Étiopathogénie et facteurs de risques
La péri-implantite est une maladie multifactorielle dont l’étiologie principale est constituée par les bactéries contenues dans le biofilm [4]. Cependant, le risque de survenue d’une pathologie péri-implantaire est majoré lorsque le patient présente des facteurs de risque associés, qui peuvent être liés au patient, au site implantaire, à l’implant, mais aussi à la prothèse. Certains de ces facteurs de risque devront faire l’objet d’une attention systématique lors des séances de maintenance.
Parmi les facteurs de risque liés au patient, les antécédents de pathologies parodontales, les pathologies systémiques tels que le diabète et l’ostéoporose, ainsi que les prédispositions génétiques sont des facteurs non modifiables qui devront être pris en compte avant la réalisation d’une chirurgie implantaire et dans le cadre du suivi des cas. En revanche, l’hygiène bucco-dentaire quotidienne, la consommation tabagique et éthylique sont modifiables et devront être contrôlées lors de chaque séance de maintenance.
Influence du site implantaire
Le site à implanter doit répondre à certains critères : la présence de gencive attachée, la qualité et la quantité osseuse permettant un positionnement tridimensionnel idéal dans l’espace sont des éléments favorables.
La présence d’infections d’origine endodontique et/ou parodontale est un facteur de risque à prendre en compte.
Influence du type d’implant
Aujourd’hui, il existe sur le marché de nombreuses marques d’implants, donc de nombreux types d’implants, présentant des longueurs, des diamètres, des connectiques et des états de surface très différents.
Les états de surface sont actuellement l’objet de vives controverses. En vue d’aboutir à l’ostéointégration, l’objectif est d’avoir une surface de contact implant/os (« Bone Implant Contact », BIC) la plus importante possible. La meilleure façon pour l’obtenir (sans augmenter le diamètre et la longueur) est de réaliser des surfaces rugueuses (sablées et mordancées) qui favorisent le BIC. Mais, si ces surfaces viennent à être exposées, lors d’une perte osseuse, ces états de surface rugueux favorisent la prolifération bactérienne.
Les surfaces usinées sans traitement ultérieur ont moins de contact osseux, donc une diminution du BIC, ce qui favorise la prolifération fibroblastique, réduisant la rétention bactérienne. Cependant, si elle se développe, elle sera tout aussi contaminante à long terme [7].
Influence du facteur prothétique
La connectique
La connexion entre le pilier et l’implant doit présenter la meilleure étanchéité possible, car c’est à ce niveau que se situe le risque le plus élevé de contamination.
Les connexions à plat présentent un manque d’étanchéité aux bactéries agressives, beaucoup plus important que celui observé avec une connexion de type cône Morse [6].
La conception
Du fait de sa conception, la prothèse implantaire doit permettre une facilité d’accès à l’hygiène pour le patient, ce qui devra être vérifié au moment de la pose, mais aussi lors des séances de maintenance, car l’habileté manuelle diminue avec l’âge.
Une prothèse transvissée permet un démontage rapide et donne accès aux composants sous-jacents, facilitant la maintenance et le nettoyage de ces pièces. Dans ce cas, les puits de vissage sont rendus le plus étanches possible.
Lors de la pose d’une prothèse scellée, tout débordement de ciment doit être évité et contrôlé (radiographie rétro-alvéolaire) et, le cas échéant, soigneusement éliminé [5-10].
Dans tous les cas de figure on veillera à ajuster l’occlusion [8].
La maintenance
Tous les auteurs s’accordent à montrer que de nombreux patients chez qui la pose d’implants est nécessaire ont au départ un indice de plaque important et une hygiène bucco-dentaire déficiente. Il est donc indispensable que des protocoles d’hygiène soient mis en place au préalable.
Après la pose de l’implant puis de la prothèse, il est tout aussi important qu’une hygiène journalière rigoureuse soit réalisée, associée à une maintenance professionnelle péri-implantaire annuelle ou pluriannuelle, si nécessaire. La séance de maintenance comporte plusieurs étapes.
