Étapes de réalisation, rôle fondamental de l’assistante dentaire
Au stade post-prothétique
Étape(s) clinique(s) n° 1 :
Les réponses aux doléances (fig. 21)
Les impressions et les difficultés rencontrées après la pose des prothèses amovibles complètes traditionnelles peuvent être diverses et variées, selon les cas. Plus ou moins évidentes, les doléances nécessitent une prise en charge rapide et efficace. Il faut alors répondre aux difficultés technologiques ou psychologiques. Les doléances peuvent être objectives, s’accompagnant de signes cliniques évidents (mauvaise tenue des prothèses, blessures, nausées, hyper salivation), ou plus subjectives, plus sournoises, sans réelle manifestation clinique (perte de goût, problèmes esthétiques divers …).
Si le patient a été correctement préparé en amont et suivi tout au long de son traitement, les doléances sont attendues et nettement atténuées en nombre et en gravité.
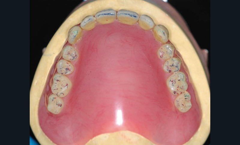
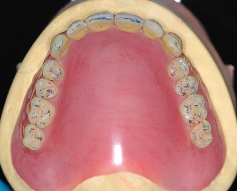
Étape clinique n° 2 :
L’équilibration occlusale finale (fig. 22, 23)
Lorsque le patient s’est adapté et que les prothèses ont «fait leur lit» au sein des tissus, il est important de revoir et de régler finement l’équilibre occlusal pour accroître le confort et l’efficacité masticatoire du patient. C’est l’objectif de l’équilibration finale, qui est menée sur articulateur par le praticien (ou le prothésiste), selon les règles du concept de l’occlusion généralement équilibrée.
Étape(s) clinique(s) n° 3 : Suivi et maintenance des prothèses (fig. 24)
Il est indispensable de suivre l’évolution du traitement à moyen et long termes, pour assurer sa qualité et sa pérennité. Un rendez-vous annuel au cabinet dentaire est nécessaire pour assurer les étapes de maintenance (vérification de l’hygiène, contrôle de la stabilité des bases, corrections occlusales …)
Ainsi, le patient, le praticien et ses collaborateurs (dont l’assistante dentaire fait…



