La mise en esthétique et en fonction immédiate en implantologie : Quel protocole, quel matériau ?

  • Par
  • Publié le . Paru dans L'Information Dentaire n°13 - 31 mars 2021 (page 49-62)

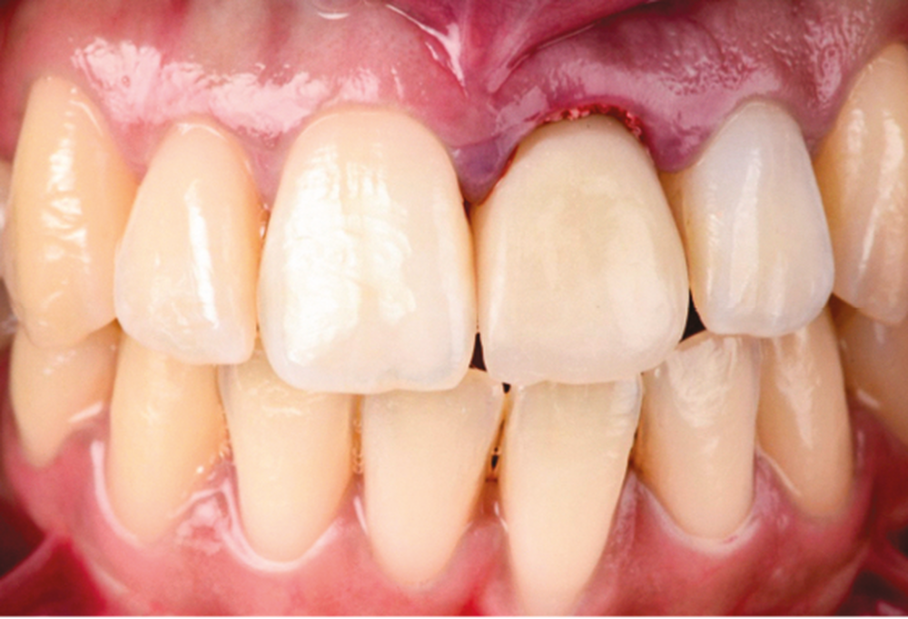
10. La couronne est mise en sous-occlusion avec un contrôle statique et dynamique. Il s’agit d’une mise en esthétique immédiate qui permet la préservation et le maintien des tissus péri-implantaires. La patiente est prévenue du fait que la dent est courte pour éviter tout contact avec l’antagoniste et favoriser l’ostéointégration de l’implant.

Information dentaire

La temporisation immédiate occupe une place de plus en plus importante dans nos traitements implantaires, au risque de faire tomber en désuétude l’exercice des praticiens qui ne la pratiquent pas ou ne l’appliquent pas de façon dogmatique. Il faut toutefois se garder des effets de mode. Un soin particulier doit être apporté au choix du matériau de connexion et de la technique de mise en fonction immédiate, facteurs cruciaux de succès du traitement.

Avec la pression des patients, toujours mieux renseignés par les différents médias, l’intérêt des procédures de temporisation immédiate est évident puisqu’elles permettent de raccourcir considérablement les temps de traitement et de leur procurer un retour plus rapide à la vie sociale. En effet, les exigences des patients édentés ou en passage à l’endentement (cas d’extraction-implantation) en termes de confort, d’efficacité et de rapidité de mise en œuvre sont naturellement des sujets majeurs pour les cliniciens. De même, les praticiens recherchent de plus en plus une réduction des durées de traitement tout en essayant de satisfaire la demande du patient. Cependant, il est important de ne pas céder à un effet de mode et de garder en tête l’objectif principal des traitements implantaires qui est d’offrir le traitement le plus fiable possible.

Le recours à la mise en esthétique ou en fonction immédiate présente de nombreux avantages pour le patient comme pour le praticien [1-9] :

  • le plan de traitement ne comporte qu’une seule intervention chirurgicale, ce qui, en plus d’améliorer grandement le confort du patient, diminue de façon importante les complications postopératoires potentielles ;
  • le temps de traitement est considérablement réduit ;
  • le résultat esthétique est immédiat et, pour ce qui est du résultat fonctionnel, les précautions imposées par ce type de procédure (alimentation molle pendant six semaines) le limitent un peu plus, mais il reste sans commune mesure avec celui escompté lors d’un traitement faisant intervenir la prothèse amovible ;
  • le travail ultérieur du praticien est facilité, car il n’a plus à se soucier des éventuelles surcharges qu’une prothèse amovible peut induire au niveau des implants enfouis et il est également dispensé des nombreux remaniements fastidieux de l’intrados prothétique au cours des différentes phases du traitement. Toute son attention…

Cet article est réservé aux abonnés.
Pour lire la suite :

Vous êtes abonné.e ? Connectez-vous
Mot de passe
oublié ?

Vous pouvez également :

Acheter l'article En version numérique
Acheter le numéro À l'unité

Thèmes abordés