Le développement psychologique et orofacial de l’enfant peut être perturbé par des anomalies de structure des dents temporaires et/ou permanentes. Les besoins exprimés par le patient ainsi que le type de l’anomalie seront autant de critères en faveur d’une prise en charge adaptée et précoce. Les anomalies du développement de l’émail peuvent concerner un groupe de dents ou l’intégralité des deux dentures et ce, de manière plus ou moins sévère. Ces atteintes peuvent être à l’origine de sensibilités, de douleurs et de gêne esthétique. Ces marqueurs de dégradation progressive de la santé bucco-dentaire sont généralement les motifs de consultation du chirurgien-dentiste.
Cette revue de littérature permet de faire le point sur la prise en charge des sensibilités et douleurs ressenties par les patients porteurs d’anomalies de structure amélaire.
Sensibilités et douleurs
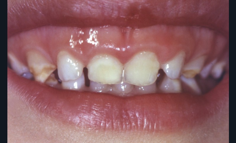
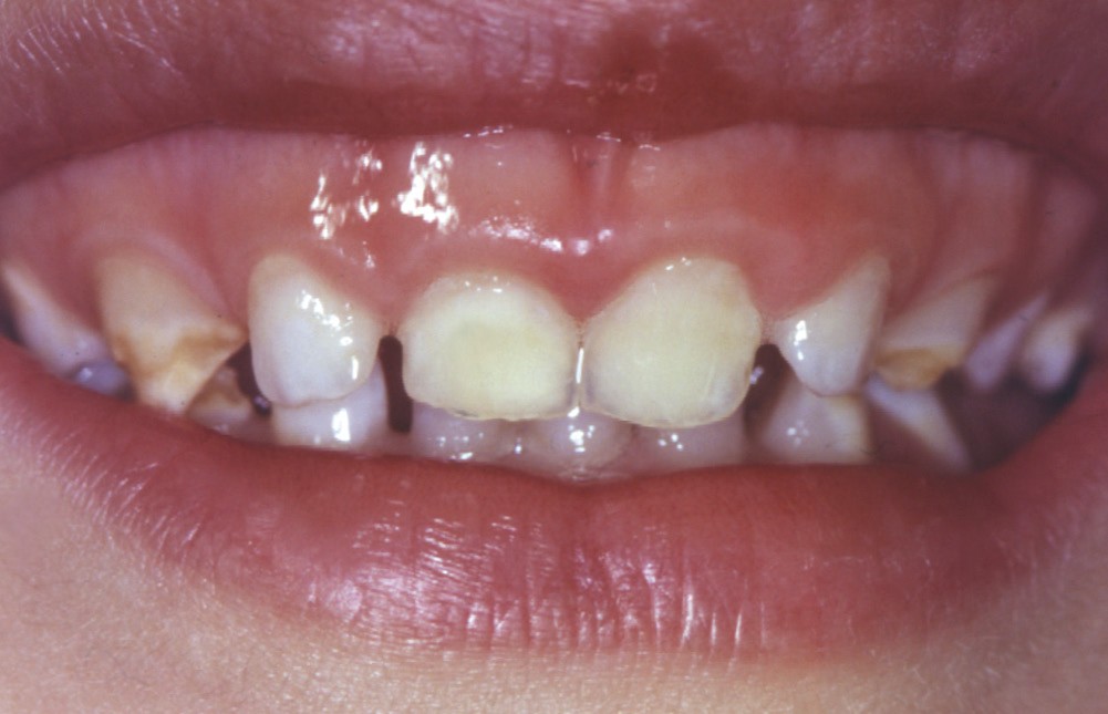
Le diagnostic d’une anomalie dentaire permet une reconnaissance pour l’enfant de sa gêne ou de sa souffrance dans les situations du quotidien. La prise en compte de la douleur par le praticien est la première étape avant l’évaluation. Parmi les anomalies de structure, l’amélogenèse imparfaite (AI) (fig. 1) et l’hypominéralisation molaires-incisives (MIH) (fig. 2) sont les plus douloureuses. La porosité de l’émail des dents affectées est responsable d’une inflammation pulpaire infraclinique à l’origine d’une hypersensibilité provoquée voire d’une douleur chez les jeunes enfants. De plus, cette porosité peut favoriser la rétention du biofilm pathogène pour la dent et le parodonte, et entraîner une lésion carieuse et/ou une gingivite, elles-mêmes douloureuses.
Évaluation de la qualité de vie
Les circonstances de survenues des douleurs et leurs conséquences seront recherchées au cours de l’entretien avec l’enfant et son accompagnant. La perturbation de l’oralité…

