Le bridge collé cantilever postérieur en céramique

  • Par
  • Publié le . Paru dans L'Information Dentaire n°31 - 20 septembre 2023 (page 16-26)
Information dentaire
Pourquoi un rapport de cas ? Le développement de la médecine et de la dentisterie modernes est caractérisé par une exigence de preuves scientifiques, qui prennent la forme d’études contrôlées randomisées permettant d’aboutir à des guidelines pour le patient « moyen », typique. Notons toutefois que dans l’Evidence Based Medicine ou Evidence Based Dentistry, la preuve scientifique, même si elle est importante, n’est qu’un des quatre éléments de la décision, les préférences du praticien, les circonstances cliniques et les préférences du patient comptant pour une large part [1]. Cela va d’ailleurs dans le sens d’une médecine personnalisée qui part de l’hypothèse que chaque individu est unique [2]. En effet, dans le monde des cabinets réels, nous sommes confrontés à de vrais individus malades avec des particularités qui ne permettent pas toujours d’appliquer les traitements validés. C’est ici que les rapports de cas (étude n = 1) ont leur intérêt et nous aident [3]. Notons que de nombreuses observations originales, la reconnaissance de nouvelles maladies, de nouvelles méthodes diagnostiques et thérapeutiques, des formes inhabituelles de maladies courantes et des complications ont d’abord été publiées comme rapports de cas [4]. Ces derniers sont ainsi devenus une norme et une partie indispensable de la littérature médicale [5], avec d’ailleurs un nombre croissant de revues dédiées [6]. Pour améliorer la qualité de ces rapports et la cohérence de leurs données cliniques, les lignes directrices CARE ont été introduites en 2013 [7]. Celles-ci ont été élaborées au moyen d’une approche consensuelle impliquant 27 participants et aboutissant à une liste de contrôle en 13 points pour la déclaration des cas cliniques.

Résumé

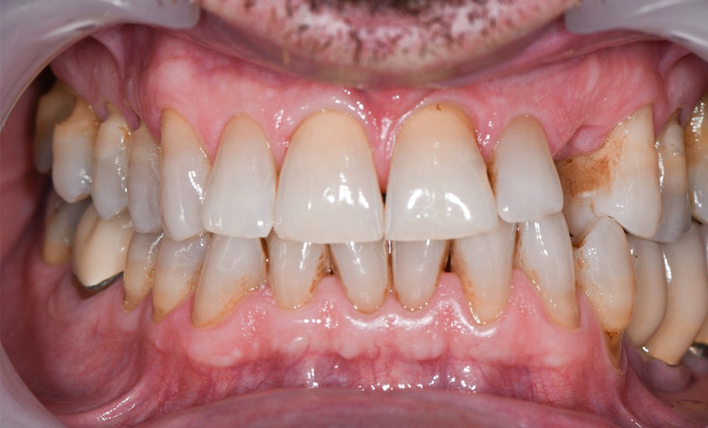
Ce rapport de cas pose la question des possibilités et des limites des bridges collés cantilevers postérieurs en céramique sur un patient présentant un double édentement (23 et 26) avec une contre-indication à l’implantologie. Le principal enseignement de ce cas est qu’il est possible, malgré des facteurs défavorables sur le plan parodontal, de remplacer 2 dents aussi stratégiques que la canine et la première molaire au sein du même quadrant avec des simples collages. Le résultat obtenu, après 3 ans et demi de recul, répond aux impératifs biologique, fonctionnel, mécanique et esthétique.

C’est dans cet esprit et avec cette formalisation [8] en 13 points que nous présentons ce 4e volet de notre série d’articles sur les bridges collés cantilevers postérieurs en céramique. L’objectif est de continuer à contribuer à mieux faire connaître cette nouvelle thérapeutique qui est incontournable, en particulier dans ce cas clinique.

Introduction

Un patient de 54 ans, est adressé par son dentiste en raison de la perte récente de 63 avec une 23 incluse. Il recherche une alternative à l’implantologie en raison d’une contre-indication liée à sa prothèse valvulaire [9]. Bien que cette contre-indication médicale ne soit plus absolue [10], l’inclusion de la canine permanente renforce la contre-indication clinique.

En dehors de l’implantologie, trois options s’offrent à nous : le bridge traditionnel qui semble trop invasif, même s’il n’est pas considéré comme obsolète [11, 12], le bridge collé sur inlays [13] et, plus récemment, le bridge collé cantilever postérieur en céramique.

Le bridge collé sur inlay est moins invasif comparativement au bridge traditionnel périphérique, mais d’une part il ne se prête pas très bien à la préparation d’un inlay sur une latérale, et d’autre part il présente de nombreuses complications [14] (décollement partiel, fracture de l’infrastructure ou chipping…

Cet article est réservé aux abonnés.
Pour lire la suite :

Vous êtes abonné.e ? Connectez-vous
Mot de passe
oublié ?

Vous pouvez également :

Acheter l'article En version numérique
Acheter le numéro À l'unité

Thèmes abordés

Sur le même sujet

Implantologie

Article réservé à nos abonnés Vertiprep versus congé et épaulement

Responsable scientifique : Anne Longuet Intervenant : Hugues De Belenet Photos et schémas : © Hugues de Belenet Il n’est plus nécessaire,...
Implantologie

Article réservé à nos abonnés Déposer un implant : quand et comment ?

Responsable scientifique : Karim Dada Conférencier : Léon Pariente Bien que les taux de survie des thérapeutiques implantaires soient élevés, équivalents à...
Implantologie

Article réservé à nos abonnés L’approche immédiate unitaire : toujours d’actualité ?

Responsable scientifique : Gary Finelle Intervenant : Joseph Kan L’approche implantaire immédiate du secteur antérieur est parfois appréhendée comme une indication thérapeutique...