Une revue systématique de la littérature
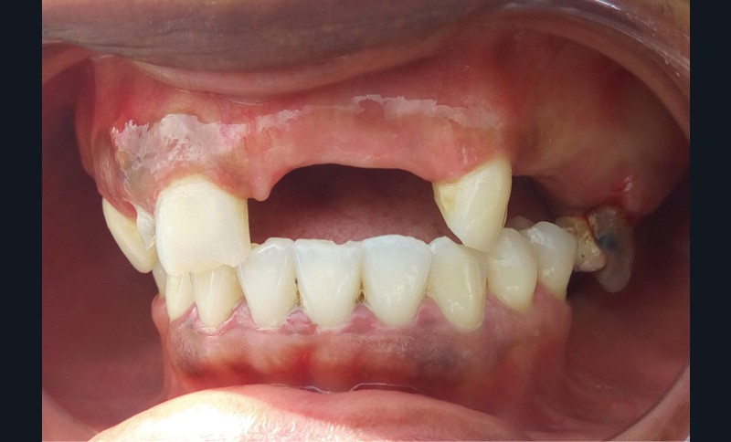
La détermination et la communication précise de la couleur des dents sont primordiales pour le succès d’une restauration esthétique harmonieuse. Les praticiens font souvent face à des situations où le choix de la couleur des dents est très délicat et peut entraîner des erreurs aux conséquences diverses.
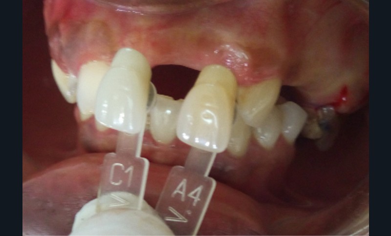
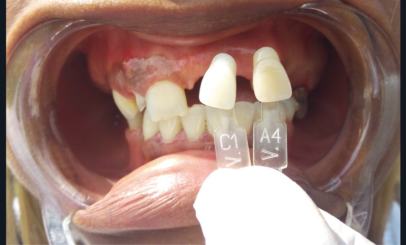
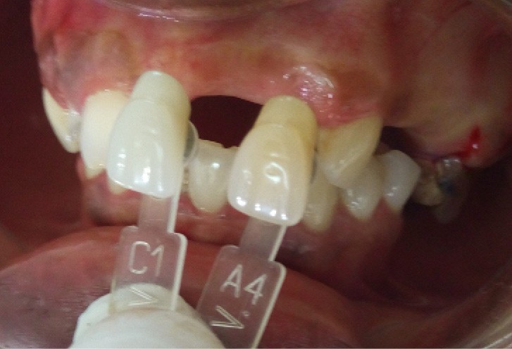
Le choix visuel conventionnel est la méthode la plus ancienne. Son principe est de comparer visuellement les barrettes échantillons du teintier (fig. 1, 2) avec la dent naturelle à imiter, jusqu’à trouver l’échantillon le plus proche de la dent. Chaque teintier a sa méthodologie indiquée par le fabricant. Le choix s’effectue dans un environnement coloré neutre, de préférence en lumière naturelle, avec une exposition solaire indirecte, en fin de matinée et idéalement par ciel nuageux. À défaut, on utilisera des conditions d’éclairage artificiel de type lumière du jour définies par un spectre blanc continu avec un éclairement de 2 000 lux et une température de couleur proche de 6 500 °K (6 226,85 °C) [1]. L’utilisation des teintiers s’accompagne de la réalisation d’un schéma détaillé dans trois les zones cervicale, médiane et incisale (fig. 3).
Ce choix est subjectif, puisqu’il dépend de la physiologie oculaire de l’observateur, du vieillissement de l’œil ou d’éventuelles dyschromatopsies, de son éducation visuelle, ainsi que de la qualité de la lumière environnante (fig. 4) [2]. Le choix visuel peut donc entraîner des différences de couleur entre les dents prothétiques et les dents naturelles adjacentes [3].
Depuis quelques années, la recherche a mis au point des instruments de mesure de la couleur des dents qui rendent le choix plus objectif. Ces appareils peuvent être classés en deux familles : les spectrophotomètres et les colorimètres.
Les colorimètres (fig. 5) analysent…





