Le bruxisme : actualités pratiques

  • Par
  • Publié le . Paru dans L'Information Dentaire (page 24-30)
Information dentaire
De nos jours, le bruxisme s’apparente encore à une nébuleuse, tant par ses étiologies, ses conséquences, que ses moyens de prise en charge. Par méconnaissance, par peur des difficultés éventuelles, nombre de praticiens se sentent incapables de « soigner » les patients bruxeurs. Même si le sentiment général est la crainte de l’échec, la résignation n’est pas de mise.

L’objectif de cet article est d’accompagner les praticiens dans le diagnostic du bruxisme et les premiers pas de la prise en charge ciblant diverses étiologies. Pour cela, il faut être informé, convaincu et à l’écoute des patients afin de les influencer par le discours tenu.
 

Bruxisme : fonction, parafonction, pathofonction ?

La définition du bruxisme a beaucoup évolué en cinquante ans. En 1966, Ramfjord et Ash [1] assimilent le bruxisme à « un grincement des dents sans but fonctionnel ». La définition actuelle décrit le bruxisme comme « une parafonction orale caractérisée par des affrontements
occlusaux résultant d’activités motrices manducatrices non nutritives, répétitives, involontaires, le plus souvent inconscientes. On distingue des formes d’éveil ou de sommeil, des types de bruxisme avec serrement, balancement, grincement, tapotements des dents » [2].
 
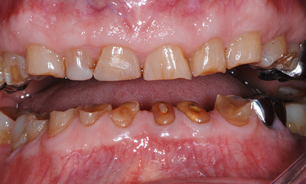
Parallèlement au bruxisme primaire (idiopathique, c’est-à-dire créé par l’organisme lui-même), il existe une forme de bruxisme dite secondaire associée à une maladie neurologique ou psychiatrique, à des drogues ou des médicaments. La forme secondaire est caractérisée par des grincements d’éveil, contrairement à la forme primaire où ils sont absents alors que le serrement d’éveil est fréquent (fig. 1).
Bon nombre de praticiens considèrent le bruxisme uniquement au travers de l’effet inesthétique des attritions antérieures et du risque pour les thérapeutiques restauratrices ou prothétiques envisagées. Or, il existe un continuum permanent entre physiologie et pathologie. Outre les fonctions essentielles de mastication, ventilation et maintien de la posture, une autre fonction essentielle est à prendre en compte. Il s’agit de la fonction de décharge du stress par les parafonctions orales, en particulier par le biais du grincement et/ou du serrement des dents.
 
Certains auteurs ont montré que le bruxisme offre un exutoire de stress à l’organisme…

Cet article est réservé aux abonnés.
Pour lire la suite :

Vous êtes abonné.e ? Connectez-vous
Mot de passe
oublié ?

Vous pouvez également :

Acheter l'article En version numérique

Thèmes abordés