La muqueuse buccale et ses altérations physiopathologiques

  • Par
  • Publié le . Paru dans Profession Assistant(e) Dentaire
Information dentaire
De nombreuses altérations et processus pathologiques d’origine locale ou systémique peuvent affecter la cavité buccale et ses muqueuses. De telles lésions ont souvent des aspects peu spécifiques. Pour pouvoir détecter et diagnostiquer précisément ces pathologies, il est nécessaire que le chirurgien-dentiste applique une démarche diagnostique par « lésion élémentaire », afin de faciliter le diagnostic différentiel des différentes pathologies de la muqueuse buccale.

Chaque lésion élémentaire représente une altération clé sur le plan histologique qui donne des indices quant à l’origine de cette dernière. Ainsi, en reconnaissant la lésion élémentaire, le praticien est capable de proposer des hypothèses sur l’origine de la lésion et donc trouver le diagnostic de la pathologie sous-jacente.
 

Structure de la muqueuse buccale

 
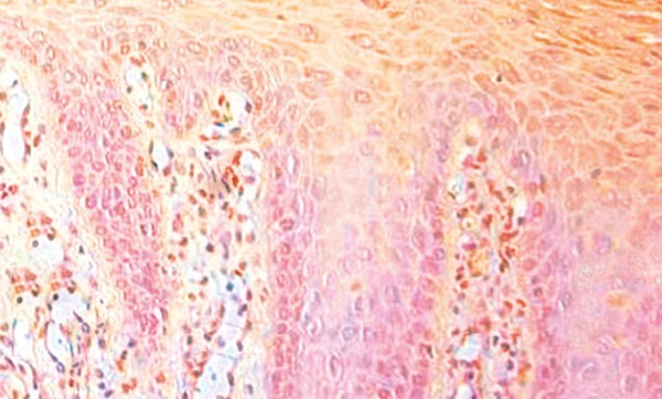
De la surface vers la profondeur, la muqueusebuccale (fig. 1) comprend :
– d’un épithélium pavimenteux (c’est-à-dire composé de cellules empilées les unes sur les autres comme les pierres d’un mur) stratifié (aussi appelé « épithélium malpighien »), kératinisé ou non selon les régions ; – d’une membrane basale ; – d’un chorion conjonctif (tissu conjonctif).

En dessous de cette muqueuse, on retrouvera, selon les régions, de la graisse, des glandes salivaires accessoires, des muscles, du périoste et de l’os. Du fait de différentes structurelles notables ainsi que de la présence ou non d’une kératinisation (formation de kératine à visée de durcissement et de protection de la muqueuse), il faudrait parler des muqueuses buccales au pluriel. Ces muqueuses ont des rôles fonctionnels bien distincts (voir tableau ci-dessous). On distingue les muqueuses masticatoires, facilitant le déplacement du bol alimentaire pendant les mouvements mandibulaires de mastication, les muqueuses de recouvrement, protégeant les structures sous-jacentes, et les muqueuses spécialisées, servant à des fonctions spécifiques comme la salivation (présence de nombreuses glandes salivaires dans la muqueuse des lèvres) ou la gustation (présence de nombreux bourgeons gustatifs dans la muqueuse de la face dorsale de la langue).
 

 
1. Coupe histologique de muqueuse linguale
(face latérale de la langue).

Altérations pathologiques de la muqueuse buccale

 
Les altérations pathologiques des différents composants de la muqueuse buccale sont à l’origine des manifestations visibles lors…

Cet article est réservé aux abonnés.
Pour lire la suite :

Vous êtes abonné.e ? Connectez-vous
Mot de passe
oublié ?

Vous pouvez également :

Acheter l'article En version numérique

Thèmes abordés