L’amputation corono-radiculaire, une alternative toujours d’actualité à la solution implantaire

  • Par
  • Publié le . Paru dans Stratégie Prothétique n°1 - 15 février 2022 (page 14-24)

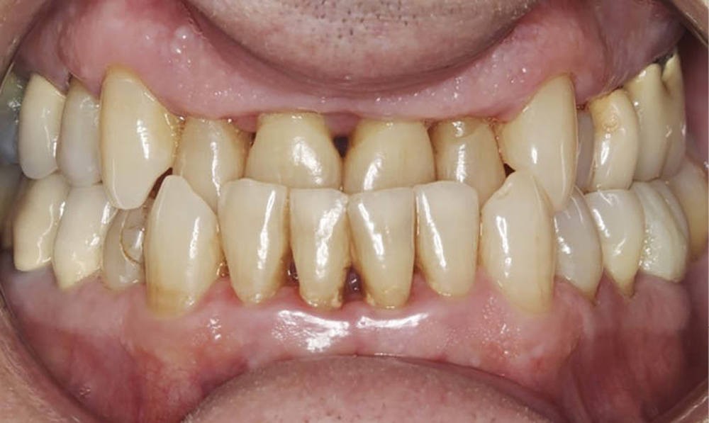
1. Photographies endo-buccales initiales en occlusion d’intercuspidation maximale. a. Vue frontale.

Information dentaire
– Quels sont les critères de choix guidant le praticien vers une amputation radiculaire ?
– Quelles étapes chirurgicales et prothétiques réaliser pour parvenir au résultat escompté ?
– Comment optimiser la maintenance parodontale dans cette situation ?

La progression de la parodontite au niveau des dents postérieures peut affecter l’espace interradiculaire avec l’apparition de lésions osseuses verticales et horizontales conduisant à la formation de poches parodontales profondes, en particulier entre les racines disto-vestibulaires des premières molaires et mésio-vestibulaires des deuxièmes molaires, qui sont difficiles d’accès. Les manœuvres d’hygiène sont, dès lors, plus compliquées à mettre en place. Conjointement à une accumulation accrue de plaque bactérienne peuvent se surajouter une morphologie radiculaire complexe ou atypique, d’éventuelles perles d’émail, la présence de canaux radiculaires accessoires, la longueur du tronc radiculaire, le positionnement de la furcation par rapport au tronc radiculaire et la divergence des racines, tous ces facteurs pouvant expliquer le taux plus élevé de morbidité des molaires [1].

À l’issue de la prise en charge parodontale non chirurgicale de première intention, et face à la persistance de lésions furcatoires de classe III de Hamp [2], la question de la conservation ou de l’extraction peut se poser, en prenant en compte d’une part la compliance du patient, et d’autre part la situation clinique globale. La suppression de la lésion peut être réalisée par le biais d’une amputation radiculaire, qui constitue une alternative thérapeutique intéressante à l’avulsion, à condition que l’indication soit correctement posée [3]. À l’issue de la chirurgie résectrice, la réhabilitation prothétique sur un parodonte réduit obéit à certains fondamentaux que le chirurgien-dentiste doit connaître, afin d’assurer la pérennité des organes dentaires et retarder l’échéance implantaire.

PRÉSENTATION DU CAS CLINIQUE

Anamnèse générale

Un patient âgé de 62 ans se présente en 2015 dans le cadre d’un bilan bucco-dentaire, dans le service d’odontologie du CHU de Toulouse. Au niveau général, ce dernier…

Cet article est réservé aux abonnés.
Pour lire la suite :

Vous êtes abonné.e ? Connectez-vous
Mot de passe
oublié ?

Vous pouvez également :

Acheter l'article En version numérique
Acheter le numéro À l'unité

Thèmes abordés