La coiffe pédodontique préformée sur dent temporaire

  • Par
  • Publié le . Paru dans Profession Assistant(e) Dentaire (page 26-29)
Information dentaire
La maladie carieuse et les anomalies de structure peuvent provoquer un délabrement coronaire important des molaires temporaires. La coiffe pédodontique préformée répond à ce problème et permet ainsi aux molaires temporaires d’assurer leur rôle de mainteneur d’espace et de guide d’éruption des dents permanentes jusqu’à leur exfoliation physiologique. Le but de cet article est de détailler les principes de mise en œuvre et d’en justifier son utilisation.

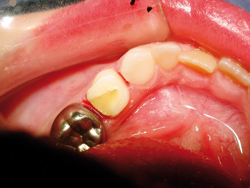
Les coiffes pédodontiques préformées (CPP) sont introduites en odontologie pédiatrique en 1950 par Humphrey. Ce sont des couronnes métalliques, en acier inoxydable, commercialisées par 3M qui ont la forme anatomique des molaires temporaires.

Avantages de la CPP

La longévité
Les CPP ont une longévité supérieure aux restaurations foulées et coulées.

La reconstitution anatomique ad intégrum

Les CPP représentent assez fidèlement l’anatomie idéale des couronnes des molaires temporaires. Présentées dans des coffrets assortis de plusieurs dimensions pour chaque dent temporaire, elles permettent de restaurer l’espace mésio-distal en rétablissant les points de contacts.

La mise en œuvre
La réalisation de ces CPP se fait en une seule séance, au fauteuil, sans intervention d’un laboratoire de prothèse.

Les propriétés du métal
L’alliage inoxydable utilisé pour la fabrication des CPP est le nickel chrome. Cet alliage procure la résistance et l’élasticité de la coiffe.
L’élasticité du métal permet l’insertion de la coiffe et sa rétention. La ductilité offre un façonnage facile de la coiffe. L’épaisseur (2/10e de mm) et son poli permettent une bonne tolérance des tissus de soutien et une faible rétention de la plaque bactérienne.

Limites de la CPP : inesthétique

En dépit de toutes les qualités mentionnées auparavant, les CPP des molaires temporaires ont un inconvénient majeur : elles sont inesthétiques car métalliques.
Devant la demande importante des parents désireux d’avoir des restaurations esthétiques chez les enfants, certains fabricants fabriquent des coiffes pédodontiques préformées en zircone : EZ Pedo.

Indications et contre-indications

Indications
Les coiffes pédodontiques préformées sont indiquées dans les cas de grands délabrements coronaires qui atteignent plusieurs faces de la dent :
• lésions carieuses responsables d’une perte tissulaire importante,
• anomalies de structure coronaire (hypoplasie, hypominéralisation…

Cet article est réservé aux abonnés.
Pour lire la suite :

Vous êtes abonné.e ? Connectez-vous
Mot de passe
oublié ?

Vous pouvez également :

Acheter l'article En version numérique

Thèmes abordés