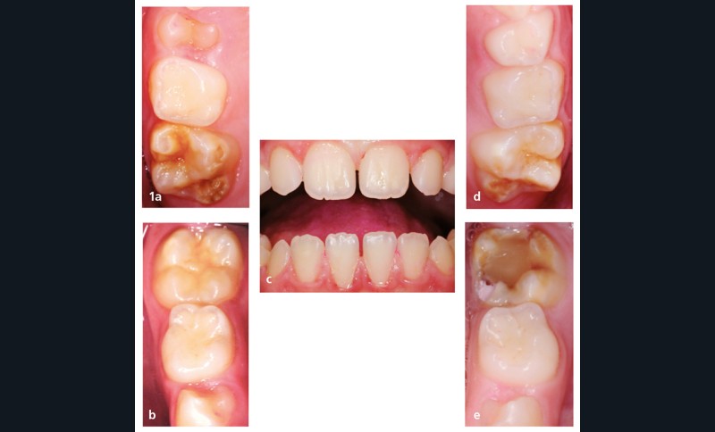
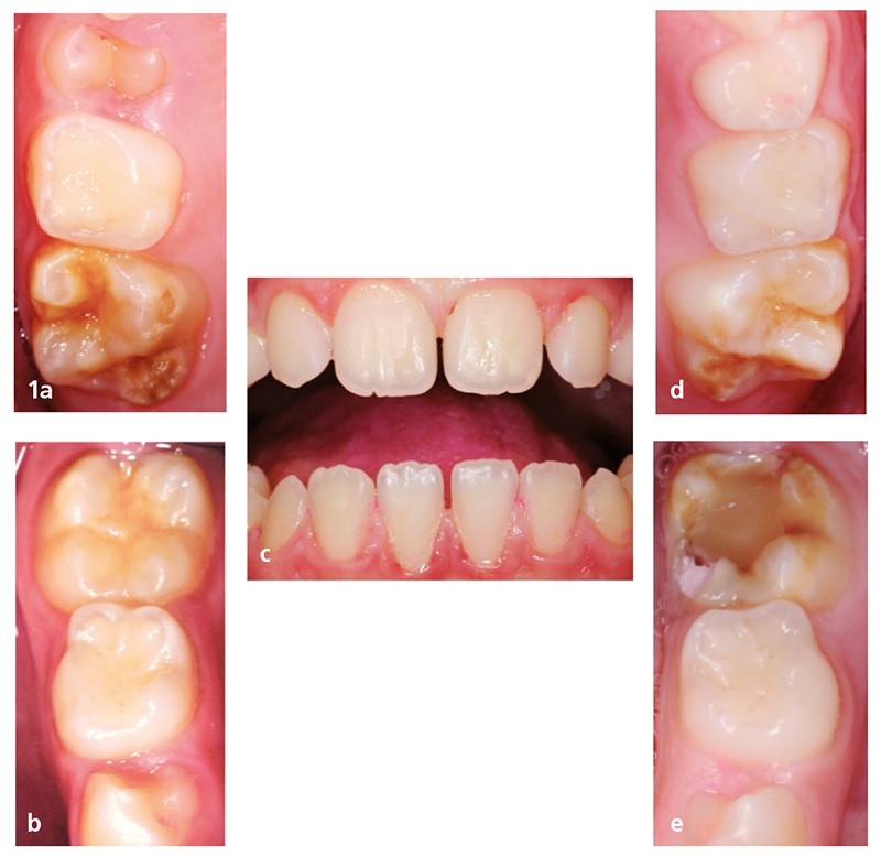
Comment la diagnostiquer ?
(fig. 1a à e)
• La MIH est une anomalie qualitative de l’émail.
• Elle touche au moins une première molaire permanente (PMP).
• Elle peut atteindre les incisives permanentes si une PMP est déjà atteinte.
• Les opacités sont bien délimitées, d’une couleur allant du blanc crémeux au jaune-brun au niveau des deux tiers
occlusaux ou des bords libres.
• Des fractures post-éruptives sont possibles.
• Il y a une étiologie multifactorielle inconnue.
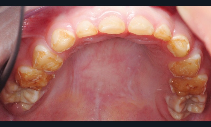
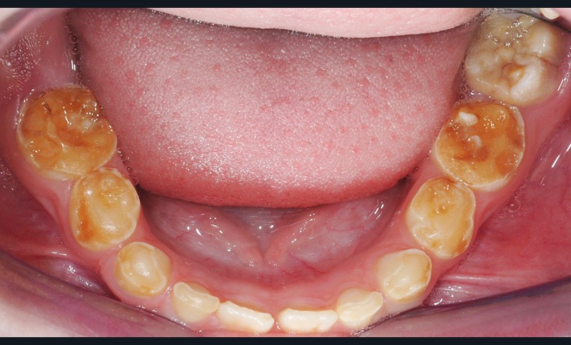
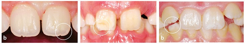
Quel est le principal diagnostic différentiel ?
(fig. 2 et 3)
Il s’agit de l’amélogénèse imparfaite héréditaire, qui :
• touche toutes les dents de l’arcade ;
• entraîne une coloration jaune orangée de l’émail sur toute la surface coronaire ;
• est liée à une étiologie génétique.
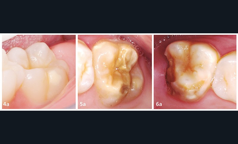
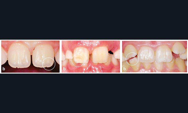
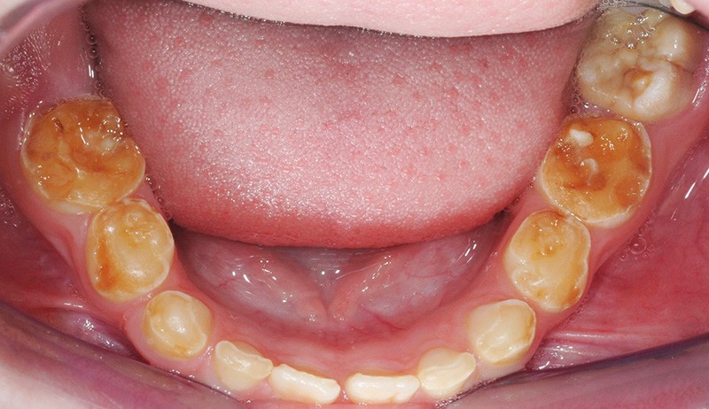
Comment la prendre en charge en fonction de la sévérité ?
Au niveau molaire :
Si elle est légère (fig. 4a et b) :
– surveillance ;
– fluoration biannuelle (> 22 500 ppm) ;
– scellements de sillons.
Si elle est modérée (fig. 5a et b) :
– surveillance ;
– fluoration biannuelle ;
– scellement de sillons ;
– restauration directe au composite (marge saine) ;
– restauration directe aux verres ionomères ;
– restauration indirecte partielle collée (marge saine).
Si elle est sévère (fig. 6a et b) :
– restauration par coiffe pédiatrique préformée (CPP) ;
– en cas d’échec des thérapeutiques restauratrices : avulsion. Décision pluridisciplinaire entre chirurgien-dentiste et orthodontiste (si présence de la 8, en fonction de la classe d’Angle et de la typologie faciale).
Au niveau incisif :
– érosion-infiltration en profondeur + restauration matériaux composites ;
– éclaircissement ;
– abstention.
– érosion-infiltration en profondeur + restauration…




