De l’obturation canalaire à la restauration coronaire
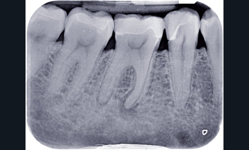
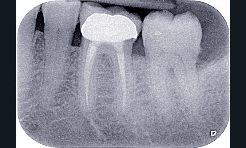
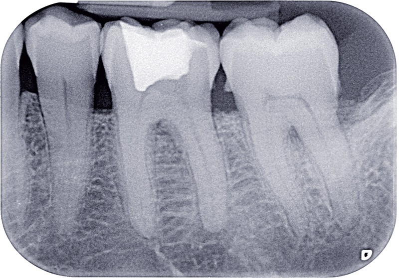
La dentisterie contemporaine privilégie les modes de restauration conservateurs avec pour objectif de préserver la vitalité pulpaire. Cependant, des échecs peuvent survenir du fait de nouvelles agressions et ce, malgré la qualité des procédures opératoires mises en œuvre (fig. 1).
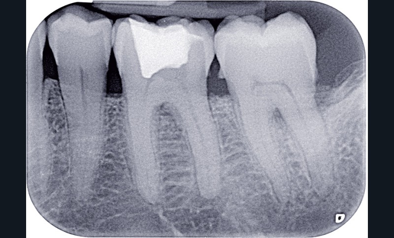
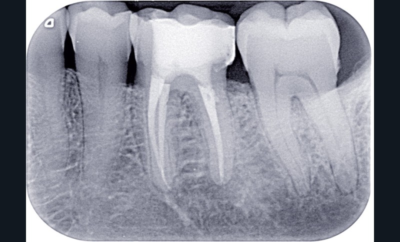
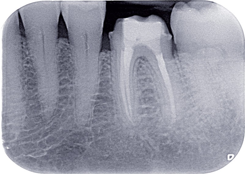
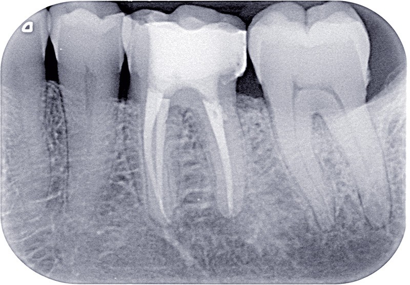
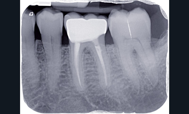
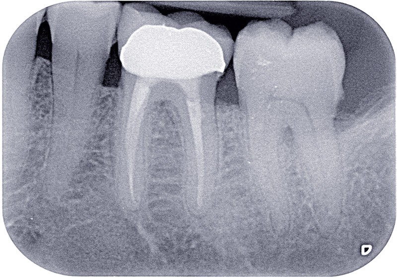
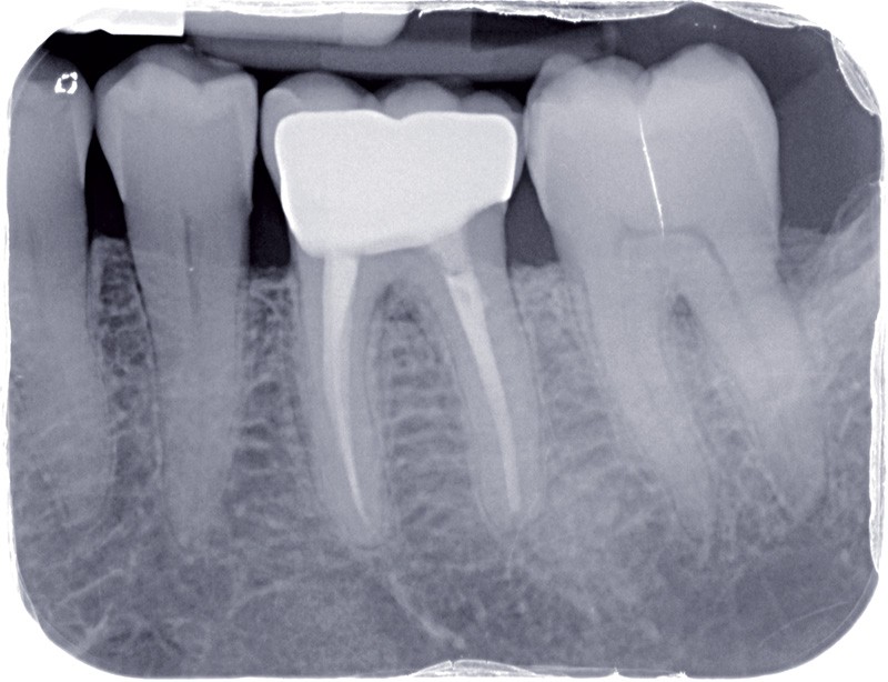
Dans ces situations, le praticien est conduit à dépulper et à restaurer les dents traitées endodontiquement. Les traitements doivent alors s’inscrire dans le concept du continuum endo-restaurateur qui a été défini comme étant « le processus spatio-temporel sans interruption ni rupture qui débute par l’accès à l’endodonte et s’achève avec la mise en place de la restauration prothétique d’usage » (1). Il