PRÉSIDENT DE SÉANCE : Josselin Le Thuillier
Conférenciers : Ignacio Sanz Sanchez, Michel Bartala, Anne Longuet
Rapporteurs : de conférence Caroline Gignoux, Mathieu Padovani, Lisa Belrepayre
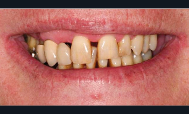
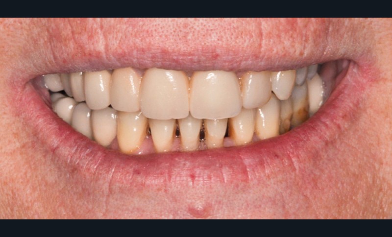
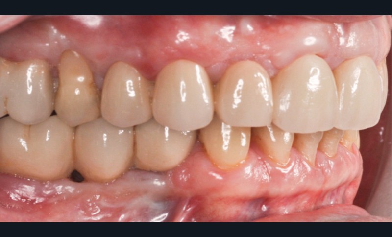
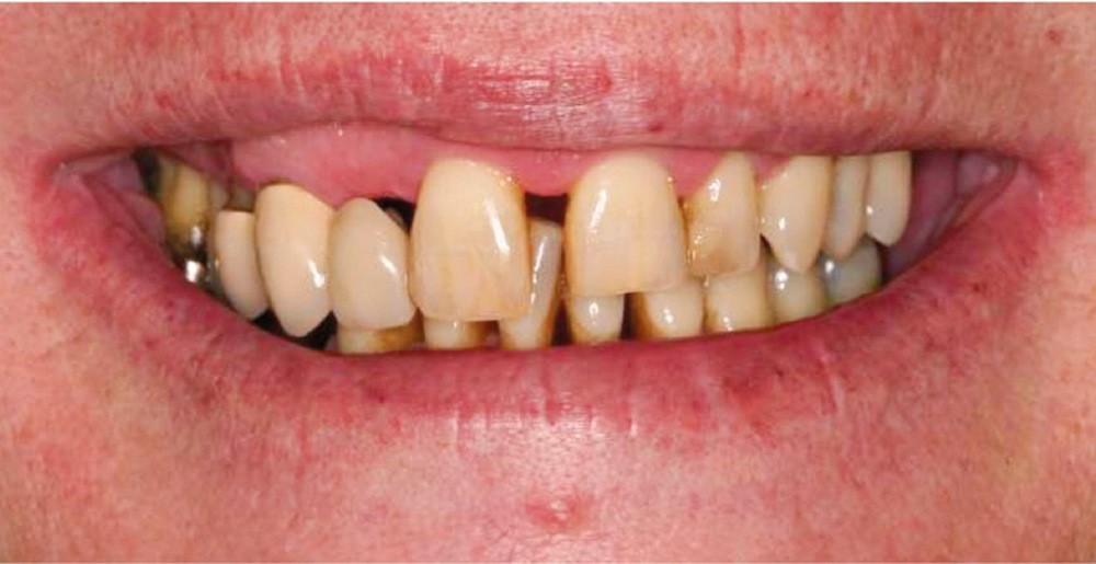
La réhabilitation esthétique et fonctionnelle sur parodonte réduit
par Ignacio Sanz Sanchez
L’implantologie est très prédictible à condition de suivre des règles précises. Certaines études montrent que 90 % des implants dentaires sont encore en place après plus de vingt ans. Le taux de survie est très élevé, même supérieur à celui des implants dans d’autres régions du corps. Toutefois, il faut relativiser avec ce taux de succès.
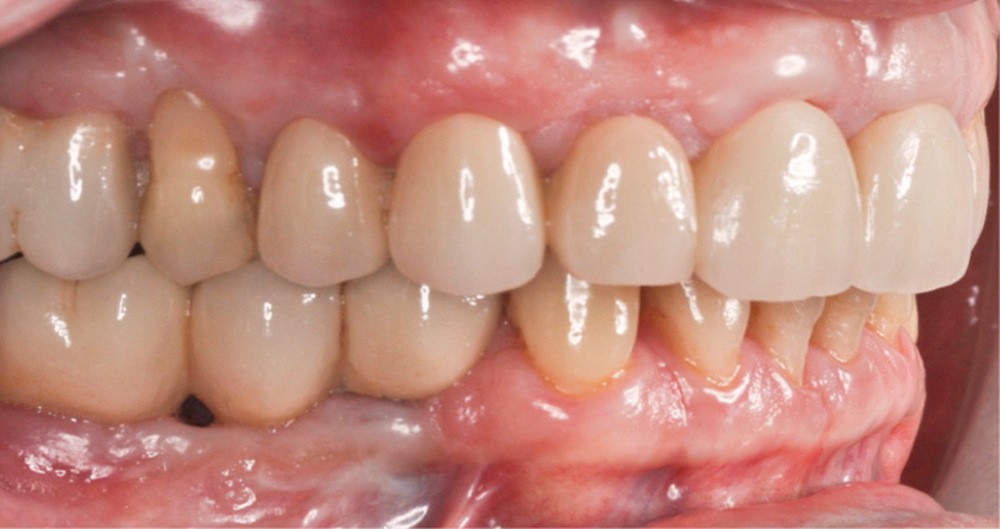
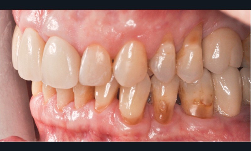
La majorité des complications biologiques associées à des implants dentaires sont des modifications inflammatoires des tissus durs et mous induites par l’accumulation de biofilm. L’évolution pathologique se fait de muqueuse péri-implantaire saine en mucosite péri-implantaire, puis en péri-implantite [1, 2].
Les facteurs de risque reconnus sont le niveau d’hygiène bucco-dentaire, le tabac et la parodontite. Une revue systématique démontre que les patients partiellement édentés avec des implants ont trois fois plus de risques de développer une péri-implantite, alors qu’une autre, sur des patients édentés totaux, démontre que le risque est multiplié par 10 [5-7].
Il y a trois niveaux de prévention des maladies péri-implantaires : primaire, secondaire et tertiaire. Les deux premiers niveaux de prévention ont été abordés au cours de cette conférence.
D’abord, la prévention primaire qui vise à éviter la maladie. Elle comprend l’étude de l’historique médical, l’arrêt du tabac, le contrôle de plaque et la rationalisation de l’utilisation des implants. Sans compter l’information et la motivation du patient : expliquer le type de prothèse disponible, montrer les alternatives, illustrer les techniques de contrôle de plaque nécessaire…



