repousser les limites de nos traitements grâce aux plaques d’ancrage
Diagnostic
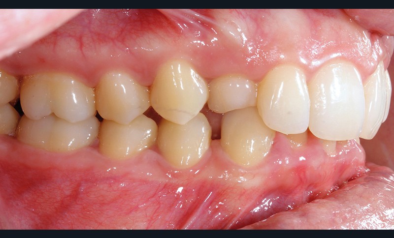
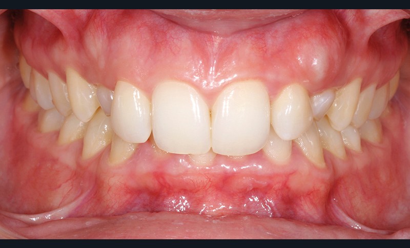
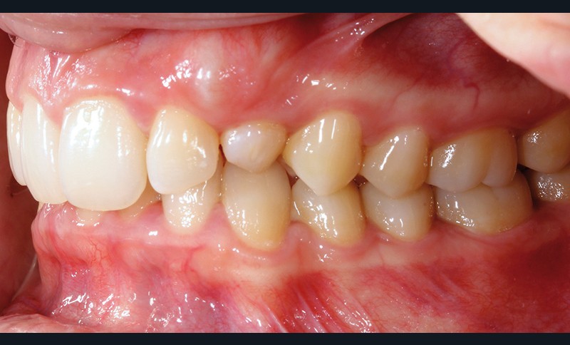
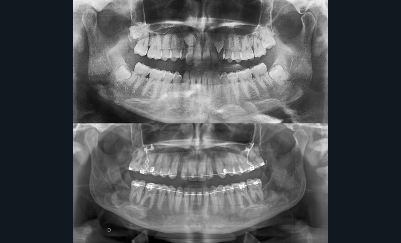
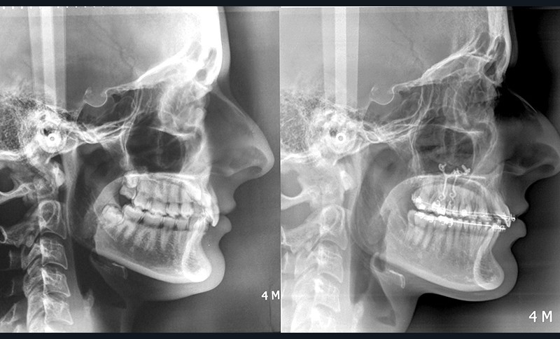
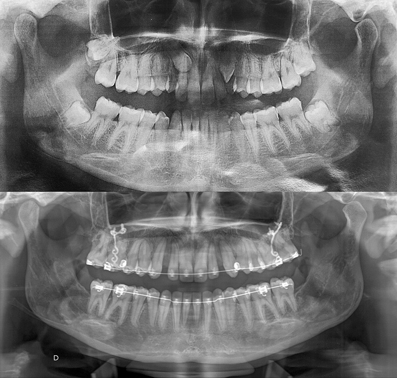
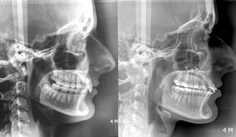
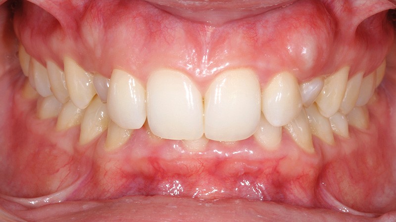
Aline se présente à la consultation pour une demande esthétique concernant ses deux canines lactéales qu’elle trouve trop petites et trop blanches (fig. 1a). Elle présente une classe II squelettique légère sur un schéma méso-divergent. D’un point de vue dentaire, une supraclusion est associée à une classe II d’Angle complète à gauche et de 4 mm à droite. Les canines maxillaires sont incluses (une vestibulaire et une palatine), avec persistance de leurs dents lactéales sur l’arcade (fig. 1b-h).
Traitement multi-attaches et contention
Un protocole orthodontico-chirurgical avec avancée mandibulaire est envisagé pour assurer un bon soutien labial, mais cette option est refusée par la patiente qui craint un visage trop carré. Concernant l’inclusion des canines maxillaires définitives, plusieurs thérapeutiques sont envisageables : 53, 63, 13, 23, ou 53, 63, 14, 24 peuvent être extraites, avec pour conséquence une classe II thérapeutique au niveau des molaires en fin de traitement. Cependant, la patiente souhaite mettre en place ses canines incluses pour conserver tout son capital dentaire et rétablir un idéal fonctionnel et esthétique au niveau des dents antérieures (fig. 2).
Dans un premier temps, des attaches bidimensionnelles (20/25 antérieures et 22/28 postérieures en Roth) sont collées aux deux arcades. L’alignement-nivellement est initié par des 0.014 Niti. Des plaques d’ancrages osseuses…






