1. Diagnostic
L’abcès parodontal correspond à une inflammation purulente, le plus souvent aiguë et localisée, entraînant une destruction rapide des tissus de soutien de la dent.
Cliniquement, la gencive présente un aspect tuméfié, rouge/violacé ; elle est lisse, brillante et à tendance hémorragique (fig. 1). Une suppuration, majoritairement par le sulcus, est observée de manière spontanée ou provoquée sous légère pression. La palpation et la percussion sont douloureuses. Une mobilité dentaire, variable selon l’atteinte desmodontale, peut être présente.
On recherchera d’éventuels signes d’altération de l’état général : adénopathie, fièvre, malaise.
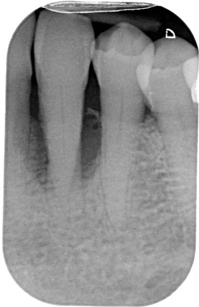
Le diagnostic différentiel avec la lésion d’origine endodontique et la lésion endo-parodontale devra s’appuyer sur le sondage, le test de vitalité et l’examen radiographique par radio rétro-alvéolaire. En cas de lésion d’origine parodontale, le sondage est arciforme, le test de vitalité est positif et une image radio-claire latérale peut être observée sur le cliché rétro-alvéolaire (tableau 1, fig. 2).
2. Traitement d’urgence
Il consiste, après anesthésie de contact ou par infiltration, en un drainage de la collection purulente :
– par la poche parodontale par débridement (insert U.S et/ou curette de Gracey) (fig. 3),
– ou par incision externe à la lame froide, après désinfection locale à la polyvidone iodée verte du dôme abcédé (point le plus déclive ou sommet) jusqu’à la base de l’abcès et compression digitale avec une compresse imbibée d’antiseptique (polyvidone iodée verte).
Notons qu’en cas d’allergie à l’iode, la polyvidone iodée verte sera remplacée par de la chlorhexidine à 0,2 %.
3. Prescription
– Antalgique de palier I : paracétamol à la dose de 1 g toutes les 6 heures pendant 3 jours.
– Antiseptiques locaux :…


