SFPIO - Rubrique de la Société Française de Parodontologie et d’Implantologie Orale
Présentation du cas
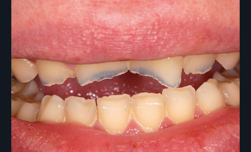
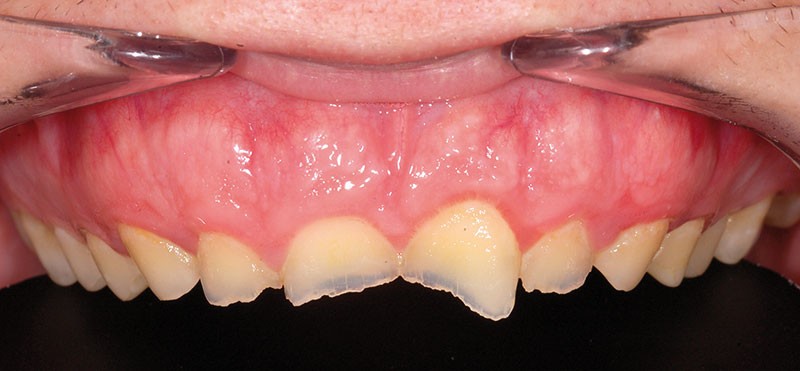
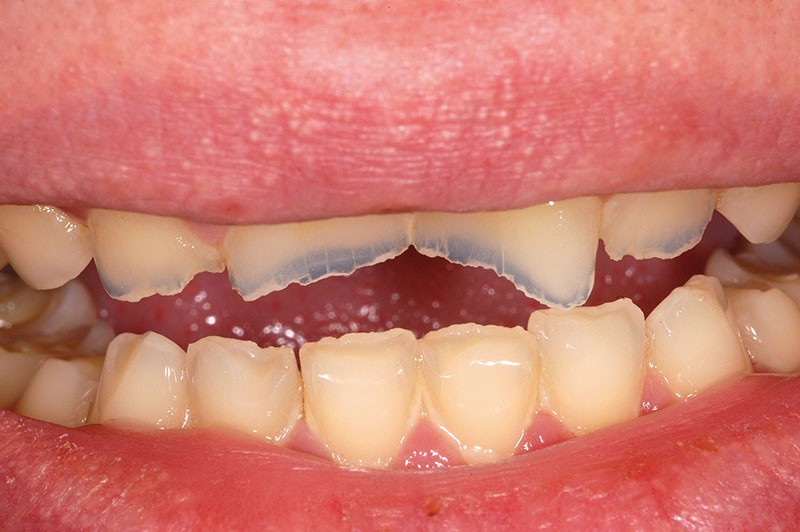
Un patient de 28 ans se présente avec des lésions très importantes touchant aussi bien les secteurs postérieurs qu’antérieurs. Après anamnèse et examens clinique et radiologique, on note des pertes de substance ayant certainement pour partie une origine chimique, le patient indiquant une consommation très régulière de boissons de type soda.
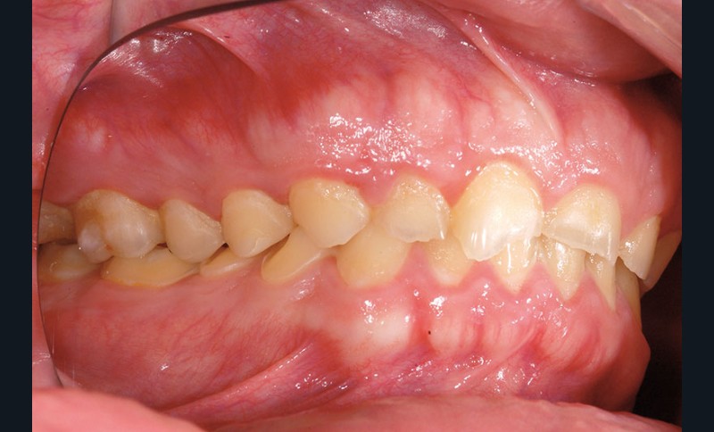
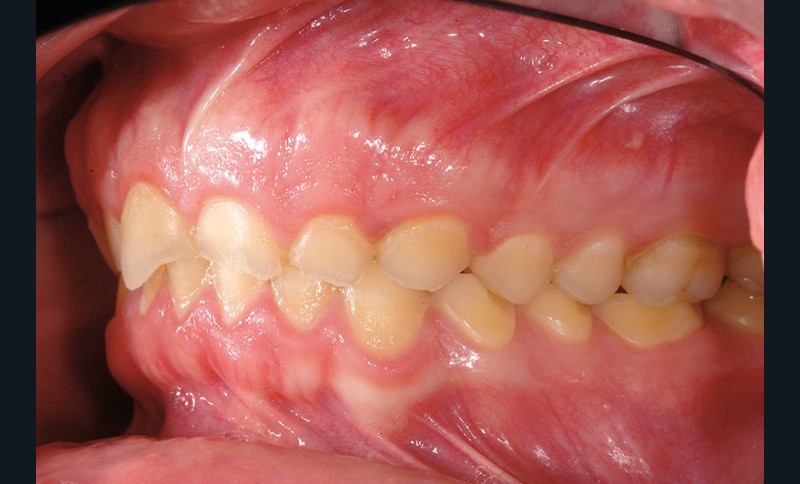
À l’examen clinique, les dents, principalement antérieures, présentent des pertes de substances importantes de classe V selon la classification ACE (Anterior Clinical Erosive Classification) de Vailati [1] (fig. 1 à 6).
