Qu’est-ce que la santé parodontale selon Chicago 2017 ?
Cette nouvelle classification introduit pour la première fois la notion de santé parodontale et en donne une définition. Elle se caractérise par l’absence d’inflammation ou un niveau faible d’inflammation d’un parodonte intact ou réduit [3]. La distinction entre santé et maladies parodontales doit être effectuée lors de chaque visite « de routine », pour tous les patients.
Les outils à notre disposition
Seule la sonde parodontale est indispensable ! Encore mieux, une sonde parodontale à pression constante.
Notions abordées
- Indice de saignement au sondage (BOP) [5] :
Nombre de sites avec saignement/Nombre de sites évalués × 100 = % de saignement
- La perte d’attache clinique (CAL) :
CAL = profondeur de sondage + hauteur de récession
Utilisation de ces notions
Les signes que nous recherchons seront des signes cliniques et non radiographiques.
• Le saignement au sondage (Bleeding On Probing, BOP) est un indice gingival dichotomique. On note 0 pour l’absence de saignement au sondage, et 1 en présence de saignement au sondage. Il est exprimé en pourcentage.
On enregistre 4 sites par dent (mésio-vestibulaire, disto-vestibulaire, mésio-palatin et disto-palatin).
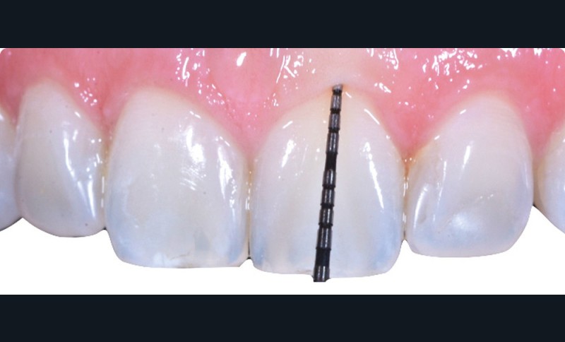
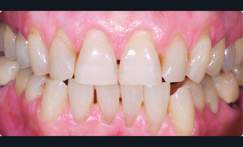
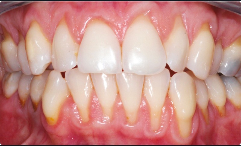
Lorsque le BOP est inférieur à 10 %, on observe la santé gingivale sur un parodonte intact (fig. 1) ou sur un parodonte réduit avec ou sans antécédent de maladie parodontale (fig. 2 et 3).
Un BOP supérieur à 10 %, fera l’objet de la prochaine rubrique.
• La perte d’attache clinique (Clinical Attachment Loss, CAL), qui est l’addition de la profondeur de sondage et de la hauteur de récession, est le marqueur principal de la parodontite.
Le CAL permettra de faire la distinction entre les 3 cas de santé parodontale : le parodonte sain intact, le parodonte sain réduit avec antécédent de parodontite…



