La prise en charge de la gingivite liée à la plaque

  • Par
  • Publié le . Paru dans L'Information Dentaire n°18 - 5 mai 2020
Information dentaire
La gingivite liée à la plaque est une inflammation non spécifique résultant de l’interaction entre le biofilm bactérien et les défenses immunitaires de l’hôte. Elle reste localisée à la gencive et ne s’étend pas au système d’attache parodontale (cément, desmodonte et os alvéolaire). Elle peut survenir sur un parodonte intact ou sur un parodonte réduit (avec ou sans historique de parodontite).

La gingivite liée à la plaque est une inflammation non spécifique résultant de l’interaction entre le biofilm bactérien et les défenses immunitaires de l’hôte. Elle reste localisée à la gencive et ne s’étend pas au système d’attache parodontale (cément, desmodonte et os alvéolaire). Elle peut survenir sur un parodonte intact ou sur un parodonte réduit (avec ou sans historique de parodontite).

Bien que la gingivite n’évolue pas nécessairement vers la parodontite, la persistance de l’inflammation gingivale est un facteur de risque majeur ainsi qu’un passage obligé vers la perte d’attache. C’est pourquoi la prise en charge de la gingivite occupe une place de premier choix dans la prévention primaire des parodontites.

Le diagnostic

Le diagnostic de la gingivite repose sur le recueil de paramètres cliniques incluant :

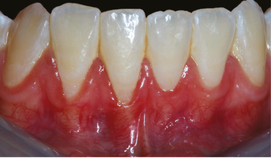
– les signes cliniques de l’inflammation gingivale : érythème/rougeur, œdème, douleur (parfois une simple gêne ou démangeaison), chaleur et perte réversible de fonction de l’épithélium jonctionnel (qui joue le rôle de barrière entre le milieu intérieur et le milieu extérieur). À cela s’ajoute de manière inconstante une altération du festonnage gingival (fig. 1) ;

1. Gingivite liée à la plaque sur parodonte réduit chez une patiente de 23 ans sans antécédent de parodontite. La gencive est rouge vernissée, œdématiée et la présence de plaque dentaire et de tartre en quantité importante est objectivée à l’œil nu. Le festonnage gingival est altéré sur toutes les papilles du bloc incisivo-canin mandibulaire.

– les symptômes rapportés par le patient : saignements gingivaux, présence d’un goût métallique, changement de l’aspect des gencives (couleur, volume, texture…), halitose, douleur ou gêne, difficulté à s’alimenter et se brosser les dents, altération de la qualité de vie.

Il est à noter que le diagnostic de gingivite ne nécessite pas d’examen radiographique.

Chez les patients sans antécédent de parodontite, la gingivite sur parodonte intact ou réduit est définie par un saignement au sondage touchant au moins 10 % des sites et des profondeurs de sondage ≤ 3 mm (en présence d’un œdème important, les valeurs de sondage peuvent être augmentées sans perte d’attache associée : on parle de poche…

Cet article est réservé aux abonnés.
Pour lire la suite :

Vous êtes abonné.e ? Connectez-vous
Mot de passe
oublié ?

Vous pouvez également :

Acheter le numéro À l'unité

Thèmes abordés

Sur le même sujet

Parodontologie

Article réservé à nos abonnés De la muco-esthétique à la muco qui sauve les dents

Le concept PASS au cœur de l’innovation parodontale La chirurgie plastique parodontale a connu une évolution notable, alliant avancées cliniques et technologiques...
Parodontologie

Article réservé à nos abonnés Séance SFPIO – Quelles sont les bonnes pratiques en parodontologie en 2024 ?

Responsable scientifique : Caroline Fouque Intervenants : Damien FEUILLET, Hélène RANGé, Nicolas BLANC-SYLVESTRE La parodontologie au croisement des disciplines Toutes sévérités confondues, les...