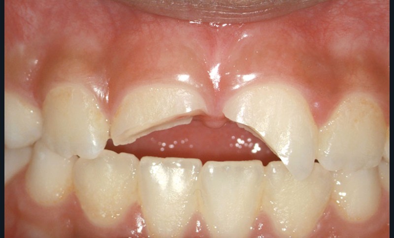
Dans les ouvrages et publications cliniques et scientifiques, une confusion linguistique s’est installée depuis plusieurs années à propos des termes utilisés pour décrire la protection pulpaire en odontologie. Cette différence est encore plus flagrante entre les spécialités. D’un point de vue purement sémantique, le « coiffage pulpaire » correspond à la mise en place d’un biomatériau au contact direct de la pulpe dentaire. L’exposition de ce tissu peut être d’origine traumatique (fracture coronaire par exemple), ou consécutive au curetage du tissu carieux au cours d’un soin conservateur, voire à une amputation volontaire (partielle ou totale) du tissu caméral (fig. 1).
Cependant, il est généralement considéré que le coiffage pulpaire direct ne concerne que l’exposition traumatique. Lorsqu’une éviction partielle du tissu est envisagée, on parle alors de « pulpotomie partielle », voire de pulpotomie camérale. Dans cette situation, le « coiffage pulpaire » est considéré comme une technique opératoire et non comme un concept thérapeutique, ce qui ne sera pas le cas dans la suite de cet article.
Qu’une amputation partielle soit effectuée ou non, un matériau est placé directement en contact avec le tissu pulpaire, et il s’agit donc bien d’un « coiffage pulpaire ». Dans les techniques opératoires, ce qui peut changer n’est que la préparation du tissu à recevoir le matériau, afin de le placer dans des conditions biologiques idéales pour induire une cicatrisation et une protection de sa vitalité dans le temps.
Intérêt clinique des techniques de coiffage direct
Le développement récent de nouveaux biomatériaux a provoqué un regain d’intérêt pour la conservation de la vitalité pulpaire, et permet de reconsidérer progressivement la systématisation des indications de traitement endodontique en cas d’exposition pulpaire. L’odontologie…


