La prothèse amovible partielle immédiate en résine dans le rétablissement des fonctions oro-faciales

  • Par
  • Publié le . Paru dans Stratégie Prothétique n°3 - 15 juin 2023 (page 81-88)
Information dentaire

– Quels sont les avantages des prothèses amovibles partielles immédiates ?

– Quel matériau est adapté à ce type de restauration ?

– Un rebasage est-il toujours nécessaire ?

– Peut-on se passer d’une prothèse d’usage ?

La prothèse amovible partielle immédiate en résine est une prothèse dont la spécificité réside dans le fait que l’extraction de certaines dents et la pose de la prothèse se font dans la même séance.

Sa réalisation est une approche qui comporte de nombreux avantages psychologiques, mais aussi esthétiques et fonctionnels. Son indication dépend de facteurs généraux et loco-régionaux qui impliquent un examen clinique attentif à la fois des dents restantes et des secteurs édentés. Le succès de la prothèse amovible partielle immédiate en résine est également lié au choix de techniques d’empreinte adaptées, au rétablissement de l’occlusion et à une approche esthétique personnalisée de chacun des cas cliniques traités. Enfin, la pérennité de la prothèse immédiate dépend de la préservation du capital osseux, et par conséquent de la conception de la prothèse au niveau des dents devant être extraites et de l’approche chirurgicale le jour de l’insertion prothétique. L’intégration de cette prothèse immédiate requiert la participation active du patient quant au choix des dents, mais surtout la validation du montage des dents sur cire.

L’objectif de cette étude est de montrer, à travers des cas cliniques, l’importance de la prothèse amovible partielle immédiate en résine dans le rétablissement des fonctions oro-faciales.

Cas clinique n° 1

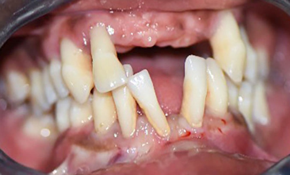
Il s’agit d’un étudiant âgé de 27 ans, venu en consultation pour des problèmes esthétiques et fonctionnels. Le patient constate la mobilité des 11 et 21, associée à une dyschromie desdites dents à la suite d’un accident de la voie publique (AVP) qui date de plus de cinq ans. En outre, nous avons noté une parodontite ayant entraîné les extractions des 16, 31 et la présence des récessions et de mobilités 4 des 32, 36, 37, 41, 42 (fig. 1-4). Chez ce patient, nous avons, avec son consentement, décidé d’extraire les 11, 21, 32,41, 42 et de réaliser des prothèses…

Cet article est réservé aux abonnés.
Pour lire la suite :

Vous êtes abonné.e ? Connectez-vous
Mot de passe
oublié ?

Vous pouvez également :

Acheter l'article En version numérique
Acheter le numéro À l'unité

Thèmes abordés