Le diagnostic
La démarche diagnostique se déroule en trois étapes [2].
Anamnèse et recherche des facteurs de risques généraux :
- recherche d’une origine médicamenteuse : anti-convulsivant (phénytoïne), anti-hypertenseur (nifédipine) et immunosuppreseur (ciclosporine) ;
- recherche d’une origine génétique : antécédents familiaux d’accroissement gingival, fibromatose gingivale héréditaire ;
- recherche d’une origine hormonale : puberté [3], grossesse, ménopause.
Examen clinique et recherche des facteurs de risque locaux :
- évaluation de l’indice de plaque (plaque en quantité abondante) et recherche des facteurs rétentifs (traitement orthodontique, restaurations iatrogènes…) ;
- recherche des signes cliniques de l’inflammation gingivale : gencive œdématiée avec perte du festonnage gingival, papillite, rougeur/érythème, saignement et gêne ou douleur ;
- évaluation des proportions coronaires (hauteur coronaire réduite, aspect de dents « carrées ») ;
- évaluation des profondeurs de sondage (pseudo-poches ou « poches gingivales »).
Status radiographique :
- évaluation de la distance entre la jonction émail-cément et le sommet de la crête osseuse (une distance inférieure à 1 mm évoque une éruption passive incomplète).
La prise en charge
La prise en charge de l’accroissement gingival chez l’adolescent comprend sept étapes.
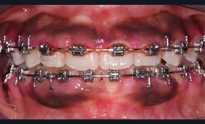
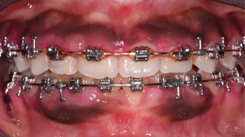
1/ Examen clinique : scores de plaque et de saignement, examen du phénotype parodontal, mesures des profondeurs de sondage et des hauteurs de tissu kératinisé (fig. 1 et 2).
Fig. 1 et 2. Situation initiale Une jeune fille de 14 ans est adressée par son orthodontiste pour un accroissement gingival généralisé apparu au cours de son traitement orthodontique. à l’examen clinique, le parodonte est épais et festonné [6], la hauteur de tissu kératinisé est > 6 mm (sauf au niveau de 31), le score de plaque est…

