La préparation chimio-mécanique
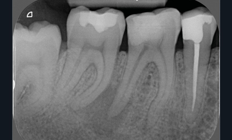
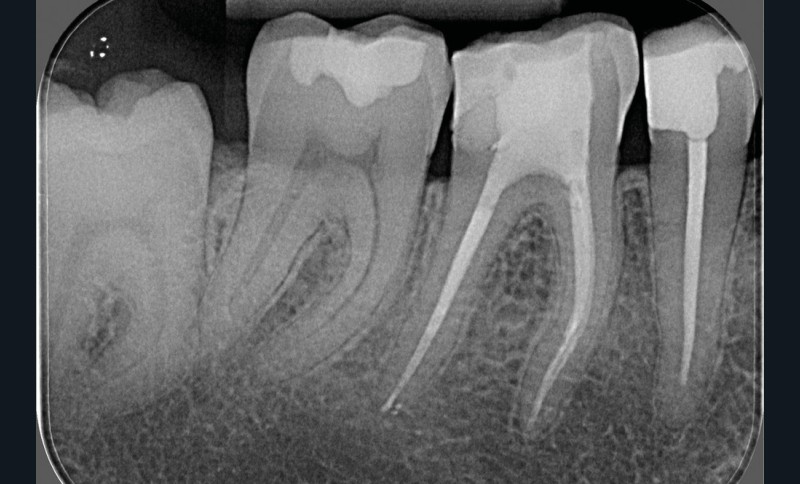
Lors de la préparation endodontique, les instruments vident et mettent en forme les canaux. Il en résulte une diminution du contenu canalaire infecté qui doit être complétée par l’utilisation d’une solution d’irrigation antiseptique [2]. C’est le concept de la préparation chimio-mécanique : les instruments ouvrent la voie et ménagent l’espace nécessaire à l’irrigation qui, par son action chimique, parfait le nettoyage et la désinfection du système canalaire.
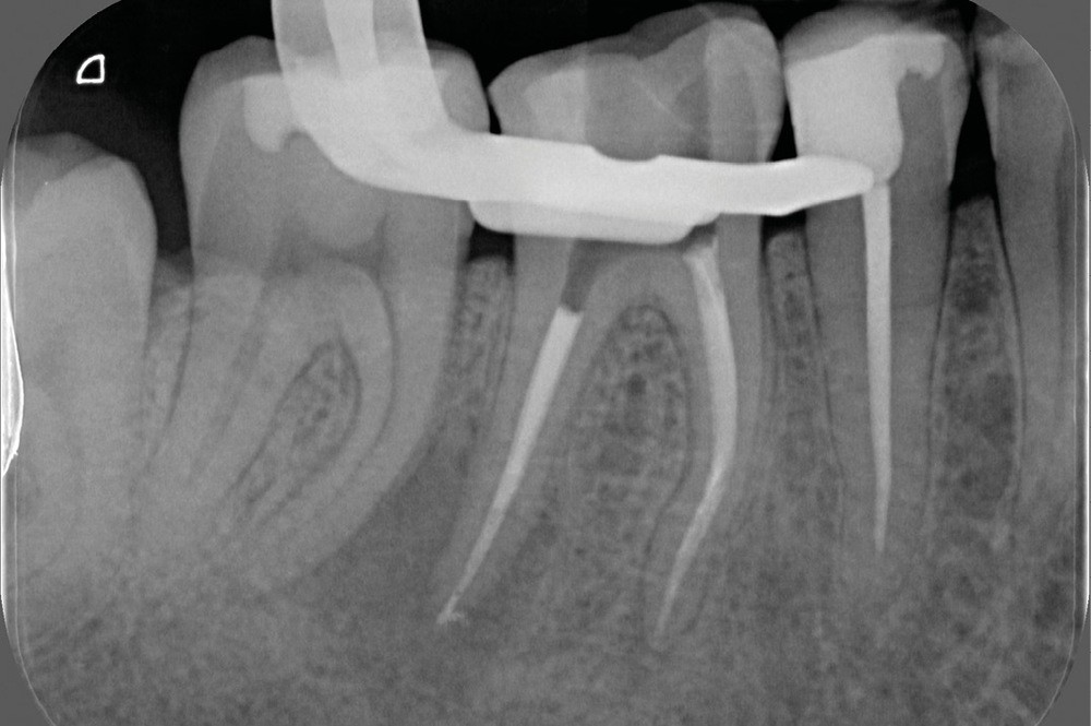
La préparation mécanique est principalement réalisée à l’aide d’instruments NiTi utilisés en rotation continue ou en réciprocité selon une approche corono-apicale. La mise en forme est ainsi plus rapide et respecte mieux le trajet canalaire initial qu’avec une instrumentation manuelle. Le diamètre apical et la conicité de la préparation canalaire font toujours débat. Ils dépendent de l’anatomie initiale et doivent permettre une irrigation efficace sans fragiliser la dent. Ainsi, un diamètre apical de 30 et une conicité de 6 % sont souvent proposés comme objectif minimal à atteindre [3] (fig. 1).
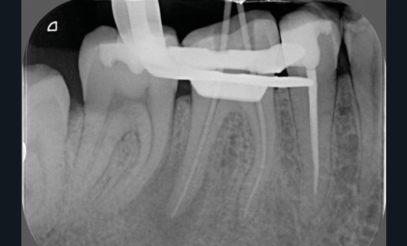
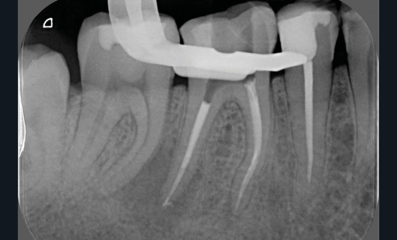
L’irrigation à l’hypochlorite de sodium (NaOCl) est utilisée depuis de nombreuses années en raison de son excellente efficacité contre le microbiote intracanalaire, tant à l’état planctonique que sous forme de biofilm [4, 5]. Le NaOCl, par son action protéolytique, a aussi la capacité de dissoudre les tissus organiques [6]. Il peut donc éliminer les débris pulpaires et le microbiote ayant échappé à la préparation mécanique au niveau de certaines portions des canaux principaux, des canaux accessoires et latéraux, des isthmes et autres delta apicaux. Ces zones sont surtout atteintes, nettoyées et désinfectées par l’irrigation. In vitro, l’action antiseptique, la capacité de dissolution des tissus organiques et la toxicité du NaOCl sont directement proportionnelles…



