Grand Prix éditorial ID 2023, L’implantologie numérique, maintenant et demain
3e cas lauréat 2023
Présentation du cas
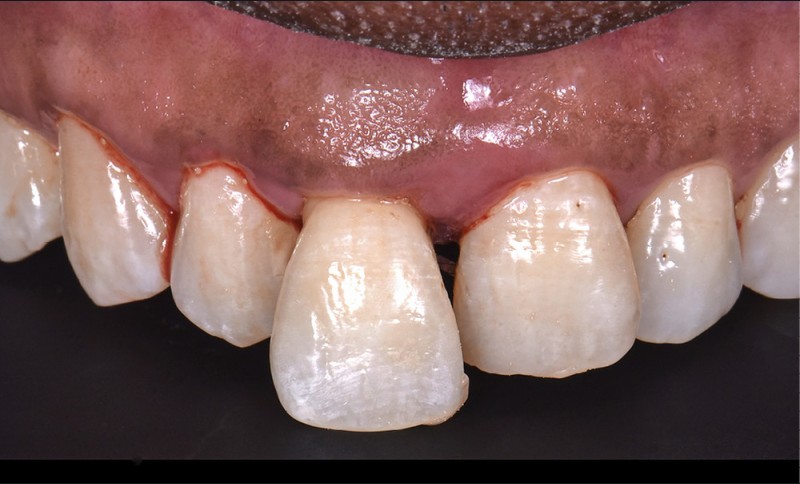
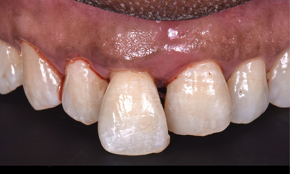
Un patient se présente à la consultation pour des douleurs de gencives. âgé de 52 ans, il est en excellente santé. Il est non-fumeur, n’a aucun antécédent médical ni parafonction et ne prend aucune médication. Après un traitement parodontal complet, étalé sur plusieurs séances, son parodonte est stable. Après les rendez-vous de maintenance régulièrement suivis, nous lui proposons de résoudre le problème de l’extrusion de son incisive centrale maxillaire. Il est extrêmement gêné par cette 11 depuis toujours, car elle présente une position vestibulaire et basse qui vient toucher la lèvre inférieure au repos.
Étant parfaitement équilibré en classe I dans les secteurs postérieurs, sans guidage incisif, le patient ne souhaite pas de traitement orthodontique ; l’alignement accentuerait ses dents triangulaires et créerait probablement des triangles noirs. Il ne sourit que très peu, lui donnant une ligne de sourire assez basse et des exigences esthétiques assez faibles. Seule sa centrale le préoccupe.
Le bilan pré-implantaire [1]
Le biotype gingival est épais et faiblement festonné (fig. 1). Le sourire est dit « animé ». La ligne de collet est plus basse sur la 11 que sur les dents adjacentes. Le cone beam réalisé après la rétro-alvéolaire confirme l’absence d’infection malgré une mobilité de type 2, la dent a poursuivi lentement son égression sans déficit osseux horizontal sur la dent ni sur les dents adjacentes. Le degré de difficulté réside dans le diamètre mésiodistal si nous souhaitons restaurer une dent dans la courbe de l’arcade, et dans les caractérisations de surface et de teinte des dents adjacentes.
Réflexion avec le laboratoire
À partir du cone beam mis en relation avec l’empreinte numérique, le projet prothétique propose de réaliser…
