Cet article a pour objectif de mettre en avant le traitement d’un patient aux agénésies multiples à l’aide d’outils numériques afin d’optimiser sa prise en charge. Quelle que soit l’étiologie de l’agénésie multiple, appréhender ce type de traitement peut souvent être source d’inquiétudes pour les praticiens. Il est difficile de donner un cap et de proposer au patient une simulation du résultat que nous souhaiterions obtenir tout en prenant en compte sa faisabilité.
L’apport du flux numérique nous a permis dans ce cas présent et dans un premier temps de réfléchir collégialement à une simulation de résultat envisageable, puis, dans un second temps, de la proposer au patient afin d’avoir sa validation. Nous présentons les différents aspects de notre réflexion au cours de cet article.
PHASE D’ORTHODONTIE
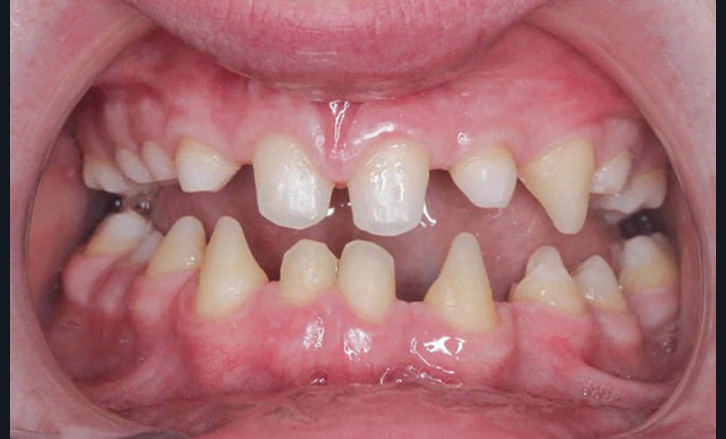
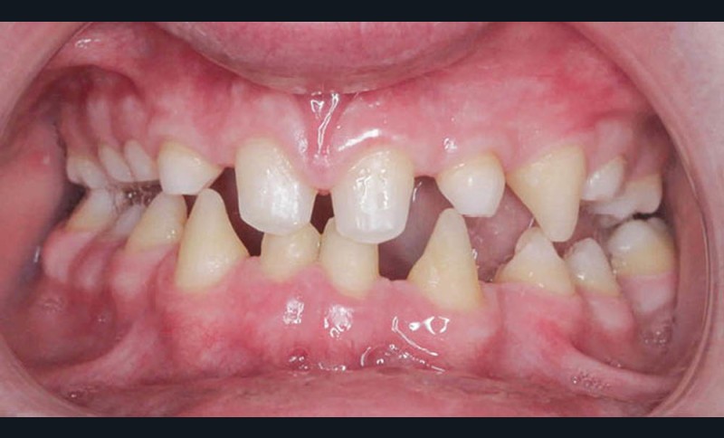
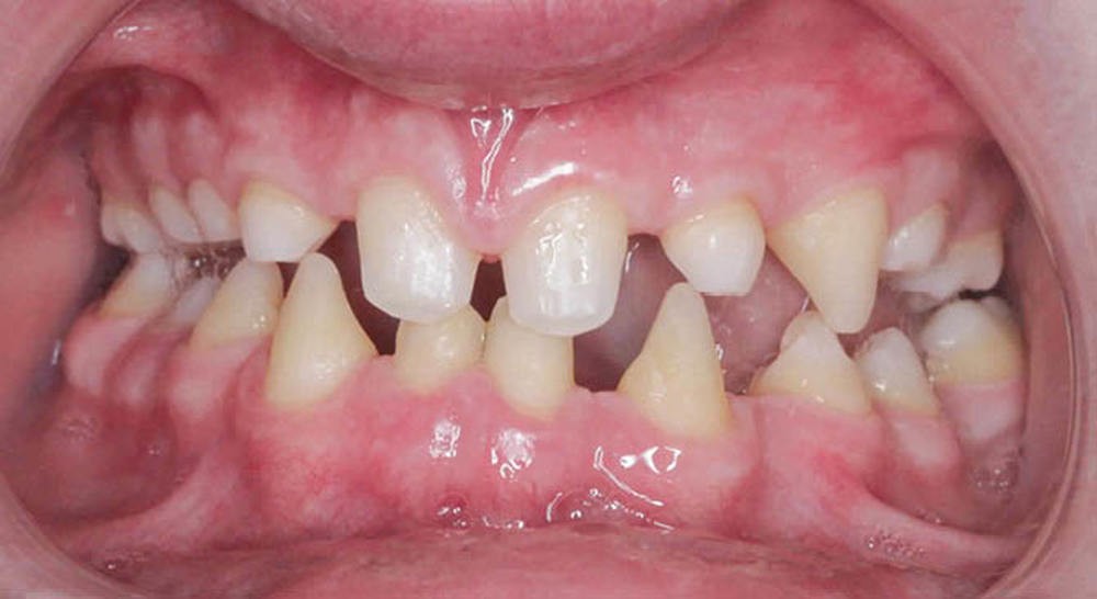
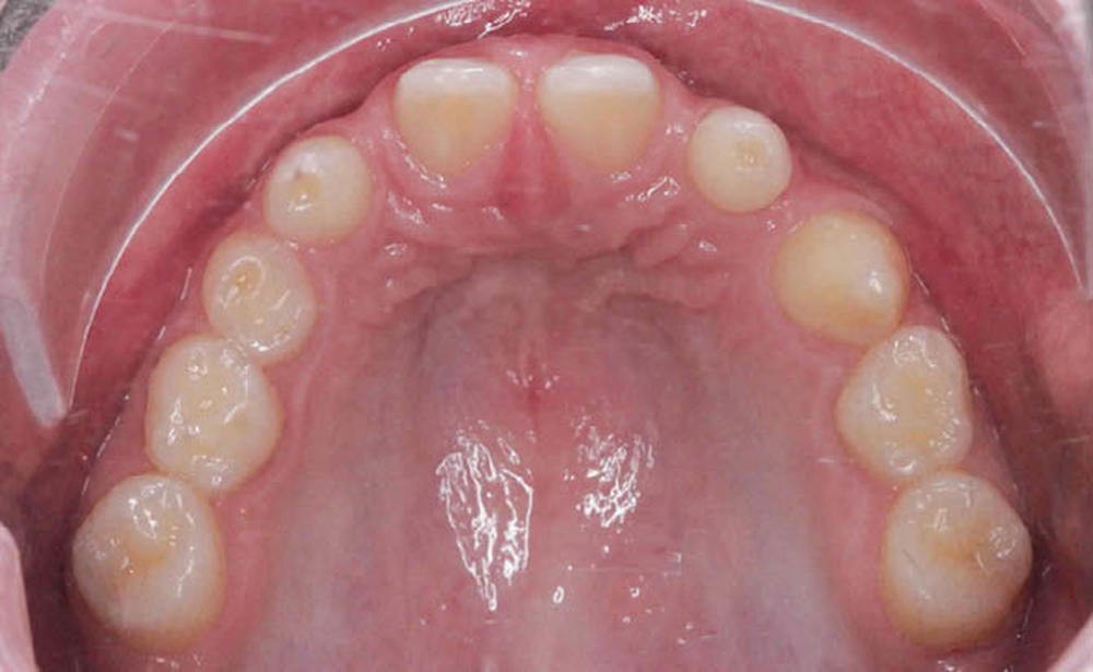
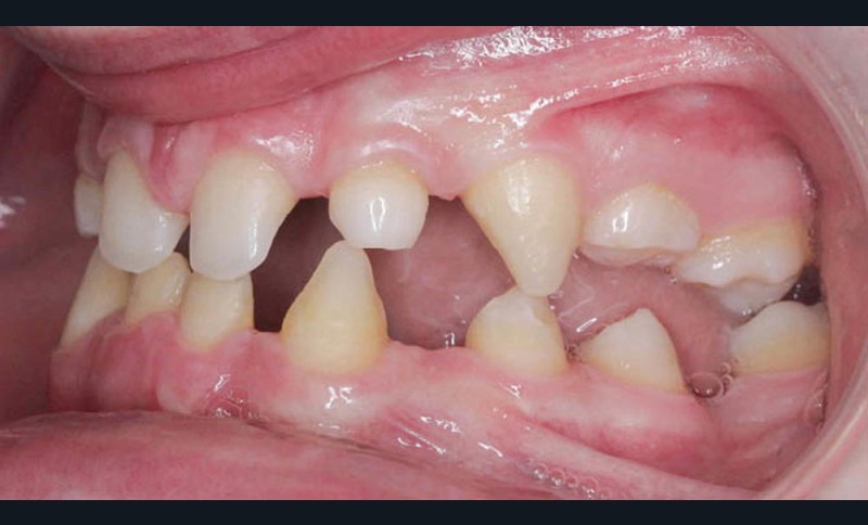
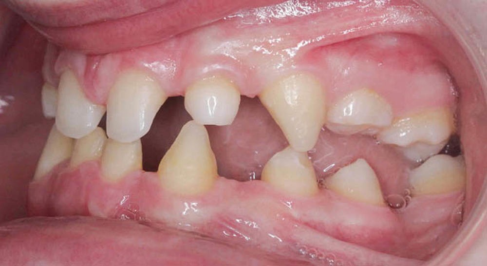
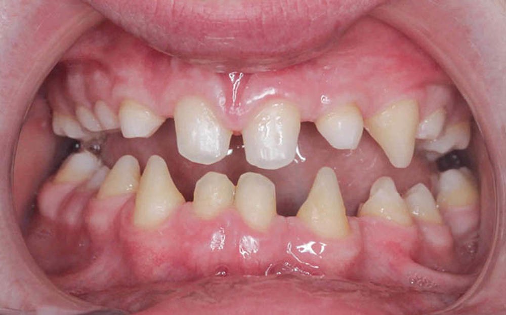
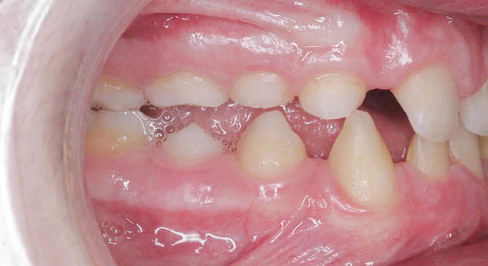
Lorsqu’il consulte l’orthodontiste, le patient est âgé de 15 ans et, malgré de nombreuses consultations auprès de plusieurs praticiens, il reste sans solution satisfaisante pour le prendre en charge. Sa principale doléance est esthétique : il souhaite « avoir un sourire comme tous les ados de son âge ».