La première étape est celle du diagnostic, au cours de laquelle un examen clinique évalue l’importance du biofilm, corrélé ou non à une inflammation gingivale. Un sondage en quatre points permet de mesurer la présence d’une perte osseuse ou son évolution [9]. En complément, un examen radiologique sera réalisé une à deux fois par an en fonction des antécédents de parodontites, ou de la complexité de la réalisation implanto-prothétique. L’objectif est de contrôler une éventuelle évolution de la perte osseuse par rapport aux clichés originaux, mais aussi de s’assurer de l’absence de dépôts tartriques ou d’infection endodontique sur les dents adjacentes.
La deuxième étape, indispensable, consiste à réaliser une séance de motivation à l’hygiène comportant un rappel des différents outils (brossettes interdentaires, jet dentaire) et des différentes techniques permettant de les utiliser (courber la tête de la brossette pour ne pas blesser la muqueuse palatine ou linguale, réaliser le nettoyage dents serrées pour obtenir de la laxité muqueuse afin de faciliter l’accès aux dents ou aux implants postérieurs).
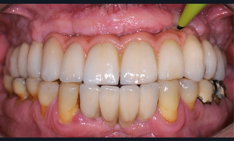
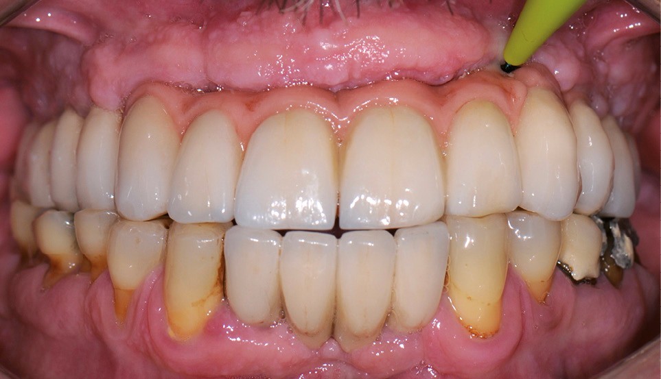
La troisième étape consiste à réaliser un nettoyage ultrasonique méticuleux des dents résiduelles, des piliers (fig. 1 et 2) des couronnes implantaires, mais aussi des implants en cas d’inflammation ou de perte osseuse. À cet effet, nous utilisons dans notre pratique des inserts spécifiques en titane, tels que ImplantProtect® (fig. 3). L’utilisation d’un aéropolisseur est conseillée au niveau des implants exposés en utilisant une buse adaptée (Perio Easy® (fig. 4) avec une poudre Air-N-Go® à base de glycine) [11]. Si les embrasures ne permettent pas un entretien suffisant, elles seront modifiées (fig. 5 et 6). Il faudra aussi vérifier la bonne étanchéité au niveau des puits d’accès et contrôler l’occlusion.
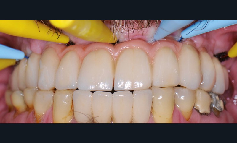
La maintenance est facilitée par la possibilité de démonter les prothèses. Quand elles ne sont pas transvissées, elles doivent être scellées provisoirement afin d’être déposées facilement. Dans le cas d’une prothèse indémontable, il est parfois nécessaire d’utiliser une fraise diamantée pour augmenter une embrasure ou un espace sous un bridge, mais la difficulté de repolir parfaitement la zone retouchée risque de favoriser l’accumulation de plaque dentaire (fig. 7 et 8), et donc l’inflammation péri-implantaire. Cependant, l’obtention d’un meilleur accès à l’hygiène compensera ce risque au prix d’un entretien quotidien rigoureux.
