La mastication : fonction régulatrice de la morphogenèse des arcades dentaires

  • Par
  • Publié le . Paru dans L'Information Dentaire n°25 - 21 juin 2023 (page 34-43)
Information dentaire
La mastication joue un rôle majeur précoce dans la croissance oro-faciale du fait des forces importantes qui s’appliquent aux dents, aux maxillaires, aux condyles. La mastication doit donc se modifier en fonction de la consistance des aliments, avec une force musculaire qui augmente avec la résistance des aliments, force qui se transmet à l’os maxillaire, stimulant ainsi son développement. De ce fait, elle est essentielle dans la réalisation et la stabilité des traitements dentaires et orthodontiques. L’objectif de cet article est de proposer les modalités d’une prise en charge très précoce des pathologies de la mastication.

Physiologie de la mastication

La mastication est une fonction qui coordonne muscles, articulations temporo-mandibulaires, os des maxillaires et dents pour réduire le bol alimentaire afin de permettre la digestion.

C’est une fonction coordonnée : l’action est volontaire, mais le déroulement est automatique.

Son efficacité est fonction de la surface totale des contacts occlusaux en occlusion d’intercuspidie maximale (OIM), elle varie selon les patients. Elle permet de réduire la taille des particules alimentaires lors de cycles masticatoires.

La réalisation de la mastication est variable selon les individus : 80 % des sujets ont un côté préférentiel, et 80 % d’entre eux possèdent une fonction unilatérale alternée : le côté travaillant change au cours de la mastication. Le côté préférentiel n’est pas forcément la zone avec le plus grand nombre de contacts occlusaux.

La mastication sera moins efficace en cas de douleurs dentaires (caries, dents mobiles), d’avulsions non compensées, de malocclusions, de troubles de l’articulation temporo-mandibulaire, de troubles de la posture ou de la fonction linguale, etc.

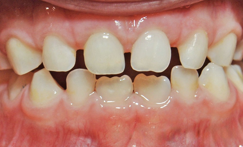
La mandibule naît de deux bourgeons distincts qui fusionnent au niveau de la symphyse mentonnière. Le maxillaire, lui, naît de trois bourgeons. Chacun des cinq bourgeons (fig. 1) possède une innervation et une vascularisation qui lui sont propres. Résultat : la croissance et la physiologie de chacune des cinq zones sont indépendantes de celles des quatre autres. Cela explique qu’au cours de la mastication, seules deux d’entre elles répondront au stimulus : sur l’image ci-dessus, toutes les dents du bourgeon inter-incisif maxillaire, mais aussi toutes celles issues du bourgeon mandibulaire droit. Ainsi, si une dent d’une zone est sollicitée, toute la zone (dents et os) répondra à la stimulation. Cela explique aussi pourquoi il faut que les cinq zones soient stimulées pour obtenir la croissance, puis la stabilité…

Cet article est réservé aux abonnés.
Pour lire la suite :

Vous êtes abonné.e ? Connectez-vous
Mot de passe
oublié ?

Vous pouvez également :

Acheter l'article En version numérique
Acheter le numéro À l'unité

Thèmes abordés