Temps par temps de la mise en œuvre
Il existe de nombreuses méthodes de mise en forme de la céramique (pâte crue, pressée, usinage, impression 3D…) avec lesquelles le chirurgien-dentiste n’est pas systématiquement familiarisé. Dans le cadre de cet article, nous décrirons la pressée verticale de céramique (ici le disilicate de lithium) que nous réalisons quotidiennement dans notre laboratoire de prothèse. La pressée est une technique qui reprend celle de la cire perdue. La maquette en cire peut être confectionnée artisanalement ou par CFAO. Elle reproduira l’intégralité du volume de la restauration avant un maquillage superficiel (monolithique) ou un maquillage en profondeur après retrait d’une partie de la céramique (cut back) ou sera limitée à une chape émaillée secondairement. Les étapes cliniques et de laboratoire sont ainsi illustrées par la figure 1.
Un cas clinique (Dr Gil Tirlet, Paris) correspondant à la réalisation de deux facettes antérieures 11 et 21, en insistant sur les étapes de laboratoire, illustrera la mise en forme par pressée.
Au cabinet
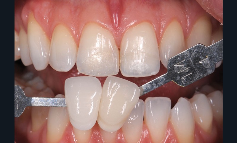
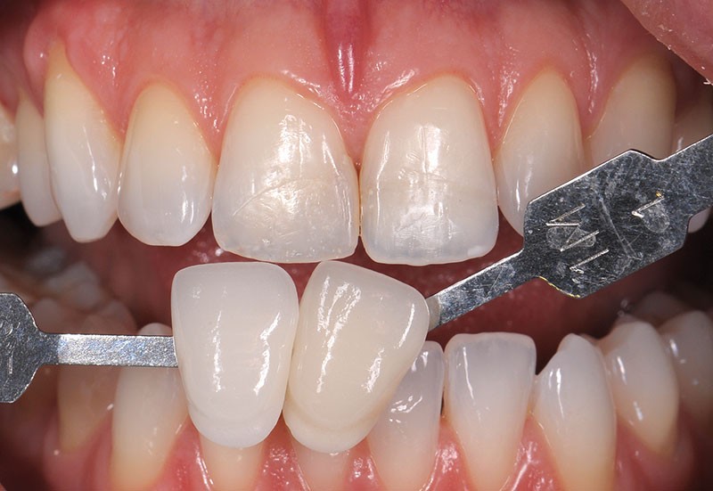
Le praticien réalise le relevé de couleur des dents naturelles (fig. 2 et 3) puis prend les empreintes nécessaires.
Au laboratoire
Les empreintes sont coulées de manière classique (fig. 4).
Les chapes homothétiques sont réalisées (fig. 5) conformément au protocole du fabricant (Ivoclar-Vivadent) et, dans ce cas précis, par la technique du CPC [1].
Ici, il a donc été choisi de réaliser une chape de disilicate de lithium émaillée secondairement, comme c’est souvent le cas dans le secteur antérieur pour optimiser la circulation de la lumière et pour améliorer la fluorescence. Le choix du lingotin se fera en fonction de sa translucidité, de sa luminosité…