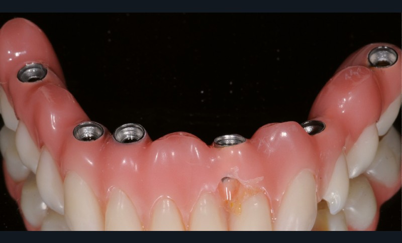
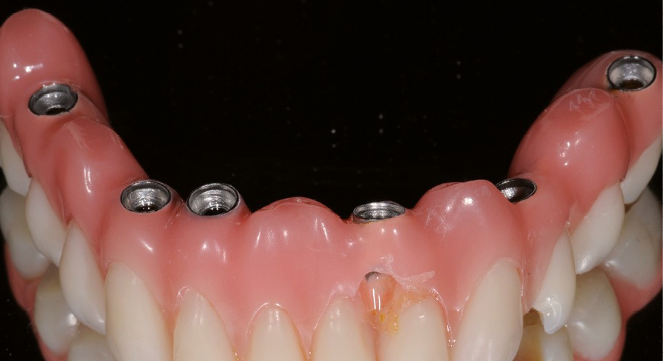
Une fois retirée, la prothèse peut être nettoyée dans deux types d’appareils. Les premiers sont les appareils à ultrasons professionnels, destinés aux prothésistes, puissants, dont le bac est non autoclavable (risque de contamination croisée). Les seconds sont les appareils utilisant le principe de la tribologie : le nettoyage s’effectue par le frottement d’aiguillettes de métal (mises en mouvement par des aimants) dans un bol contenant la prothèse ainsi qu’une solution détergente ; ce qui permet un nettoyage sécurisé sans abîmer la prothèse (fig. 9 à 11). Le cycle de nettoyage dure de 15 à 20 minutes selon le degré de salissure de la prothèse à traiter. Dans le cadre de notre pratique, nous avons testé deux systèmes présents sur le marché, notre choix se portant sur le dispositif proposé par Global D (fig. 12) qui, grâce à un système d’ailettes, diminue la consommation d’aiguillettes. Cela permet un usage unique de celles-ci et évite de ce fait toute contamination croisée. De plus, le bol est stérilisable.
Ce cycle de nettoyage/désinfection est réalisé pendant que le praticien effectue la maintenance péri-implantaire (fig. 7 et 8, fig. 13 et 14).
Enfin, il est important de souligner que dans le cadre du traitement d’une mucosite ou en présence d’une péri-implantite débutante, il ne faut pas se limiter au nettoyage de la partie émergente du pilier, mais désinfecter également sa partie inférieure qui est souvent infra-gingivale. Il faut alors démonter le pilier, le placer dans le même appareil pour retrouver une surface dite en poli-miroir (fig. 15). Toutefois, il est important de ne mettre qu’un pilier dans le système pour éviter les chocs entre deux éléments prothétiques qui pourraient entraîner une modification de la surface. Enfin, rappelons que le démontage du pilier en cas d’inflammation n’affecte pas l’attache épithélio-conjonctive puisqu’elle a déjà disparu.
Pendant que la prothèse est démontée, il peut être opportun de modifier la forme de l’intrados ou encore d’augmenter les embrasures si le patient a des difficultés pour le passage des brossettes. Lorsque des retouches sont nécessaires, il convient de repolir soigneusement la zone retouchée à l’aide de meules en caoutchouc de granulométrie différentes, le meilleur polissage peut être obtenu par un laboratoire de prothèse, si le patient accepte de se priver de sa prothèse un certain temps.
Conclusion
Le traitement implanto-prothétique conduit les praticiens à réaliser une anamnèse ciblée, un examen bucco-dentaire attentif, des soins parodontaux préventifs, une analyse de l’os résiduel…
Mais il ne faudra pas omettre, le jour de la présentation du plan de traitement, d’engager la responsabilité du patient dans la maintenance quotidienne. Il faut aussi spécifier l’obligation de la maintenance professionnelle, sa périodicité et son coût.
La maintenance ainsi envisagée pérennise les traitements. Un contrôle régulier permet d’intervenir la plupart du temps au stade de mucosite et ainsi limiter le risque de péri-implantite. Elle constitue également un excellent moyen de communication pour le renforcement de l’observance à l’hygiène. Les patients sont ainsi confortés dans le suivi et la qualité des soins postopératoires.















Commentaires