La cicatrisation péri-implantaire : de l’ostéointégration à la ré-ostéointégration ?

  • Par
  • Publié le . Paru dans Réalités Cliniques n°1 - 15 mars 2016 (page 45-52)
Information dentaire
Résumé
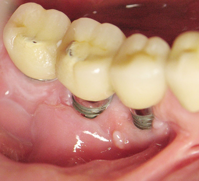
La prothèse implanto portée est un moyen formidable de compenser un édentement grâce à l’ostéointégration de l’implant. Cette réponse tissulaire est dépendante de facteurs influençant la réponse osseuse : la qualité osseuse, le matériau implantaire, la forme implantaire, l’état de surface et le temps de cicatrisation. Malgré toutes ses précautions, des destructions péri-implantaires peuvent apparaître notamment à cause de péri-implantites. Les techniques de traitements non chirurgicales et chirurgicales (régénératives ou non) sont pratiquées avec comme objectif une ré-ostéointégration. Un contact direct os néoformé-implant est observé, mais celui-ci ne recouvre jamais intégralement la surface implantaire préalablement exposée et contaminée lors de la péri-implantite. Cela souligne la nécessité de stabiliser les maladies parodontales préalablement et l’importance de la sélection, de l’éducation et de l’information des patients avant la pose d’implant.

Implication clinique
La ré-ostéointégration est possible sur une surface préalablement contaminée, mais son succès et son taux varient considérablement, elle est donc non prédictible et n’est jamais obtenue de façon complète quelles que soient les thérapeutiques étudiées.

C. VERNER, H. MARTINEAU VOISIN

L’utilisation des implants pour remplacer les dents absentes est une méthode de référence, avec un bon résultat à long terme, et pérenne si le protocole est respecté. Les implants positionnés dans l’os nécessitent une intégration par cicatrisation osseuse autour de l’implant : c’est l’ostéointégration. Ce phénomène est influencé par la qualité osseuse et les matériaux implantaires.
Malheureusement, il existe aussi des échecs ou des situations empêchant cette intégration osseuse, comme la péri-implantite. De nombreux protocoles ont été proposés pour pallier ces problèmes et notamment, espérer une réparation, voire une ré-ostéointégration.

L’ostéointégration

La fixation de l’implant par forage dans l’os permet une réparation osseuse induisant une intégration de l’implant : l’ostéointégration. Contrairement aux tissus mous, il n’y a pas de séquelle cicatricielle qui se forme lors de la réparation osseuse lorsqu’elle a lieu dans de bonnes conditions. Elle est définie par Albrektsson [1, 2] comme étant : « une jonction anatomique et fonctionnelle directe entre l’os vivant remanié et la surface de l’implant mis en charge ».

Cependant, cette cicatrisation nécessite quelques prérequis :
• une surface de l’implant stable et adaptée à l’apposition osseuse : matériaux bio-inertes ou bioactifs,
• la présence de cellules osseuses telles que les ostéocytes, les ostéoblastes et les ostéoclastes,
• une nutrition adéquate de ces cellules grâce à un réseau vasculaire développé,
• un environnement biomécanique approprié comparable à une réduction de fracture avec une bonne coaptation entre l’os et la surface implantaire,
• une stabilité primaire dépendant du design implantaire et de l’emmanchement dans l’os.
La jonction anatomique directe entre l’os et l’implant est activée par la matrice osseuse préexistante. Quand la matrice est exposée…

Cet article est réservé aux abonnés.
Pour lire la suite :

Vous êtes abonné.e ? Connectez-vous
Mot de passe
oublié ?

Vous pouvez également :

Acheter l'article En version numérique
Acheter le numéro À l'unité

Thèmes abordés