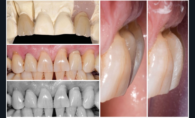
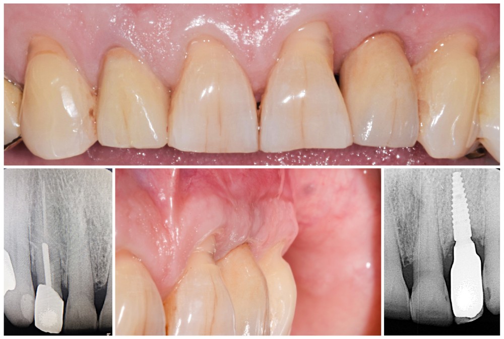
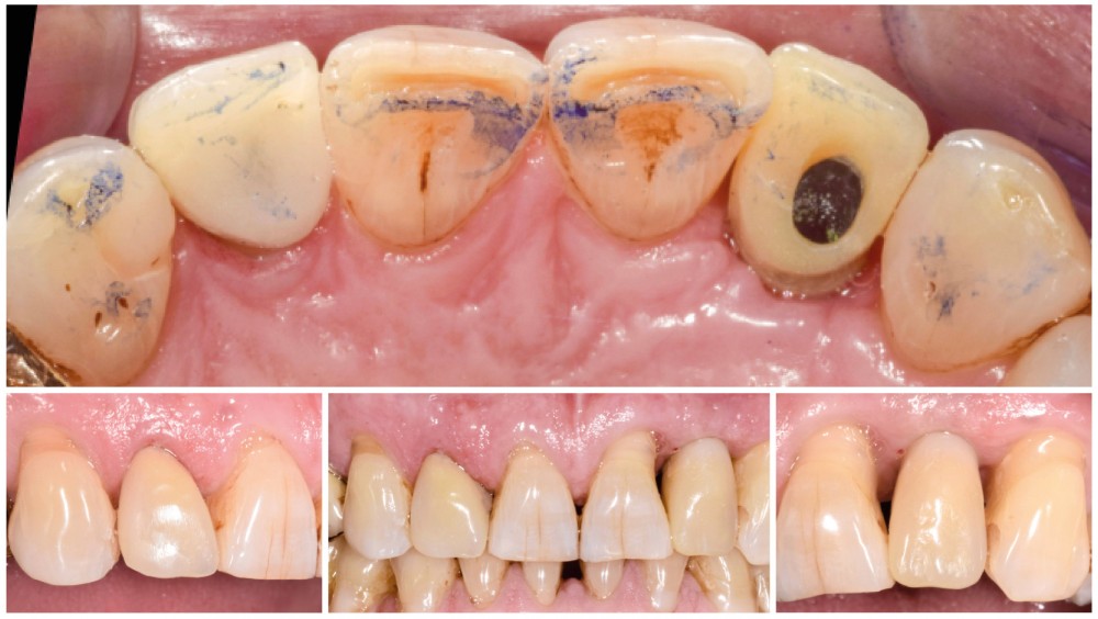
Situation initiale
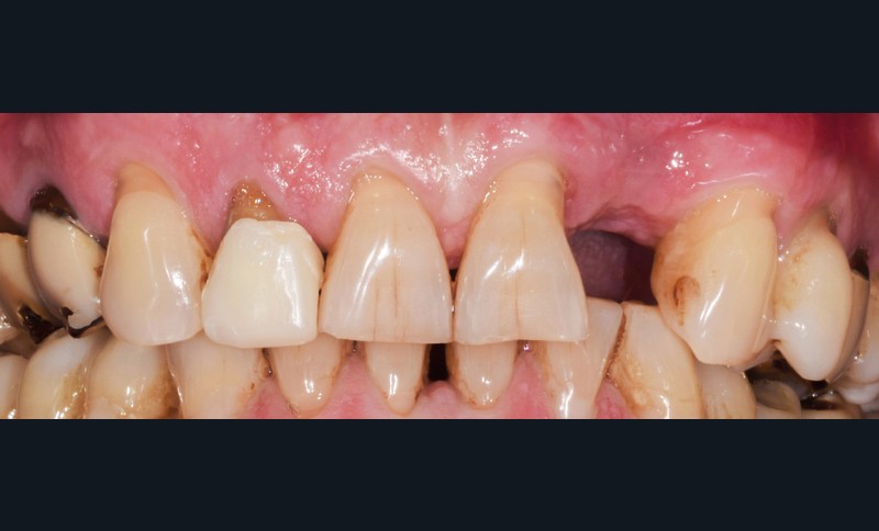
Un patient de 62 ans se présente en consultation afin de réaliser les coiffes prothétiques des dents 12 et 22. La 12 présente une restauration par prothèse transitoire non adaptée. Un implant au niveau de la 22 a été posé par un autre praticien selon une technique chirurgicale en deux temps. Le praticien a adressé le patient pour la réalisation prothétique. L’option de bridge collé cantilever mono ailette n’avait pas été retenue ou proposée selon une technique chirurgicale en deux temps. Le patient souhaite rétablir l’esthétique et la fonction de ces deux dents uniquement.
