Les objectifs de l’endodontie sont parfaitement définis, qu’il s’agisse de l’élimination des tissus organiques, ou l’éradication de la flore bactérienne du système endodontique. L’atteinte de ces objectifs repose sur l’efficacité de l’instrumentation et de l’irrigation de nos procédures endodontiques.
Longtemps décrié et controversé, le laser occupe progressivement une place en endodontie. De nombreuses confusions, relatives aux longueurs d’onde, aux propriétés antibactériennes, aux variations de température et aux éventuels effets pénétrants, expliquent ce retard.
Le bon pronostic à long terme de nos traitements sera augmenté, à condition qu’une obturation complète de l’endodonte et de la région coronaire empêche les bactéries de recoloniser la cavité pulpaire.
L’utilisation du scanner, et maintenant du CBCT, bouleverse l’idée très radiographique que nous avions du système canalaire.
En effet, la culture endodontique, fondée sur les critères radiographiques, a fait oublier les études de Hess et Zurcher (1925) qui mettent en évidence la complexité du système endo-canalaire [1]. Ce système présente une cavité principale (par exemple, le canal principal) ainsi que des canaux accessoires/latéraux. 25 % de ces microcanaux peuvent être interconnectés les uns aux autres, avec une densité plus importante de ramifications dans la région apicale du canal principal [2].
Un système d’irrigation performant devient alors indispensable, et le laser Erbium:YAG permet de répondre aux exigences de ce « nettoyage » du réseau canalaire.
L’exacerbation de la dynamique d’irrigation va permettre de véhiculer l’irrigant jusqu’au foramen, optimisant son action antibactérienne et lytique, aussi bien dans le canal principal que dans les réseaux annexes.
Nos préparations « laser assisté » vont bouleverser nos principes de « surpréparation » trop souvent ancrés et répondre aux critères d’économie tissulaire. En effet, point n’est besoin, alors, de surinstrumenter un canal pour en assurer le nettoyage et son obturation.
Il est nécessaire de préciser que la mise en forme du canal ne peut être réalisée sans l’utilisation d’instruments endodontiques conventionnels. L’utilisation d’un laser seul en mode ablatif ne peut que provoquer des épaulements, voire des perforations dans les canaux courbes.
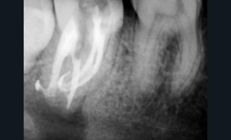
Le laser Erbium s’insère donc parfaitement dans nos principes actuels de traitements mini-invasifs comme activateur de nos solutions d’irrigation (fig. 1a à c).
Les différentes longueurs d’onde utilisées en endodontie
Les différentes longueurs d’onde utilisées en endodontie ont été choisies en fonction de leur pénétration et de leur absorption dans les principaux tissus.
Les principaux lasers utilisés en endodontie possèdent des longueurs d’onde situées dans les infrarouges : le Diode, le Néodyme-YAG, le Néodyme-YAG, l’Erbium Chromium-YSGG et le laser Erbium-YAG.
Le laser dans le nettoyage et la désinfection a connu deux ères. La première consistait en l’irradiation directe des parois canalaires (Nd:YAG, Nd:YAP, Er:YAG, Er,Cr:YSGG…) sans spray d’eau. La composante ablative de l’Erbium-YAG, bien qu’efficace au sein des tissus minéralisés, nous contraignait à prendre des précautions lors de son utilisation sur l’émail, afin de ne pas léser la dentine sous-jacente. La seconde ère est née courant de 2007, avec l’introduction des lasers Erbium comme moyens d’activation des solutions d’irrigations, afin de provoquer des dynamiques et mouvements de fluides par son effet de cavitation.
Le laser Diode
Le laser Diode a été introduit en endodontie à la fin des années 1980, initialement pour le traitement de l’hypersensibilité dentinaire et la biostimulation de la réponse inflammatoire au cours du traitement vital de la pulpe ainsi que dans le traitement des lésions endodontiques.