existe bien une continuité, du traitement endodontique à la restauration fonctionnelle d’usage qui conditionne le pronostic et les résultats du traitement à long terme (fig. 2).
L’objectif de cet article est de synthétiser les données actuelles sur les méthodes d’obturation canalaire associées aux procédures de restauration possibles en pratique quotidienne et permettant de garantir des résultats thérapeutiques reproductibles et durables.
L’OBTURATION CANALAIRE
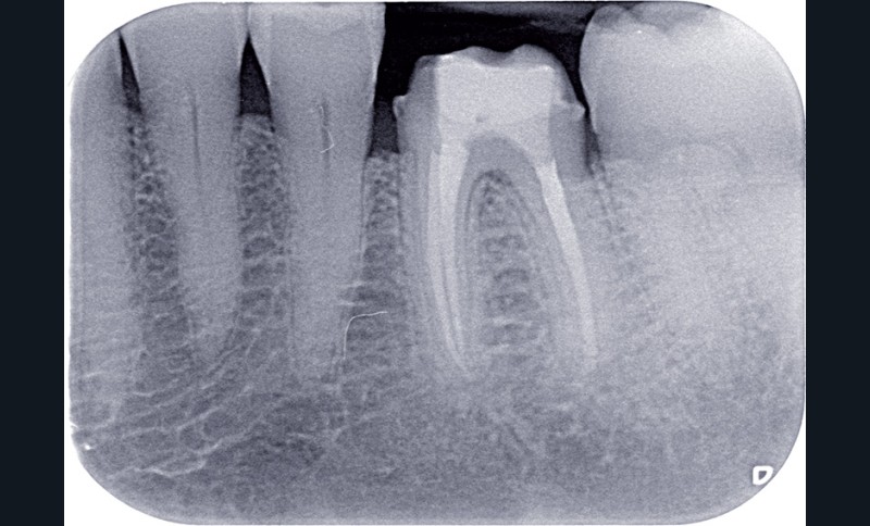
L’obturation tridimensionnelle canalaire permet de maintenir l’état de désinfection obtenu lors de la préparation chimiomécanique. C’est l’obturation complète de l’ensemble du réseau canalaire, aussi près que possible de la jonction cémentodentinaire. Elle fait partie intégrante de la triade endodontique dont les deux autres composantes sont la mise en forme et l’irrigation. Le praticien est amené à se poser la question suivante : quelle technique d’obturation choisir ? La vraie problématique réside dans la mise en forme. En effet, un canal mal mis en forme sera mal nettoyé et par conséquent mal obturé. Ainsi, les différents…