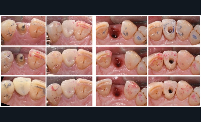
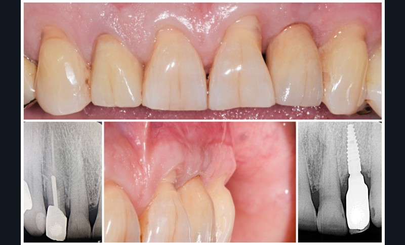
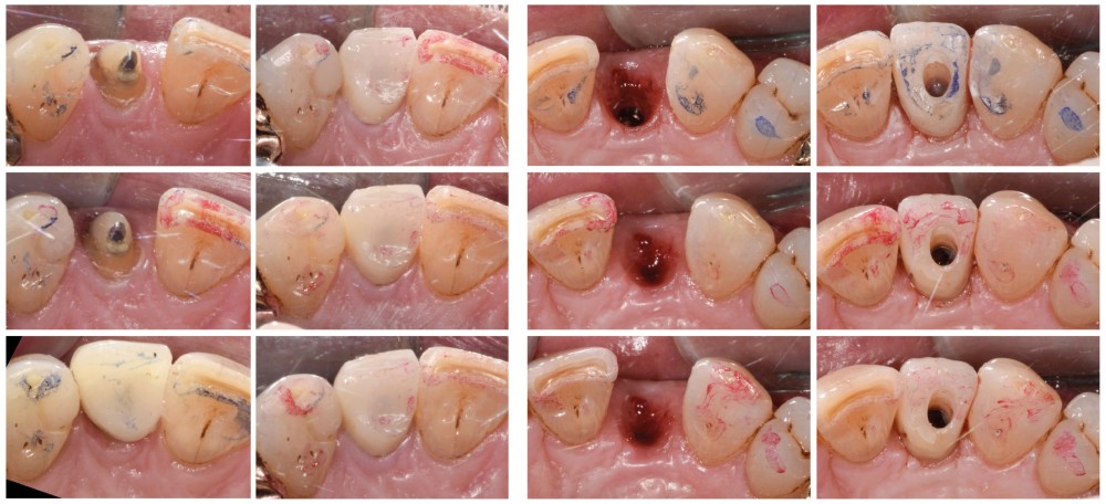
Traitement
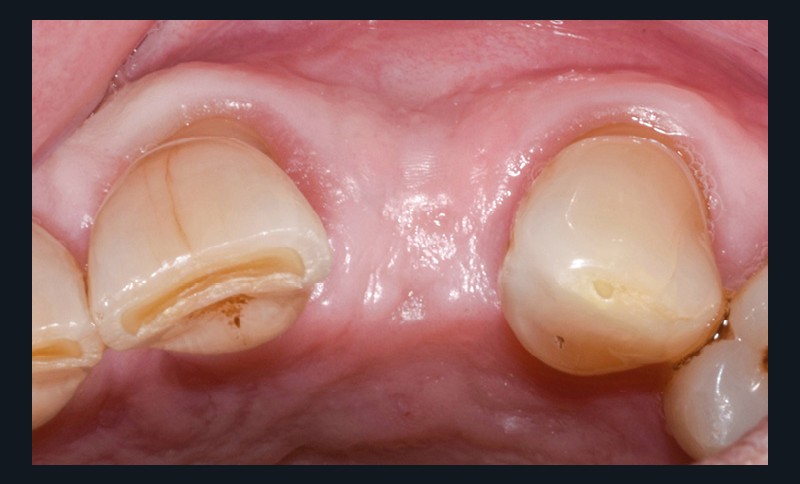
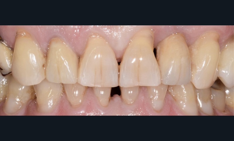
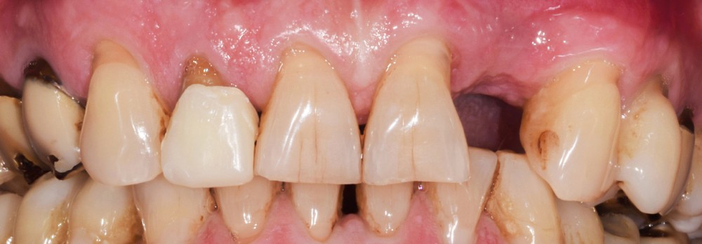
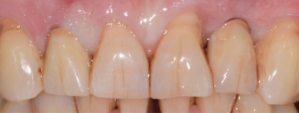
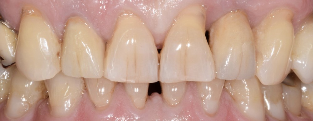
Au vu des conditions initiales, il nous apparaît impossible de restaurer une esthétique satisfaisante, notamment au niveau de l’alignement des collets, sans une chirurgie muco-gingivale associée à une réhabilitation des dents antérieures par facettes. En effet, la perte de la 22, associée à une forme triangulaire des dents, a provoqué un non-alignement des collets ainsi que la présence de trous noirs entre les dents 21-22 et 22-23. Cependant, les contraintes exprimées par le patient contre-indiquaient ce traitement.
