La parodontologie au service de l’esthétique en prothèse fixée

  • Par
  • Publié le . Paru dans Stratégie Prothétique n°4 - 15 septembre 2020 (page 308-317)

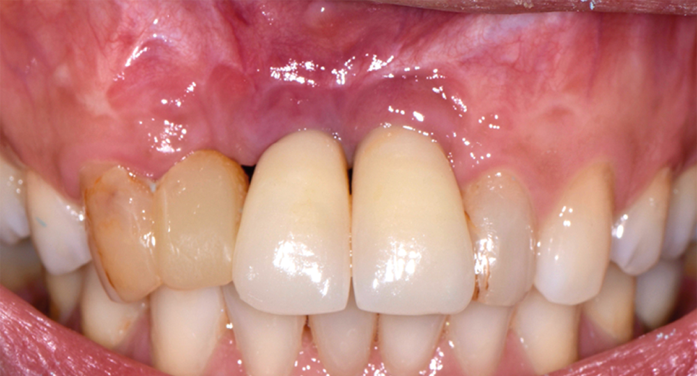
2a-b. Réhabilitation implantaire en secteur esthétique après accident de la voie publique. Les sites 11 et 21 n’ayant pas fait l’objet de préservations alvéolaires après extraction, on peut observer que la résorption postextractionnelle a entraîné une variation morphométrique des tissus de soutien ayant concerné les dimensions verticale et horizontale. Les hauteurs prothétiques augmentées sur 11 et 21, hormis la considération esthétique, entraînent difficultés au brossage et péri-implantites conséquentes.

Information dentaire
  1. Comment le parodonte s’intègre-t-il dans l’appréciation esthétique ?
  2. Comment éviter et traiter les complications d’ordre esthétique ?
  3. Comment pérenniser ce retour à l’esthétique ?

    L’esthétique est une science philosophique, ayant pour objet la perception, l’émoi des sens et le « beau ». L’esthétique présente deux composantes. La première, objective, est définie par des normes ou codes civilisationnels qui évoluent dans le temps et dans l’espace. Le praticien et le prothésiste s’y réfèrent, pour leur pratique quotidienne, selon une approche quasi-scientifique. La deuxième composante, plus subjective, traduit quant à elle un monde d’émotions et de sentiments propre à chacun, nécessitant alors une investigation, afin de pouvoir s’approcher au mieux du rendu esthétique souhaité par le patient.

    L’esthétique se définit, dans sa composante objective, par « ce qui se voit ». Les lèvres étant, à ce titre, les fenêtres de cette intimité dévoilée par le patient, elles délimitent ainsi le domaine du « visible ». Impliqué directement ou indirectement, le parodonte joue, pour sa part, un rôle clé dans le rendu global de cette esthétique préservée ou retrouvée. Écrin dans lequel s’articulent les organes dentaires, il doit être considéré, avant toute réhabilitation prothétique. Le négliger conduit irrémédiablement à l’échec à court ou à long terme, et même parfois de manière irréversible.

    Nous tenterons de donner dans cet article les clés de bonne conduite, afin de ménager au mieux sa susceptibilité et de lui permettre ainsi d’exprimer son meilleur visage, pour la plus grande satisfaction du praticien et du patient.

    Parodonte et esthétique du sourire

    Le parodonte fait partie intégrante de l’esthétique du sourire. Il doit faire l’objet d’une réelle appréciation, au cours de l’établissement du plan de traitement prothétique. Bien que les critères esthétiques soient variables dans le temps et dans l’espace, de par leurs spécificités civilisationnelles, certaines données font aujourd’hui consensus [1] et peuvent s’intégrer dans :

    – le cadre facial

    Cet article est réservé aux abonnés.
    Pour lire la suite :

    Vous êtes abonné.e ? Connectez-vous
    Mot de passe
    oublié ?

    Vous pouvez également :

    Acheter l'article En version numérique
    Acheter le numéro À l'unité

    Thèmes abordés