La régénération osseuse guidée en implantologie : une approche revisitée après trente ans d’expérience

  • Par
  • Publié le . Paru dans Parodontologie Implantologie Orale, un nouveau regard n°4 - 15 novembre 2023 (page 64-76)
Information dentaire

RÉSUMÉ

Une proportion importante des sites implantés bénéficie désormais d’un geste d’augmentation osseuse. Les protocoles et matériaux sont très variés. L’objectif de cet article est de faire un état des lieux des pratiques et des tendances actuelles.

Remaniements tissulaires post-extractionnels

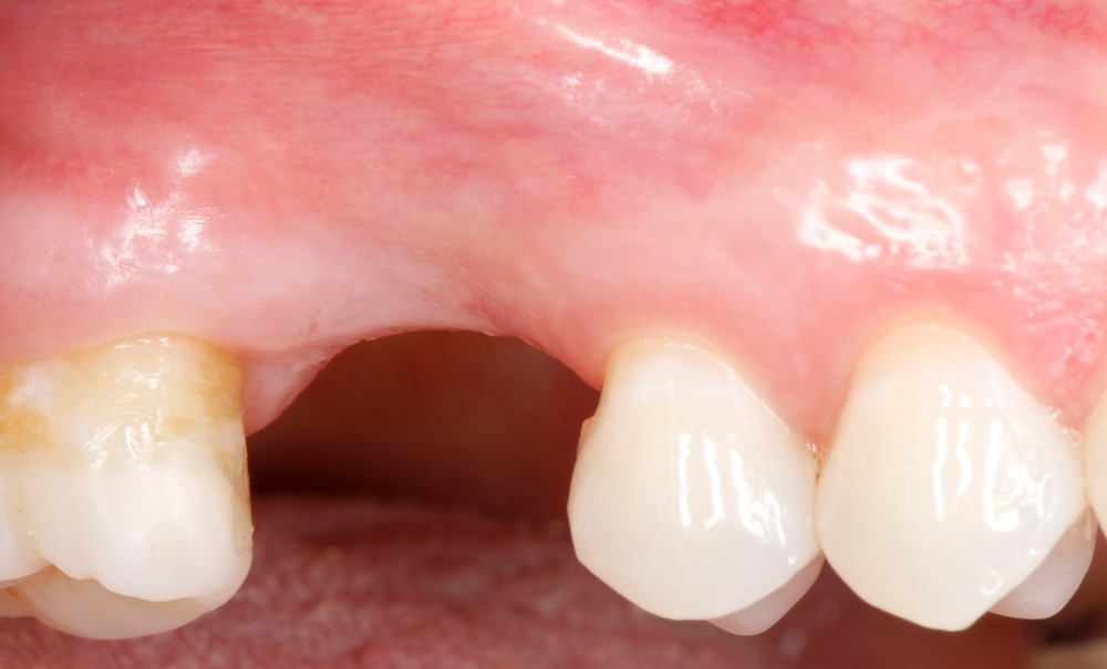
L’extraction d’une dent déclenche une série de modifications des tissus environnants [1]. Il existe un affaissement du volume osseux dans les sens vertical et transversal ; simultanément, la muqueuse kératinisée en regard du site d’extraction s’affine [2]. D’un point de vue cinétique, le remodelage serait rapide dans les 3 à 6 premiers mois suivant l’extraction puis son rythme ralentirait [3]. Six mois après l’extraction, le volume osseux aurait perdu entre un et deux tiers de son épaisseur et de 10 à 20 % de sa hauteur [3]. En valeurs absolues, ces changements atteignent plusieurs millimètres [4]. D’un point de vue topographique, le remodelage est asymétrique. La table vestibulaire se résorbe plus que son homologue linguale ou palatine, vraisemblablement en raison de son extrême finesse [5, 6, 7].

Régénération osseuse guidée

Le concept de régénération osseuse guidée (ROG) est issu des travaux de Nyman en parodontologie [8] et Dahlin [9]. Le principe est d’utiliser une barrière physique pour séparer les tissus mous de la zone du défaut osseux. En effet, le tissu osseux se reconstitue beaucoup plus lentement que les tissus de recouvrement. Il s’agit ainsi de se prémunir du risque de colonisation du défaut par les cellules épithéliales et conjonctives le temps de l’ostéogénèse dans le défaut [7].

La définition retenue dans cet article est celle du consensus de Bologne [10] : « Toute technique chirurgicale impliquant l’application d’une membrane résorbable ou non et d’os particulaire est considérée comme une technique de régénération osseuse guidée (ROG). »

Ainsi, il est possible…

Cet article est réservé aux abonnés.
Pour lire la suite :

Vous êtes abonné.e ? Connectez-vous
Mot de passe
oublié ?

Vous pouvez également :

Acheter l'article En version numérique
Acheter le numéro À l'unité

Thèmes abordés

Sur le même sujet

Implantologie

Article réservé à nos abonnés Vertiprep versus congé et épaulement

Responsable scientifique : Anne Longuet Intervenant : Hugues De Belenet Photos et schémas : © Hugues de Belenet Il n’est plus nécessaire,...
Implantologie

Article réservé à nos abonnés Déposer un implant : quand et comment ?

Responsable scientifique : Karim Dada Conférencier : Léon Pariente Bien que les taux de survie des thérapeutiques implantaires soient élevés, équivalents à...
Implantologie

Article réservé à nos abonnés L’approche immédiate unitaire : toujours d’actualité ?

Responsable scientifique : Gary Finelle Intervenant : Joseph Kan L’approche implantaire immédiate du secteur antérieur est parfois appréhendée comme une indication thérapeutique...