En 2018, avant de découper un élément céramo-céramique, plusieurs questions peuvent se poser :
– quelle est la meilleure fraise à cet usage ?
– que penser de l’utilisation des fraises jetables ?
– comment optimiser ses performances ?
Malheureusement, la littérature concernant les outils rotatifs est rare et leurs conceptions s’élaborent de manière empirique. Une fraise est conçue après un grand nombre de tests réalisés en laboratoire et au cabinet dentaire. Ainsi, les industriels ayant une forte expérience dans la fabrication des fraises dentaires ont souvent une longueur d’avance. Une fraise peut paraître parfois un outil à usage instinctif. Son utilisateur devra néanmoins connaître ses conditions précises d’utilisation et ses limites.
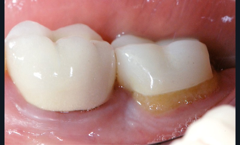
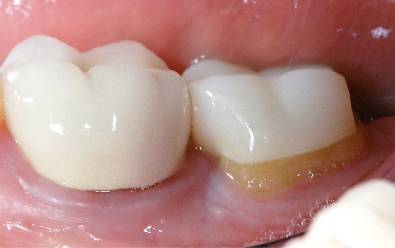
Les coiffes céramo-céramiques (par exemple les coiffes en zircone ZrO2) sont fiables et durables. Cependant, leur dépose peut être nécessaire pour des raisons endodontiques, parodontales, esthétiques ou prothétiques (fig. 1 et 2).
Lorsque l’indication de dépose d’une prothèse fixée céramo-céramique est posée, elle est toujours associée au risque d’atteinte des structures dentaires sous-jacentes.
Lorsque la situation clinique le permet, les techniques de découpe sont préférées aux techniques
de descellement. En effet, l’utilisation de système
Questions…
Question 1 La turbine est-elle le porte-instrument rotatif de choix pour la découpe des éléments céramo-céramiques ?
Question 2 La dépose d’une couronne céramo-céramique implique-t-elle le plus…

