La chirurgie pré-prothétique soustractive dans l’intégration des prothèses amovibles

  • Par
  • Publié le . Paru dans Stratégie Prothétique n°1 - 15 février 2024 (page 58-67)
Information dentaire
– En quoi les torii peuvent-ils être une entrave à la réalisation d’une prothèse amovible ? – La résection chirurgicale des torii est-elle systématique dans le cadre d’une réhabilitation prothétique ? – Quelle est l’importance de l’analyse pré-prothétique avant d’entreprendre la réalisation prothétique ? – Quels sont les objectifs et indications de la chirurgie dite pré-prothétique ?

Ces dernières années, l’avènement des techniques implantaires, tant chirurgicales que prothétiques, a permis de remplacer les dents absentes et de restaurer la fonction perdue chez bon nombre de patients présentant des édentements pluraux. Forte d’un recul clinique de 40 ans et d’une validation scientifique, l’implantologie s’érige désormais comme la solution médicale optimale pour remplacer l’organe dentaire manquant.

Nonobstant, toutes les situations cliniques ne peuvent répondre favorablement au traitement implantaire et ce pour diverses raisons, notamment au vu des contre-indications générales d’ordre médical et/ou locales. Le coût des traitements implantaires pose également la problématique de son accessibilité. La prothèse amovible, partielle ou totale, toujours d’actualité, se voit alors indiquée.

La réalisation de prothèse amovible nécessite dans certains cas un aménagement tissulaire préalable par le biais de chirurgies dites pré-prothétiques. L’objectif de ces dernières est l’intégration biologique, mécanique et fonctionnelle des prothèses amovibles et leur optimisation dans le temps. De façon générale, il s’agit soit de plastie par soustraction (remodelage et exérèse), soit de plastie par addition (greffe).

La modification de l’architecture ostéo-muqueuse des tissus buccaux, en amont de la réhabilitation prothétique, est dans certains cas un prérequis indispensable. Cette dernière est systématiquement suivie d’une période de mise en condition tissulaire à l’aide de prothèse provisoire et de matériau ad hoc, permettant d’une part de guider la cicatrisation et d’autre part de valider le concept fonctionnel occluso-prothétique de la future restauration d’usage anatomo-physiologique.

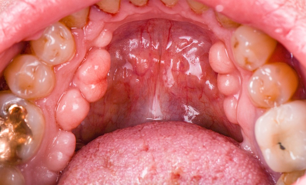
Bien que souvent asymptomatiques, les torii peuvent devenir, selon leur localisation, leur volume et leur taille, une entrave à la réalisation d’une prothèse amovible [1]. Chez certains patients…

Cet article est réservé aux abonnés.
Pour lire la suite :

Vous êtes abonné.e ? Connectez-vous
Mot de passe
oublié ?

Vous pouvez également :

Acheter l'article En version numérique
Acheter le numéro À l'unité

Thèmes abordés