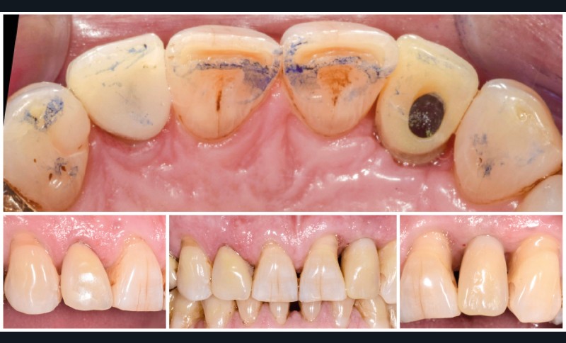
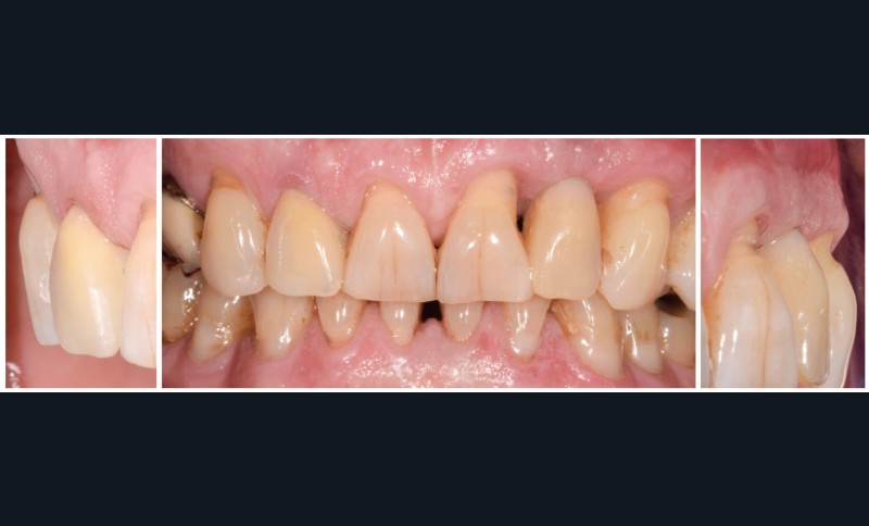
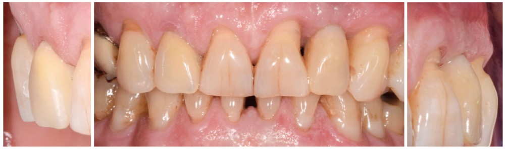
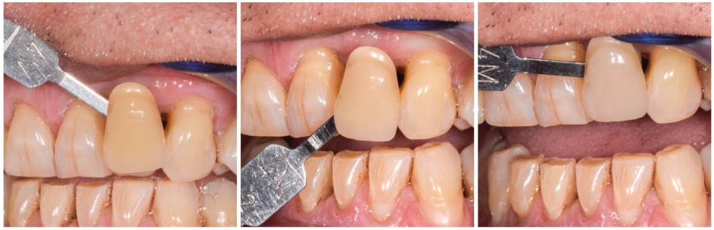
La proposition thérapeutique retenue par le patient est donc une réhabilitation par couronne céramique sur 12 (dento-portée) et 22 (implanto-portée). Ce choix thérapeutique impose de concevoir des dents qui s’intègrent au mieux dans l’harmonie du sourire, tout en étant conscient des limites d’un tel traitement.
















