Question 1
Il est communément admis que stripper jusqu’à 50 % de l’émail proximal est acceptable.
a. Vrai
b. Faux
Question 2
Le stripping, même bien conduit, augmente le risque de lésion carieuse.
a. Vrai
b. Faux
Question 3
L’application de fluor après stripping est toujours nécessaire
a. Vrai
b. Faux
Question 4
Il existe plusieurs méthodes de stripping équivalentes en termes de résultats
a. Vrai
b. Faux
Réponses : 1 : a ; 2 : b ; 3 : b ; 4 : a
1/ Quelle quantité d’émail est-il possible de retirer ?
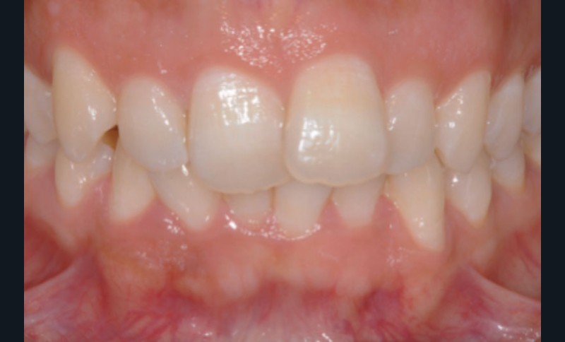
Pour Sheridan [6], de 0,3 à 0,4 mm d’émail peuvent être retirés de chaque côté de la dent ; répartis sur l’ensemble de l’arcade, des cas d’encombrement modéré peuvent ainsi être gérés sans extraction de dents permanentes (fig. 1).
En fait, il est communément admis qu’une réduction de 50 % de l’émail interproximal est la limite maximale qui permet d’éviter le risque carieux et/ou parodontal [3].
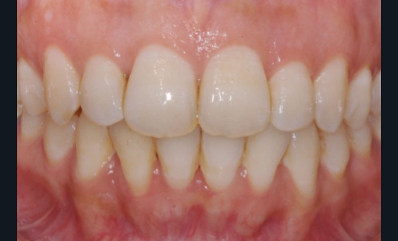
Il est utile de corréler la quantité d’émail à stripper à la forme de la dent, aux restaurations présentes et aux couronnes prothétiques. Le gain d’espace est conséquent dans les morphologies dentaires du type triangulaire (fig. 2).
2/ Les indications de la réduction amélaire interproximale
Elles sont au nombre de quatre :
– un encombrement dentaire modéré (fig. 1)
– une disharmonie dento-dentaire (démontrée par le calcul de l’indice de Bolton)
– dans le cadre d’une correction de morphologies atypiques
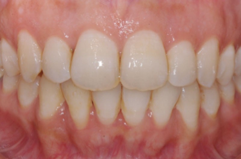
– pour la gestion de l’embrasure gingivale et la préservation de la papille (réduction des « triangles noirs » (fig. 3) [5]
Les conséquences du stripping de l’émail sont la création de rayures et de rainures plus ou moins profondes (de 15 µm à 30 µm) ; elles seraient susceptibles d’augmenter l’adhésion des bactéries et ainsi favoriser les atteintes carieuses. Or…



