Les fonctions oro-faciales regroupent la mastication, la ventilation, la posture et la fonction linguale, les tics et parafonctions (comme la succion du pouce). Ces fonctions exercent des forces permanentes et influent sur la croissance de la face et la dentition. Elles conditionnent également la stabilité des traitements orthodontiques, par leurs actions sur les dents et les os de la face. Il convient donc de savoir reconnaître les dysfonctions afin de prévenir la récidive dans le cadre du suivi de traitement.
En effet, une anomalie fonctionnelle est souvent présente avant le traitement orthodontique ; mais elle peut également apparaître en cours de soins ou être diagnostiquée plus tardivement.
Si le patient conserve une dysfonction pendant la phase de contention, suite à une absence de motivation ou un résultat partiel de son éducation fonctionnelle, la prise en charge peut être incomplète.
La ventilation
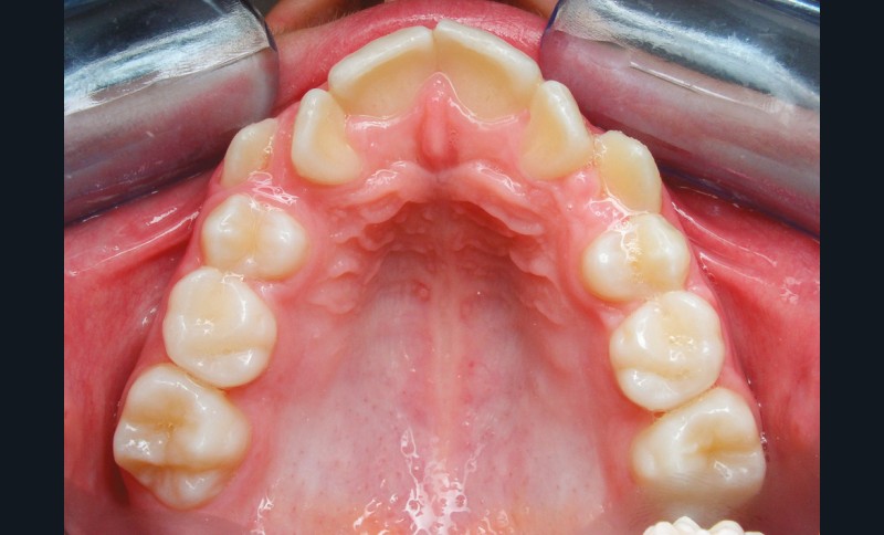
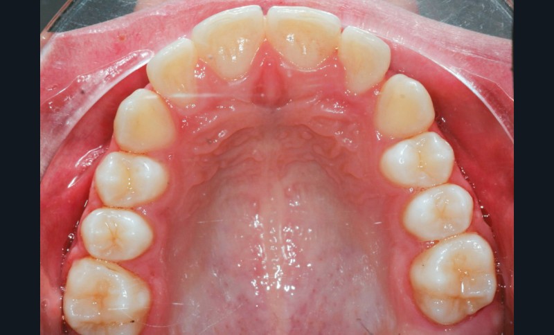
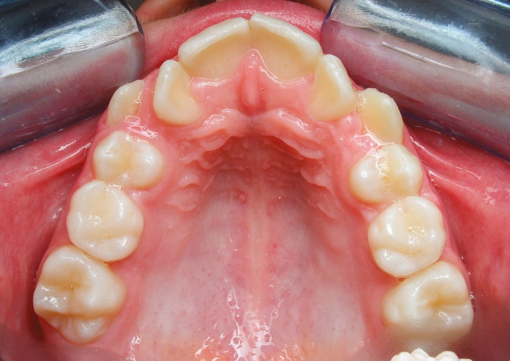
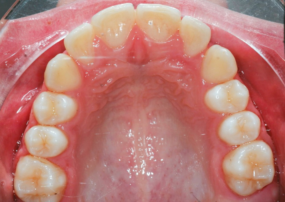
La ventilation physiologique de repos est nasale stricte ; elle permet une bonne respiration. De nombreux patients présentent cependant une ventilation buccale au repos, avec ouverture des lèvres et de la bouche, ce qui provoque une déformation osseuse et dentaire lors de la croissance (fig. 1-3). L’observation permet de détecter la façon dont le patient respire et de traiter la cause qui peut être anatomique (déviation nasale, amygdales qui obstruent les voies aériennes supérieures…) et/ou fonctionnelle (habitude de respiration buccale).
Des outils comme la disjonction, l’éducation fonctionnelle, la kinésithérapie respiratoire, la chirurgie ORL de dégagement des voies respiratoires peuvent aider le patient ; mais le plus important reste d’être attentif à sa façon de respirer pendant et après le traitement. En effet, une ventilation buccale persistante contraint les mâchoires et accroît le risque de récidive.
La posture et la fonction linguale
La langue, par ses appuis contre les…


