Importance de la phase prothétique
Le choix du patient qui va bénéficier d’implants est évidemment prépondérant dans le succès implantaire. à côté des pathologies générales néfastes pour les implants (diabète non équilibré, maladies inflammatoires, traitement immuno-suppresseur), le praticien doit aussi composer avec des facteurs de risques tels que les antécédents de maladie parodontale et la consommation tabagique [9, 10].
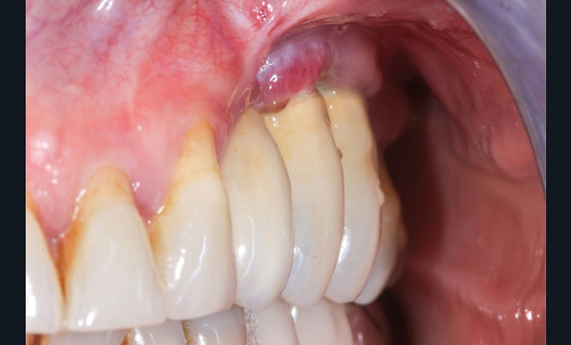
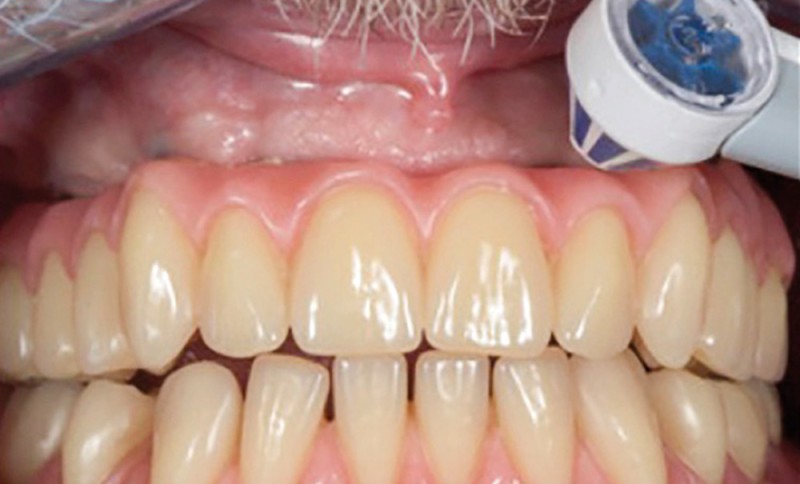
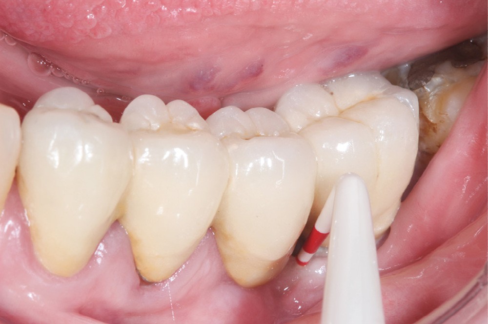
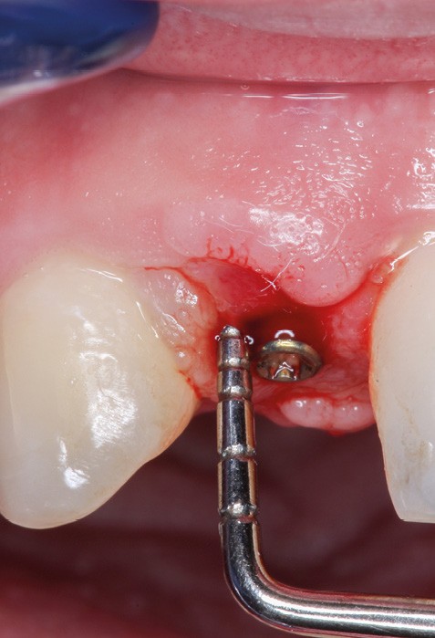
Le projet prothétique pré-implantaire [11] est également l’une des clés du succès ; il doit permettre un positionnement tridimensionnel optimal de l’implant, notamment avec un environnement tissulaire adéquat ; selon la littérature, 2 mm de tissu kératinisé sont nécessaires autour des implants pour fonctionner comme un bouclier autour de lui [12] (fig. 3).
