique les différents types cellulaires intervenant dans les mécanismes d’intégration des matériaux, afin de maîtriser les connaissances indispensables.

Le mécanisme de l’ostéointégration représentant un modèle d’intégration important dans le monde dentaire, nous commencerons notre série par les ostéoblastes, grands effecteurs de cette bonne entente entre le matériau « os » et le matériau « implant ».

Qui est-il ?

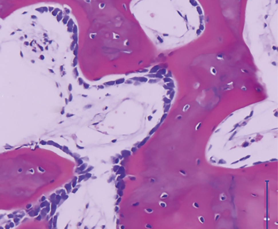
L’ostéoblaste actif est une grande cellule cubique, constituée d’un seul noyau, localisé à la surface de l’os. Il est responsable de la formation du tissu osseux et de son remodelage.

En réponse à une stimulation (d’ordre mécanique ou moléculaire), les ostéoblastes vont élaborer le tissu ostéoïde (matrice organique de l’os constituée principalement de collagène de type 1). Durant cette synthèse, les ostéoblastes y incorporent des facteurs de croissance sous forme inactive tels que Transforming Growth Factor-β (TGF-β), Bone Morphogenic Protein (BMP), Insulin Growth Factor…

Cet article est réservé aux abonnés.
Pour lire la suite :

Vous êtes abonné.e ? Connectez-vous
Mot de passe
oublié ?

Vous pouvez également :

Acheter l'article En version numérique
Acheter le numéro À l'unité

Thèmes abordés

Sur le même sujet

Biomatériaux

Article réservé à nos abonnés TEST AUTEURS

TEST ORDRE DES AUTEURS
Biomatériaux Endodontie

Article réservé à nos abonnés Sous la lumière bleue, les secrets de la photopolymérisation

Les techniques et les matériaux de restauration ont considérablement évolué au cours des dernières décennies. Parmi eux, les restaurations composites...