Les longueurs d’onde des lasers Diode se déclinent en deux classes : l’une basse, de 635 à 675 nm, est utilisée principalement en thérapie photodynamique et biostimulation ; l’autre, de forte puissance (entre 810-1 064 nm), est indiquée en endodontie pour ses capacités antibactériennes.
Les lasers Diode ont un pouvoir de vaporisation, de coagulation et de décontamination. La longueur d’onde se situe entre 810 et 1 064 nm.
Toutefois, HIBST (2010) montre que l’effet antibactérien en endodontie serait identique à celui de l’eau chaude, soit par simple élévation de température [3]. Ces effets thermiques irréversibles à l’origine de changements morphologiques au sein des tissus [4] sembleraient être en faveur de l’apparition de cracks, de phénomène de recristallisation, de fusion superficielle de la dentine avec des résidus de boue dentinaire persistants [5,6], ce qui affaiblit ses indications en endodontie.
Son effet pénétrant peut également être discuté. S’il n’est probablement pas dangereux en endodontie, son utilisation peut s’avérer délicate en chirurgie endodontique. Les études restent vagues concernant ces effets, et nous obligent à une certaine prudence.
Le laser Néodyme-YAG
Utilisé en dentisterie, il permet l’incision, la vaporisation et la coagulation des tissus mous.
Son émission se situe à (1 064 nm).
La puissance et l’énergie fournies produisent un effet photo thermique, mais peu d’effet photo ablatif sur la dentine.
L’énergie émise est principalement dispersée dans les tissus cibles sous forme d’énergie thermique, et peut créer des dommages tissulaires. Plusieurs études ont mis en avant le manque d’efficacité du laser Nd:YAG dans l’élimination de la boue dentinaire comparé à l’utilisation d’irrigants tels que l’hypochlorite de sodium [7], et un effet antibactérien très faible [8].
Le laser Néodyme-YAP
Les propriétés de ce laser sont très proches du Nd: AG. Sa longueur d’onde est de 1 340 nm. Il donne une meilleure action antibactérienne lorsqu’il est comparé aux différentes techniques d’irrigation conventionnelles seringues, ultrasonores et sonores [9]. Mais son action antibactérienne, comparée aux autres longueurs d’onde, n’est pas scientifiquement prouvée, compte tenu du faible nombre d’investigations scientifiques publiées.
Le laser Erbium Chromium-YSGG
Le laser Er, Cr:YSGG (2 780 nm) était utilisé en dentisterie restauratrice, et permettait la restauration des cavités.
Ce laser est fortement absorbé par l’eau. La photo ablation se produit lorsque l’eau s’évapore instantanément et provoque l’effet ablatif des tissus [10].
Hossain, en 1999, et Yu, en 2000, montrent de manière significative son action sur la dentine et l’émail [11,12]. Ses effets sont proches de l’Er:YAG, mais montrent d’avantage d’effets thermiques, par une absorption légèrement plus faible dans l’eau [13].
Le laser Er:YAG : généralités appliquées à l’endodontie
Le laser Er:YAG est classé comme le Er,Cr:YSGG dans les médiums infrarouges ; son émission est à 2 780 nm.
Il a une absorption plus élevée pour l’eau, qui lui confère un effet physique plus superficiel. Lorsque 98 % de l’énergie est absorbée, on peut affirmer que les dommages thermiques sont moindres.
Le principal objectif du traitement endodontique réside en l’élimination la plus complète possible de la colonisation bactérienne du système canalaire. Moritz et al. ont mesuré une éradication presque complète, de l’ordre de 99.64 % de E. coli ainsi que E. faecalis lors de l’utilisation du laser Er:YAG [14].
Afin de réduire le quotient bactérien, le laser peut être utilisé concomitamment à l’instrumentation canalaire. Les bactéries, ainsi que les produits de la mise en forme canalaire (débris de tissus minéralisés, résidus pulpaires et nécrotiques), sont alors mis en suspension et un effet de « wash out » (dynamique des fluides) permet de nettoyer le système canalaire.
