La prothèse amovible partielle supra-radiculaire avec attachement axial : aspects théoriques et pratiques

  • Par
  • Publié le . Paru dans Stratégie Prothétique n°3 - 30 juin 2016 (page 215-223)
Information dentaire
Quels sont les avantages d’un attachement radiculaire axial en prothèse partielle amovible ?
Quels sont les facteurs de réussite de ce type de traitement ?
Comment réaliser les étapes cliniques et de laboratoire ?

L’évolution des connaissances en biologie, physiologie, biomécanique et biomatériaux ont permis à l’odontologie et plus précisément à la prothèse d’offrir aux patients de nouvelles éventualités répondant à leurs exigences fonctionnelles et esthétiques.
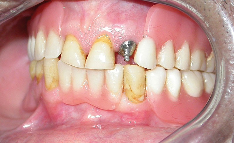
Dans le cas des édentements de grande étendue, lorsque la prothèse fixée ou supra-implantaire ne peut être envisagée (pour des raisons d’ordre général, local ou pécuniaire), la prothèse amovible partielle demeure l’unique alternative prothétique.
Celle-ci malheureusement présente de nombreuses contraintes d’ordre biomécanique, qui se voient accentuées particulièrement lorsque la dent antérieure ne peut supporter un artifice de rétention de type crochet. Cela peut compromettre l’esthétique de la réhabilitation et sa fonctionnalité qui constituent les objectifs visés.
Le recours aux attachements axiaux supportés par des racines préparées à cet effet peut présenter un grand intérêt et concourir à une meilleure stabilité prothétique et une gestion améliorée du facteur esthétique [1, 2].

Avantages
L’utilisation d’un ancrage radiculaire support de systèmes de rétention, présente de nombreux intérêts à différents niveaux.
Sur le plan fonctionnel
Elle assure une stabilité prothétique, optimise l’équilibre occlusal et accroit le coefficient masticatoire et ce grâce à :
• l’augmentation de la sustentation et la rétention,
• le maintien de la proprioception desmondontale, ce qui améliore l’efficacité masticatoire
• la suppression des surcharges sur la fibromuqueuse et les crêtes flottantes,
• la stabilisation des rapports maxillomandibulaires (RMM) dans le temps, surtout lorsque les racines sont postérieures sous une selle en extension.
Sur le plan esthétique
Elle permet d’éviter l’effet disgracieux de l’interruption de la fausse gencive, de la visibilité des crochets, ainsi que de résoudre les situations où la dent antérieure ne peut…

Cet article est réservé aux abonnés.
Pour lire la suite :

Vous êtes abonné.e ? Connectez-vous
Mot de passe
oublié ?

Vous pouvez également :

Acheter le numéro À l'unité

Thèmes abordés