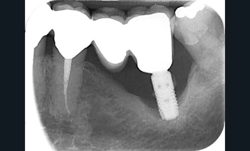
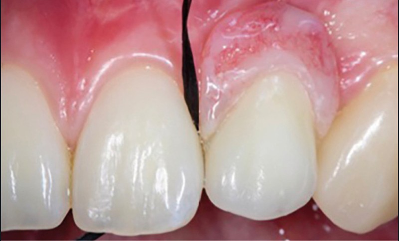
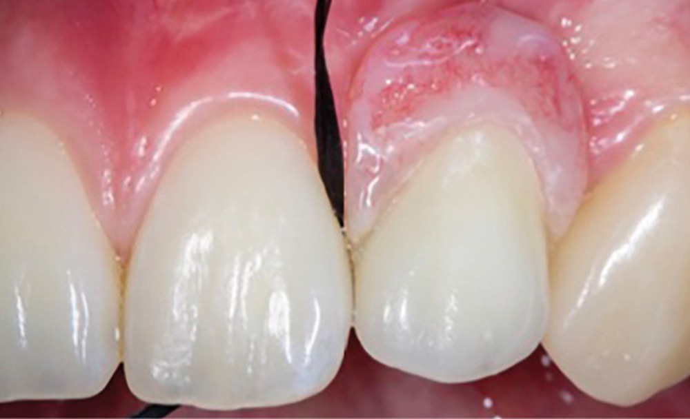
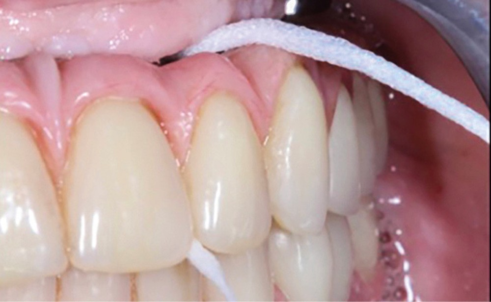
Le mode d’assemblage (prothèse vissée ou scellée) retenu peut aussi influencer la survenue d’une péri-implantite, avec une corrélation importante entre survenue de péri-implantite et présence d’excès de ciment de scellement [13, 14]. Une connexion dent-implant (prothèse dento-implanto-portée) est à proscrire, car plus propice aux péri-implantites et échecs mécaniques (fig. 4 et 5) [15, 16].
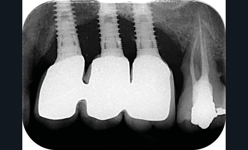
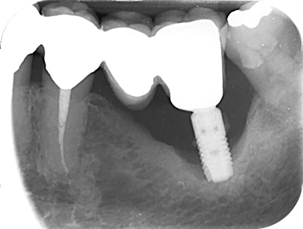
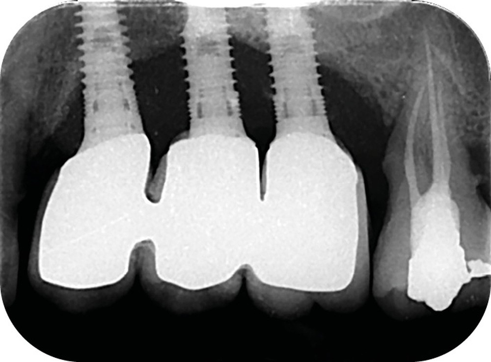
Le nombre d’implants influe aussi sur la survenue de péri-implantite. Dans les reconstructions plurales, l’implant médian est plus à risque de perte osseuse marginale et de péri-implantite [17] (fig. 6 et 7).
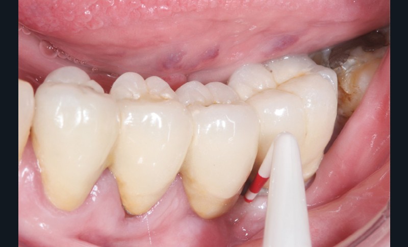
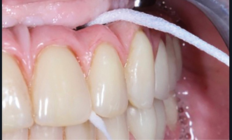
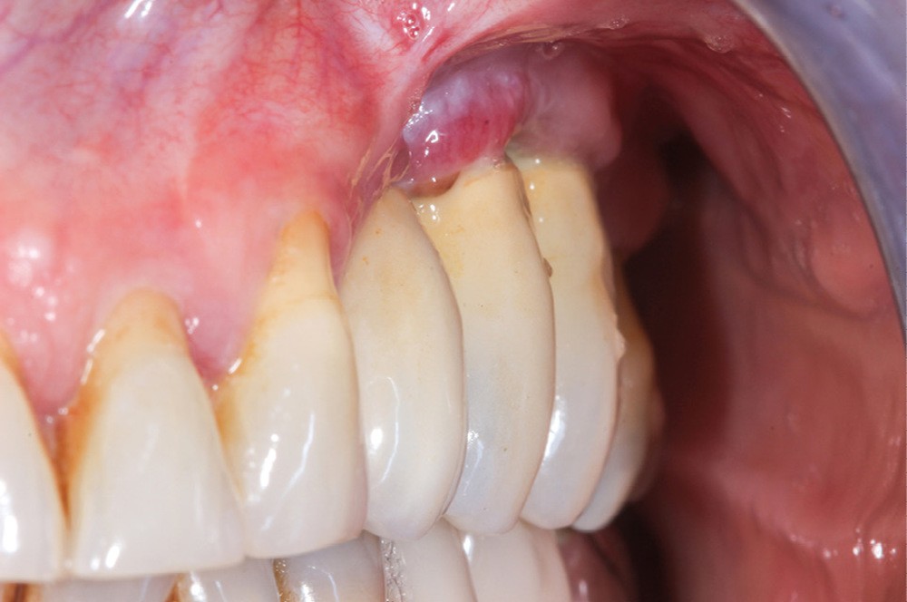
Enfin, la conception prothétique elle-même est à réfléchir, que ce soit en termes de profil d’émergence [18, 19] (pas de surcontour par exemple) (fig. 8) que d’accès à l’hygiène [20, 21] (fig. 9).
La responsabilité du duo praticien-prothésiste…



