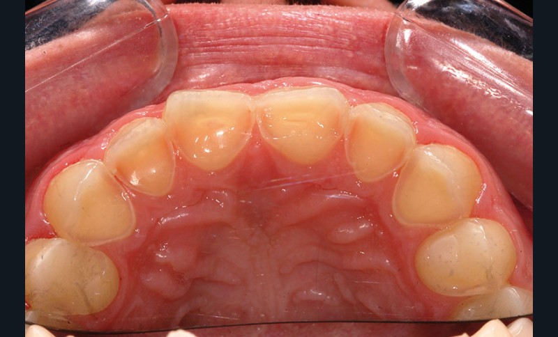
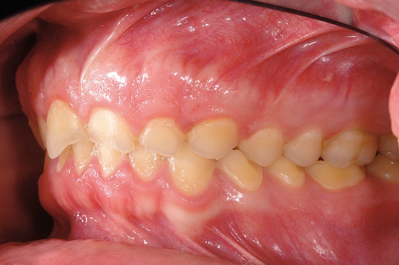
Les examens complémentaires, dont un sondage parodontal, montrent l’absence de maladie parodontale (fig. 7).
Le parodonte marginal est de type 1 selon la classification de Maynard et Wilson [2]. On note également la présence d’une grande quantité de gencive attachée située apicalement par rapport aux lésions dentaires.
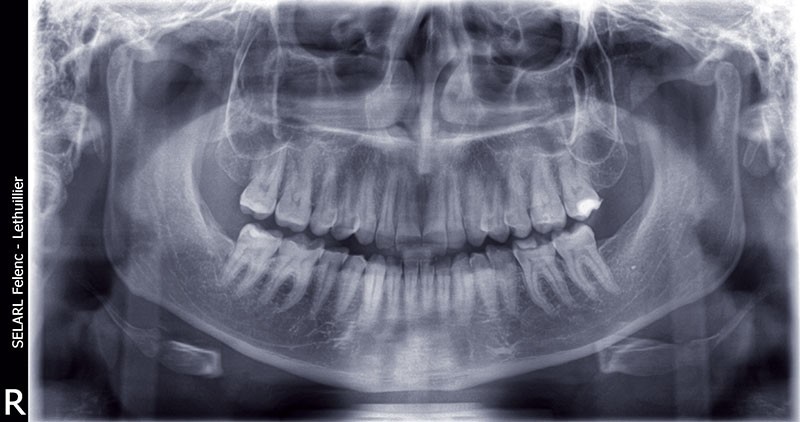
L’examen radiologique ne révèle aucune perte osseuse interproximale, ni de lésions endodontiques (fig. 8).
Traitement
Avant même de débuter un éventuel traitement, la première chose à faire est de corriger les habitudes nocives du patient en interrompant la prise régulière de sodas. Puis, dans un second temps, le traitement en tant que tel peut débuter.
L’analyse esthétique peut être réalisée par différents logiciels mis actuellement à notre disposition (ici, Digital Smile Design) [3] pour prévisualiser les formes de dents ainsi que le positionnement idéal des collets anatomiques (fig. 9).
Cet…








