La réostéointégration de l’implant est-elle possible ?

  • Par
  • Publié le . Paru dans L'Information Dentaire n°41 - 29 novembre 2023 (page 96-98)
Information dentaire
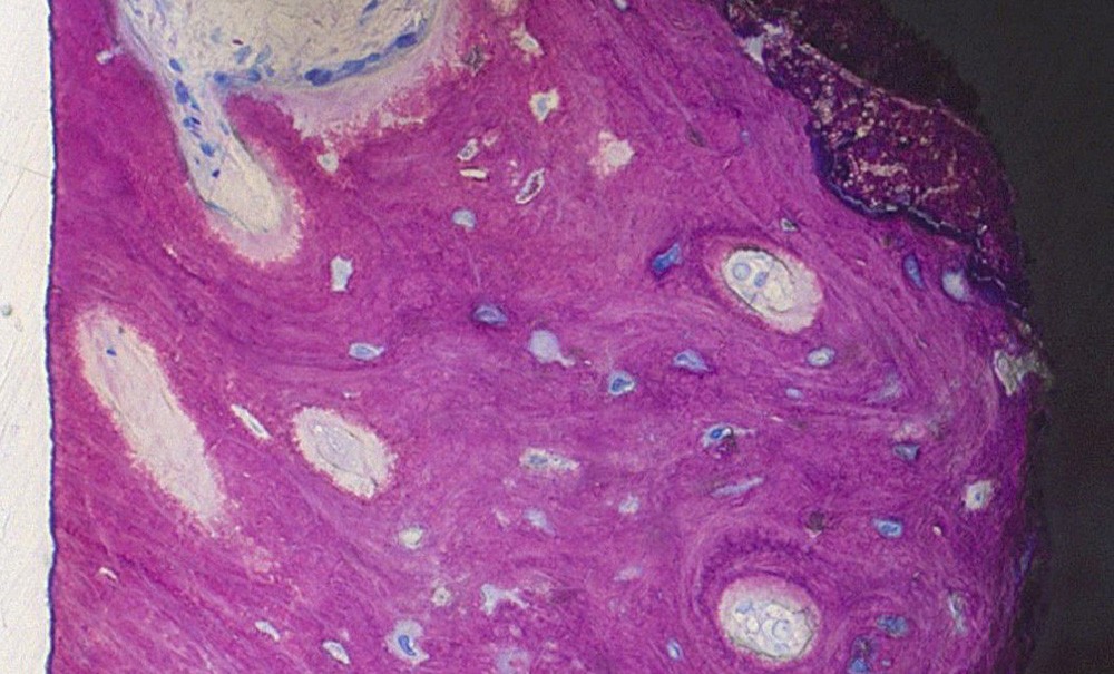
La réparation d’un défaut osseux péri-implantaire est possible, mais ce nouvel os est-il capable d’établir un contact direct avec une surface implantaire préalablement infectée ? Pour répondre à cette question, les études doivent s’appuyer sur des coupes histologiques. Pas simple chez l’homme.

Les études animales

Elles sont regroupées dans deux revues systématiques de la littérature.

La première [1] est proposée par le Pr Stefan Renvert, de l’Université de Kristinstad (Suède), chercheur et enseignant très réputé. Elle inclut 25 études. La seconde [2] compte parmi ses coauteurs le Pr Daniel Wismeijer, de l’Université ACTA d’Amsterdam (Pays-Bas), également très réputé. Elle inclut 11 études.

Différentes techniques de décontamination de la surface implantaire et différents protocoles chirurgicaux sont présentés. Le réenfouissement des implants après traitement semble exercer une influence positive sur la réostéointégration. L’association d’une décontamination chimique utilisant chlorhexidine et sérum physiologique, et d’une technique de régénération, offre de très bons résultats. L’utilisation du laser lors de la décontamination de l’implant donne également de bons résultats et, dans ces études, constitue un mode de traitement intéressant. Chez l’animal, la réostéointégration est donc possible.

Les études humaines

Le nombre d’études cliniques intégrant de l’histologie humaine est évidemment limité. Il s’agit essentiellement de « case reports » ou de petites séries de cas. Au nombre de cinq [3-7], elles regroupent, au total, douze implants (voir tableau ci-dessous).

Dans presque tous les cas, le patient a accepté le prélèvement en bloc d’un implant non stratégique traité. Par ailleurs, dans une de ces études, un patient récemment traité pour une péri-implantite et ayant donné son corps à la recherche médicale, est décédé. Sa famille a autorisé le prélèvement.

Chacune de ces cinq études propose des techniques de décontamination et de régénération différentes : de la simple décontamination chimique (eau oxygénée, hypochlorite de sodium, EDTA) à la décontamination électrolytique (GalvoSurge, Straumann) en passant par le laser, mais l’enfouissement…

Cet article est réservé aux abonnés.
Pour lire la suite :

Vous êtes abonné.e ? Connectez-vous
Mot de passe
oublié ?

Vous pouvez également :

Acheter l'article En version numérique
Acheter le numéro À l'unité

Thèmes abordés

Sur le même sujet

Implantologie

Article réservé à nos abonnés Vertiprep versus congé et épaulement

Responsable scientifique : Anne Longuet Intervenant : Hugues De Belenet Photos et schémas : © Hugues de Belenet Il n’est plus nécessaire,...
Implantologie

Article réservé à nos abonnés Déposer un implant : quand et comment ?

Responsable scientifique : Karim Dada Conférencier : Léon Pariente Bien que les taux de survie des thérapeutiques implantaires soient élevés, équivalents à...
Implantologie

Article réservé à nos abonnés L’approche immédiate unitaire : toujours d’actualité ?

Responsable scientifique : Gary Finelle Intervenant : Joseph Kan L’approche implantaire immédiate du secteur antérieur est parfois appréhendée comme une indication thérapeutique...