La maladie carieuse en France Une problématique tout au long de la vie, associée à des difficultés de prise en charge des plus jeunes

  • Par
  • Publié le . Paru dans L'Information Dentaire n°7 - 19 février 2020

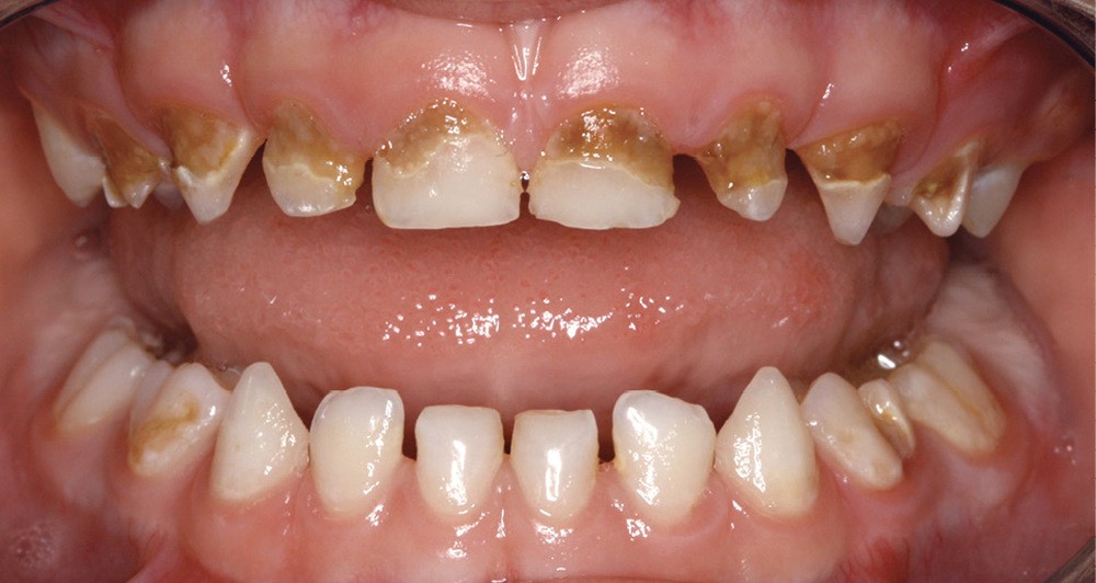
3. Carie précoce de l’enfance chez un enfant en denture temporaire.

Information dentaire

Il y a encore quelques années, nous nous réjouissions de l’amélioration de l’état de santé bucco-dentaire en France classiquement évalué chez les enfants en référence au nombre de dents cariées, absentes pour cause de carie ou obturées (CAOD). Depuis, pour mieux cibler les besoins en soins, la prévalence des lésions carieuses non traitées a été déterminée avec des métarégressions à partir d’études épidémiologiques précédemment publiées. La France se retrouve alors dans une situation catastrophique par rapport aux autres pays.

La situation de la France est d’autant plus inquiétante qu’il faut considérer les besoins comme sous-estimés. En effet, la prise en charge de la maladie carieuse considère désormais non seulement les lésions carieuses cavitaires, mais aussi les lésions non cavitaires non enregistrées dans les études épidémiologiques. Cet article a pour objectif de mieux comprendre la situation française.

État de santé bucco-dentaire d’après les CAOD, cod

La première étude épidémiologique conduite à l’échelle nationale en France à partir d’un échantillon stratifié date de 1987. À l’époque, le CAOD chez les enfants âgés de 12 ans égalait 4,2 et, en quasiment vingt ans, il était passé de 4,2 à 1,2 (fig. 1), conformément à une amélioration générale de l’état de santé bucco-dentaire observée dans tous les pays industrialisés [1, 2]. Celle-ci était alors expliquée par la généralisation de la vente des dentifrices fluorés dans les années 90. Depuis, quelques études départementales n’ont pas mis en évidence d’amélioration ; il y aurait même, au contraire, une légère augmentation du CAOD à 12 ans : 1,5 à 1,6 [3, 4].

Parallèlement, le seuil de sévérité de la lésion carieuse à partir duquel le diagnostic était considéré comme positif a évolué. Ainsi, le C3AOD, équivalent à l’original CAOD, a été remplacé par le C1AOD, sachant que C3 ou C correspondait aux lésions carieuses cavitaires, alors que C1 tenait à la fois compte des lésions cavitaires et non cavitaires. Ces indicateurs, qui renseignent sur l’expérience carieuse individuelle – c’est-à-dire à la fois sur les lésions carieuses passées et présentes, les unes étant traitées (dents obturées ou extraites) et les autres non traitées (C1 ou C3) –, sont désormais plus souvent remplacés en épidémiologie par l’International Caries Detection and Assessment System (ICDAS II). Ce système se base sur un double codage : le premier…

Cet article est réservé aux abonnés.
Pour lire la suite :

Vous êtes abonné.e ? Connectez-vous
Mot de passe
oublié ?

Vous pouvez également :

Acheter l'article En version numérique
Acheter le numéro À l'unité

Thèmes abordés