La quête du Graal
Nous savons que la position des implants va influencer la qualité et la quantité des tissus inter-implantaires. Lorsque la distance entre deux implants est inférieure à 3 mm, le développement d’une papille physiologique est compromis et l’on s’expose à une résorption osseuse. Lorsqu’un espace suffisant est maintenu, on peut espérer une hauteur papillaire maximale de 3,5 mm [6].
Actuellement, le volume des tissus vestibulaires peut être stabilisé, et l’esthétique maintenue grâce à des substituts osseux (biomatériaux non résorbables d’origine animale) [2, 3, 4] et des greffes de tissu conjonctif [5], ces artifices chirurgicaux permettant de préserver les convexités vestibulaires [2, 3, 4]. Cependant, aucune de ces techniques ne peut garantir l’obtention d’une papille entre deux implants. Toute approche plus ambitieuse de maintien ou de création papillaire est à haut risque d’échec.
Cas cliniques
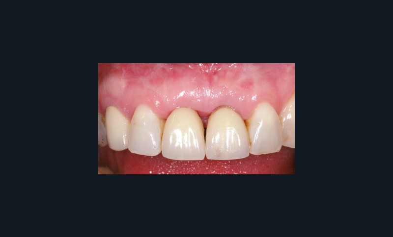
Le premier cas clinique illustre nos propos pour une patiente âgée de 50 ans qui a reçu deux implants en mise en charge immédiate (fig. 1).
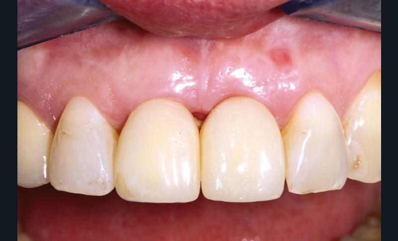
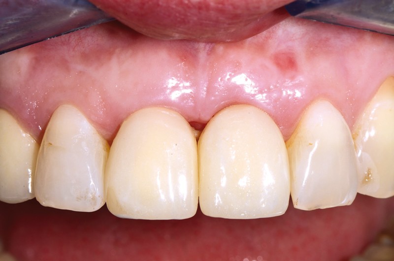
Un apport de biomatériau d’origine bovine a été utilisé pour limiter la perte tissulaire vestibulaire et, malgré le recours à une greffe de conjonctif pour épaissir les tissus (fig. 2), le déficit papillaire inter-implantaire est flagrant (fig. 3).
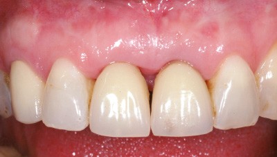
L’étude de Choquet et al a montré, dans le cas du remplacement d’une dent par un implant unitaire, que le niveau des papilles est maintenu par l’attache ligamentaire des dents adjacentes [7], et le résultat proximal obtenu doit être comparable à la situation avant extraction [8] (fig. 4).
Récemment, il a été montré que la préservation de la paroi vestibulaire de dents condamnées permet de conserver intact son parodonte marginal (technique…



