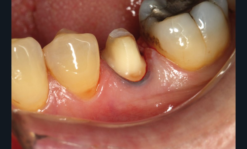
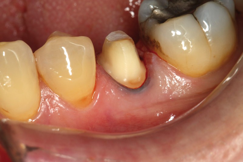
Voici un exemple clinique de mise en œuvre dans le cadre de la réalisation d’une couronne sur une 35, en un seul rendez-vous.
La préparation corono-périphérique est réalisée avec une limite cervicale juxta-gingivale ou légèrement intra-sulculaire, un fil de soie noir est placé dans le sulcus pour améliorer la lisibilité de la limite cervicale.
Dans le cas d’une couronne unitaire, il suffit de réaliser la prise d’empreinte de l’hémiarcade sur laquelle se situe la dent préparée, de l’arcade antagoniste et des rapports d’occlusion en OIM.
À l’issue de l’empreinte, le praticien indique la limite cervicale de la préparation, vérifie que l’espace occlusal est suffisant pour le matériau prothétique et contrôle l’absence de contre-dépouilles en rapport avec l’axe d’insertion.
L’empreinte peut alors être transférée dans le logiciel de CAO. Il faut ensuite indiquer le numéro de la dent, et le matériau choisi pour l’usinage.
La conception de la couronne est très simple, le logiciel propose une dent de sa bibliothèque qui est automatiquement adaptée en forme et volume à l’espace disponible.
Des outils logiciels permettent d’affiner le placement automatique en quelques instants.
Une fois la conception validée, un bloc de dimensions correctes est placé dans la machine, ainsi qu’une fraise à usage unique. L’usinage dure entre 10 et 20 minutes selon la taille de l’objet.
Un four de cuisson de céramique complète la solution. Il comporte des programmes de cycles de cuisson ou glaçage préprogrammés pour les différents matériaux usinables, ce qui simplifie son utilisation à l’extrême.
Dans le cas de situations cliniques plus étendues, le système peut également être connecté à un laboratoire de prothèse distant pour des réalisations plus élaborées.
[gallery link= »file »…


