L’acide hyaluronique comme adjuvant du traitement des récessions gingivales

  • Par
  • Publié le . Paru dans L'Information Dentaire n°44 - 14 décembre 2022 (page 14-19)
Information dentaire

Du fait de ses propriétés biologiques, l’acide hyaluronique trouve de nombreuses applications biomédicales, notamment en dermatologie et en médecine esthétique. Son utilisation en chirurgie parodontale connaît un engouement récent. Cette mini revue de littérature évalue l’efficacité de l’acide hyaluronique sur les résultats du traitement chirurgical des récessions gingivales.

Contexte

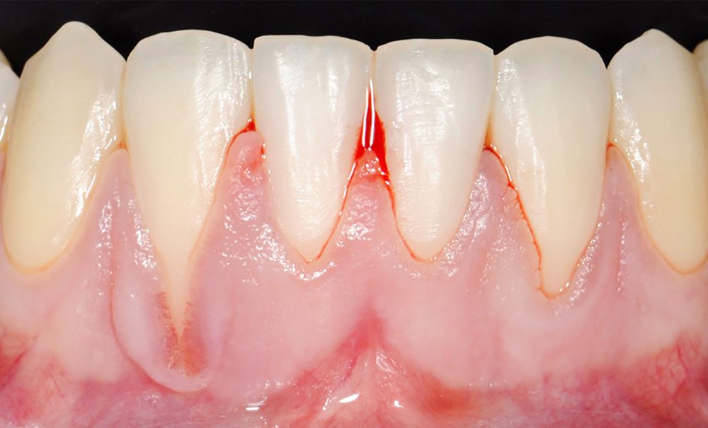
Les récessions gingivales (RG), définies comme une exposition radiculaire due à la migration apicale du rebord gingival au-delà de la jonction émail-cément, sont une situation clinique courante, rencontrée chez plus d’un adulte sur deux [1]. Le préjudice esthétique, l’hypersensibilité dentinaire ou encore la peur de perdre la (ou les) dent(s) concernée(s) sont des motifs de consultation fréquents des patients présentant des RG, en particulier les plus jeunes [2]. Les greffes gingivales sont utilisées depuis longtemps pour le traitement des RG. Une littérature abondante soutient l’efficacité de ce type de procédure pour obtenir un recouvrement radiculaire substantiel, parfois complet, et augmenter la hauteur et l’épaisseur de gencive, gage de stabilité de la position du rebord gingival [3].

Le lambeau repositionné coronairement (LPC), associé à un greffon conjonctif enfoui (GCE) prélevé classiquement au palais, est à ce jour la technique la plus efficace et la plus prédictible en termes de recouvrement des RG à long terme [4]. Son principal inconvénient reste cependant la morbidité postopératoire (inconfort, douleur) du site donneur qui peut être, pour le patient, source d’inquiétude, voire un motif de refus du traitement. La quantité/qualité variables du prélèvement, selon les caractéristiques du site donneur et la complexité de certains types de prélèvements sont aussi des inconvénients.

Pour surmonter ces obstacles potentiels, des solutions alternatives ont été développées. Les substituts les plus étudiés sont les matrices dermiques acellulaires, les matrices de collagène d’origine animale, les dérivés de la matrice amélaire et les concentrés plaquettaires. Les performances de ces matériaux sont très hétérogènes. Un léger bénéfice à court terme (6 à 12 mois) est généralement observé par rapport à un LPC seul mais les résultats restent globalement inférieurs à ceux du LPC+GCE.

Cet article est réservé aux abonnés.
Pour lire la suite :

Vous êtes abonné.e ? Connectez-vous
Mot de passe
oublié ?

Vous pouvez également :

Acheter l'article En version numérique
Acheter le numéro À l'unité

Thèmes abordés

Sur le même sujet

Parodontologie

Article réservé à nos abonnés De la muco-esthétique à la muco qui sauve les dents

Le concept PASS au cœur de l’innovation parodontale La chirurgie plastique parodontale a connu une évolution notable, alliant avancées cliniques et technologiques...
Parodontologie

Article réservé à nos abonnés Séance SFPIO – Quelles sont les bonnes pratiques en parodontologie en 2024 ?

Responsable scientifique : Caroline Fouque Intervenants : Damien FEUILLET, Hélène RANGé, Nicolas BLANC-SYLVESTRE La parodontologie au croisement des disciplines Toutes sévérités confondues, les...