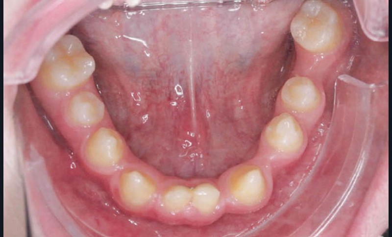
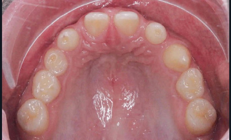
L’orthodontiste réalise des photos ainsi qu’un bilan radiologique complet et le communique au laboratoire (fig.1 a, b).
|
Mesure |
Norme à 15 ans 10 |
02/10/2021 |
||
|
SNA |
82.0° |
±2.0 |
71.2 |
-8.8 |
|
SNB |
80.0° |
±2.0 |
73.6 |
-4.4 |
|
ANB |
2.0° |
±1.0 |
-2.3 |
-3.3 |
|
SL |
51.0 mm |
±3.0 |
46.6 |
-1.4 |
|
GoGn to SN |
32.0° |
±2.0 |
27.8 |
-2.2 |
|
I to NA mm |
4.0 mm |
±1.0 |
3.4 |
– |
|
I to NB mm |
4.0 mm |
±1.0 |
-1.2 |
-4.2 |
|
Pog to NB |
– |
– |
7.5 |
– |
|
Pog to i-NB |
– |
– |
-8.7 |
– |
|
I to NA ° |
22.0° |
±2.0 |
25.2 |
|








