Rubrique coordonnée par Mathilde Jalladaud et Marin Pomperski
Le recours à une analyse esthétique est devenu un préalable indispensable à la réalisation de RAC. Les masques ou mock-up issus de la cire de diagnostic ou wax-up permettent une prévisualisation esthétique et fonctionnelle avant même d’avoir déposé les anciennes restaurations ou préparé les surfaces dentaires. Les préparations sont guidées et calibrées grâce aux masques. La préservation tissulaire est maximale.
Les mock-up
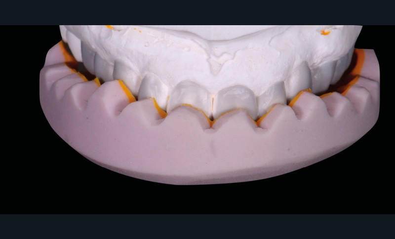
Les mock-up sont des masques de résine bis-acryl obtenus à partir de clés en silicone de haute précision. Ils sont apparus avec les progrès de l’analyse initiale et de la planification. L’analyse esthétique et fonctionnelle passe le plus souvent par la réalisation d’un wax up numérique (fig. 1) ou physique (fig. 2). Le modèle dont est tirée la forme des mock-up est généralement celui du wax-up. Ce dernier peut être transféré en bouche à l’aide d’une clé en silicone de haute viscosité (fig. 3).
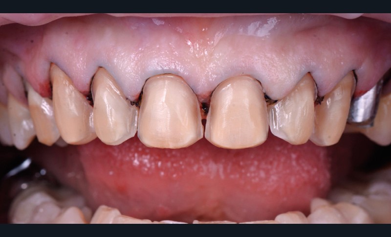
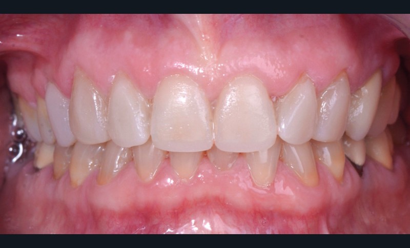
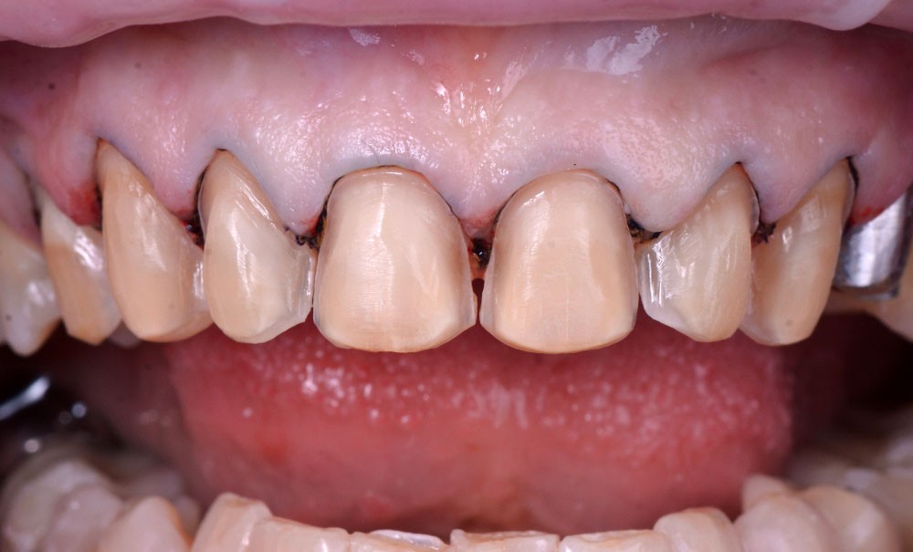
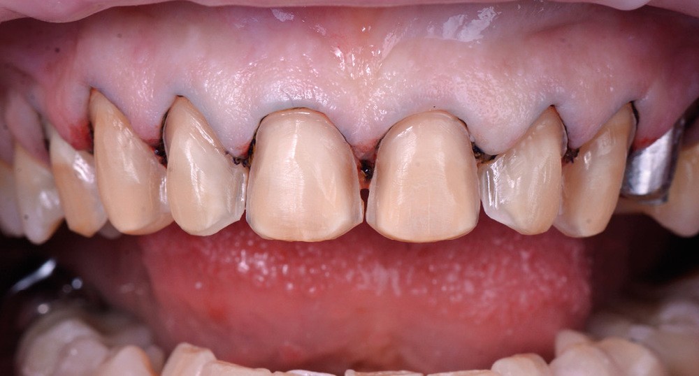
Cette maquette de résine bis-acryl (voir encadré page suivante), initialement destinée à l’analyse esthétique, peut être utilisée pour la temporisation comme restauration provisoire. Elle est alors disposée sur la surface des dents après réalisation des préparations. Elle n’est pas nécessairement scellée et peut être maintenue uniquement grâce au remplissage des zones proximales. Dans le secteur antérieur, la courbe de l’arcade permet de générer des contre-dépouilles entre les restaurations qui assurent la bonne tenue de l’ensemble. Il s’agit alors d’une restauration provisoire plurale solidarisée (fig. 4).
Restaurations provisoires par mock-up pour RAC unitaire
Le défi des restaurations provisoires pour une RAC unitaire est bien souvent la rétention. La restauration provisoire doit garantir au patient esthétique et…






