Diagnostic
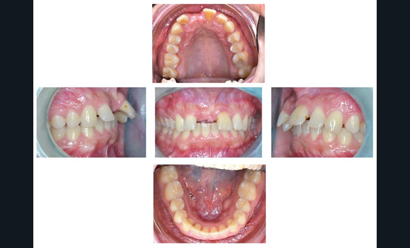
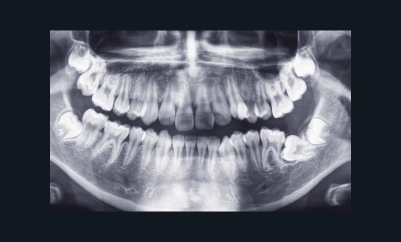
Charlotte présente donc une absence de 11, un surplomb et un recouvrement augmentés associés à une retromandibulie. La patiente a un profil convexe, hypodivergent avec une proalvéolie maxillaire et une classe II d’Angle. (fig. 1a à h). La radiographie panoramique confirme l’absence de 11 et la téléradiographique de profil, révèle une classe II squelettique (ANB : 6°, AoBo : 9 mm) par rétromandibulie ainsi qu’une proalvéolie maxillaire prononcée.
(I/Na : 40° I-Na : 7 mm) (fig. 2a et b).
Les objectifs de ce traitement étaient multiples :
– esthétique, pour diminuer la convexité du profil et améliorer le sourire ;
– squelettique, pour corriger le décalage squelettique le plus vite possible et obtenir une classe I de Ballard ;
– dentaire, pour obtenir des rapports de classe I molaire et canine, aménager l’espace implantaire nécessaire et suffisant pour la réhabilitation de la 11 et normaliser le surplomb et un recouvrement ;
– fonctionnel, afin de rétablir un guide antérieur fonctionnel.
Traitement
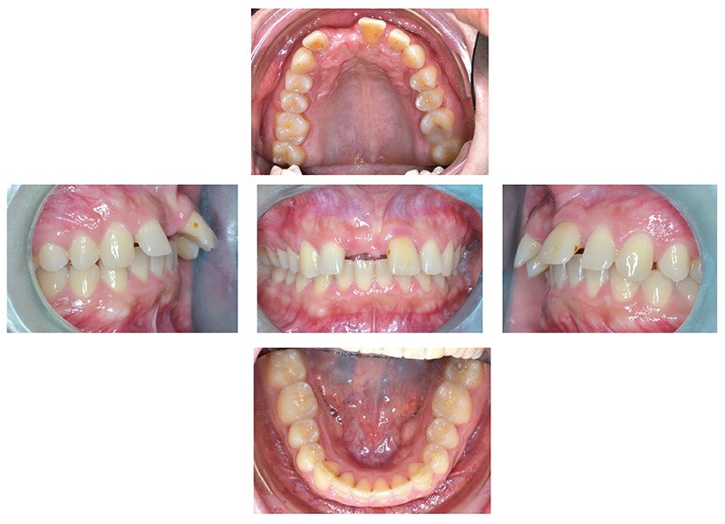
Il a été décidé de mettre en place un traitement ortho-chirurgical avec multi-attaches maxillaire et mandibulaire et avancée mandibulaire première (fig. 3a) [1]. Ce traitement est réalisé en technique d’arc droit avec des attaches vestibulaires informées en Roth en .022 x .028. Il durera quinze mois, pose d’implant comprise.
La patiente est appareillée une semaine avant la chirurgie d’avancée mandibulaire première sans mise en place de l’arc (Chirurgie réalisée par le Dr Laurentjoye). Dix jours après la chirurgie, les premiers arcs (.016 Niti) sont mis en place, avec l’utilisation de tractions intermaxillaires d’intercuspidation tendance classe II (fig. 3b). Après la réalisation du traitement et la mise en place d’une dent provisoire sur l’arc à la taille et la forme souhaitées…



