La « Biomimétique » : un concept contemporain au cœur de la dentisterie adhésive

  • Par
  • Publié le . Paru dans Réalités Cliniques n°4 - 15 décembre 2013 (page 331-343)
Information dentaire
RESUME
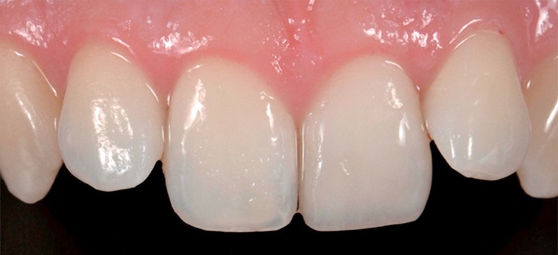
Grâce à la sophistication des techniques adhésives et aux développements des matériaux composites et céramiques, il est possible aujourd’hui de reproduire une correspondance biomimétique entre des matériaux de substitution esthétique et le substrat anatomique d’une dent naturelle. Dans le cadre de la dentisterie contemporaine, le concept “Biomimétique” ou “Bioémulation”, qui trouve son origine dans l’étude histo anatomique des tissus naturels de la dent est un véritable synonyme d’intégration naturelle des biomatériaux mimant ou émulant au plus proche le comportement physiologique de la dent naturelle. Ce concept permet d’associer deux paramètres fondamentaux au cœur des thérapeutiques actuelles : la préservation tissulaire et l’adhésion. Les restaurations adhésives en céramique représentent dans le secteur antérieur les ambassadrices de cette dentisterie Biomimétique.

IMPLICATION CLINIQUE
La compréhension et l’application clinique des principes biomimétiques doivent permettre la forte diminution des dommages pulpaires et dépulpations excessives, la quasi disparition des tenons et ancrages corono radiculaires ainsi que la suppression des couronnes unitaires de “première intention”, en replaçant ainsi leurs indications actuelles dans le cadre de la réintervention prothétique.

Dans le cadre de la dentisterie contemporaine, le changement fort de paradigme qui s’opère dans le domaine de la prothèse conjointe concerne tout aussi bien ses indications actuelles que les biomatériaux et les modes d’assemblage qu’elle met en œuvre (1, 2).

Il est donc clairement admis que la prothèse conjointe conventionnelle basée sur des concepts essentiellement mécanistes à l’origine d’une perte tissulaire souvent excessive, voire extrême n’est plus acceptable tant sur le plan biologique que biomécanique (1, 3). Ainsi aujourd’hui, seuls les délabrements coronaires ne présentant pas de support dentaire suffisant et fiable mécaniquement pour un collage de qualité devraient rester les seules indications de la couronne unitaire (1, 2). En dehors de cette indication spécifique, la réalisation d’une couronne périphérique devrait légitimement se faire dans le cadre de la seule réintervention prothétique.

Parallèlement, les techniques adhésives offrent effectivement aujourd’hui au praticien la possibilité d’indiquer et réaliser dans de nombreuses situations des restaurations partielles aussi bien sur dents pulpées que sur dents dépulpées. Au-delà du statut pulpaire des dents concernées, ces restaurations peuvent aussi répondre à des contextes de perte de substance parfois importante; en particulier ceux relevant des phénomènes pathologiques d’érosion/usure en augmentation croissante dans tous les pays du monde et dont certains affichent un degré de sévérité extrême (4, 5, 6).

De plus, l’allongement de la durée de vie de nos concitoyens (en moyenne un trimestre par année) impose un nombre de réinterventions sur les restaurations plus important dans le temps. Cette donnée nécessite donc plus que jamais la conservation optimale des tissus lors des premières interventions cliniques sur la dent afin de rendre possibles et plus aisées toutes les réinterventions futures (3).

Ce changement de paradigme et cette…

Cet article est réservé aux abonnés.
Pour lire la suite :

Vous êtes abonné.e ? Connectez-vous
Mot de passe
oublié ?

Vous pouvez également :

Acheter l'article En version numérique
Acheter le numéro À l'unité

Thèmes abordés