Le matériel
1 De l’analyse à la clé de mock-up
Situation initiale, sourire naturel, hors image calibrée pour le protocole.
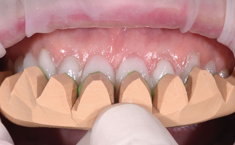
2. Réalisation du mock-up
![]()
Étape de réalisation des masques esthétiques (mock-up).
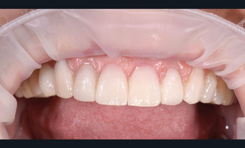
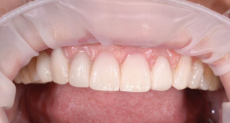
3. Réévaluation et communication
![]()
Étape de finition et partage du mock-up, ou masque, ou postiche.
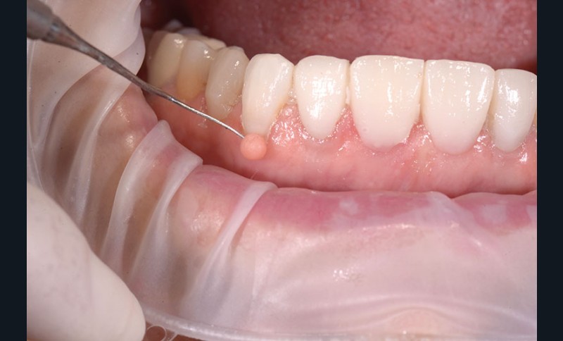
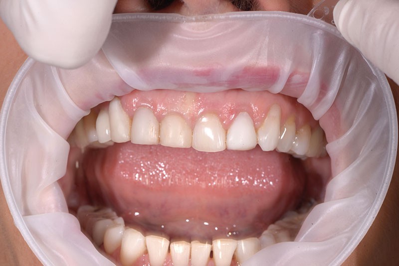
1. De l’analyse à la clé de mock-up
![]()
Séance préopératoire de recueil d’informations, analyse de la face et du sourire.
Le passage du dessin 2D à la réalisation 3D se fait soit par cire ajoutée, soit par CFAO.
Réalisation de la clé de mock-up.
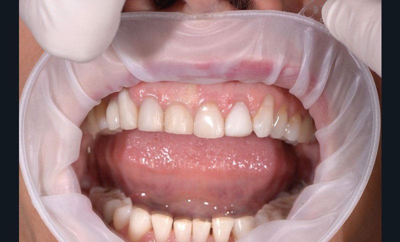
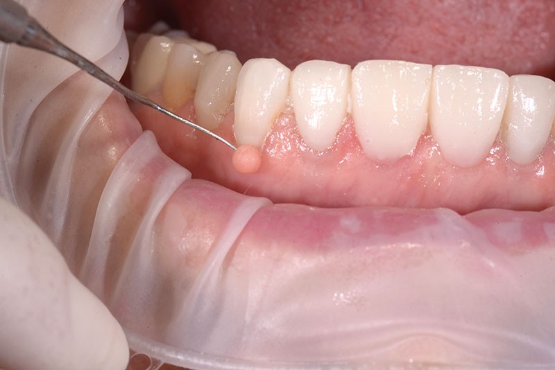
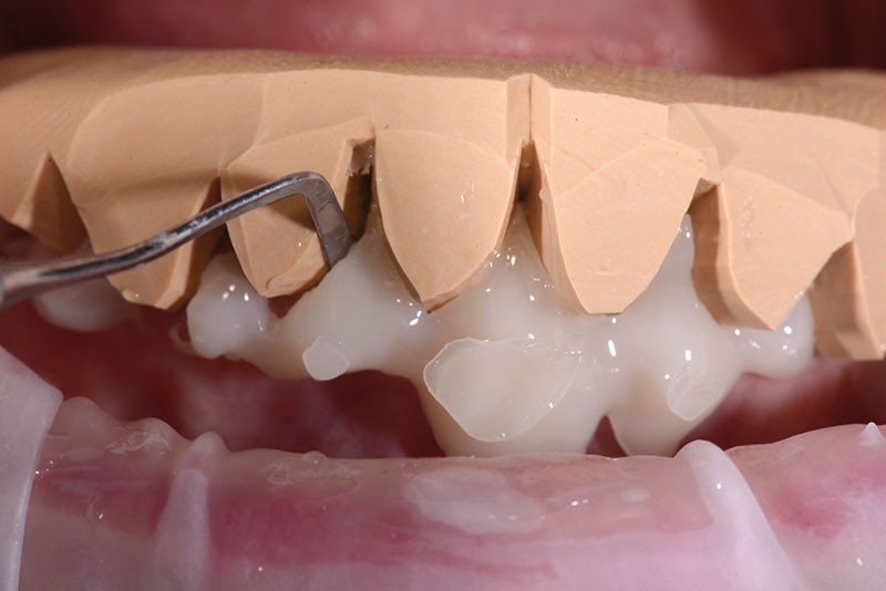
2. Réalisation du mock-up
![]()
Séance de mock-up proprement dite.
Réalisation du mock-up.
[gallery link= »file »…

