Classiquement, il était admis une séquestration des bactéries résiduelles dans les tubulis dentinaires, dans les isthmes et réseaux canalaires inaccessibles à notre instrumentation mécanique [15]. Toutefois, ces bactéries seraient à l’origine de nombreux échecs endodontiques [16,17].
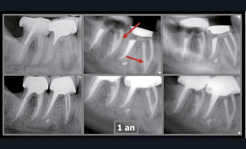
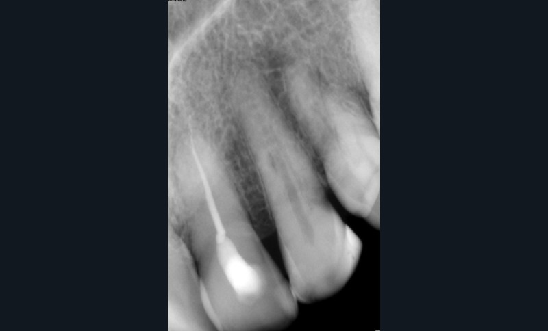
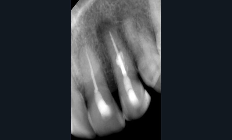
Rebondissant sur l’imagerie 3D et la mise en évidence des anatomies canalaires complexes, Peters, en 2001, décrit l’insuffisance instrumentale dans le traitement endodontique, et montre que 35 % des surfaces sont intactes après préparation canalaire correctement menée [18].
Endal, en 2011, montrait également, en utilisant le micro CT Scanner, l’insuffisance de nettoyage des isthmes inter-canalaires à nos techniques conventionnelles [19]. L’utilisation du laser Er:YAG devenait alors incontournable dans le nettoyage de ces isthmes et des zones non instrumentées (fig. 2 et 3).
Cette pénétration s’étend de la chambre pulpaire au réseau canalaire, isthmes, deltas apicaux et tubulis dentinaires. Il a été démontré que l’effet de cavitation pourrait permettre la destruction des bactéries à des profondeurs de 300 à 400 µm au sein des surfaces irradiées [20].
La pénétration intratubulaire des bactéries s’étend jusqu’à 1 250 microns [21] et l’E. faecalis jusqu’à 800 microns [22].
Berruti, en 1997, a montré que la profondeur de pénétration de l’hypochlorite de sodium n’était que de 100 microns [23]. Zou, lui, a montré que l’augmentation de sa concentration et de sa température améliorait sa pénétration [24]. Néanmoins, ceci ne fait qu’accroître l’effet délétère sur les parois canalaires de l’hypochlorite ainsi chauffée.
Les études concernant le PIPS et son utilisation ont ouvert les champs d’application de l’Er:YAG [25] et ont permis de comprendre ses possibilités étendues en endodontie. Les principes ont pu être développés et modifiés en fonction des recherches mises en œuvre et de l’évolution du concept.
Le tip, dérivé du XPulse LightWalker (Fotona), est en quartz, avec une zone dénudée au niveau de son extrémité apicale conique. Il est utilisé dans le canal en mode subablatif (moins de 100 mJ) avec des pulses de 50 à 100 microsecondes. Cette dynamique des fluides est générée par un pulse de 50 mircosecondes à faible énergie (10 ou 20 mJ) qui induit la formation de bulles à haut potentiel d’implosion, à l’origine du courant hydraulique.
Dans la technique PIPS originelle, il était activé à l’intérieur du canal, à quelques millimètres de la sortie foraminale. Actuellement, les auteurs recommandent son utilisation à l’entrée canalaire, et même dans la chambre pulpaire, pour permettre une meilleure dynamique des fluides et optimiser le nettoyage, en accord avec les utilisateurs du LightTouch (Syneron) qui possède un tip en saphir dont l’extrémité est plate.
Il est à souligner qu’avec cette approche, et dans le respect du protocole, nous n’avons pas de risque d’extrusion.
L’anatomie complexe du système canalaire et la pénétration difficile des irrigants [26] limitent la capacité de nettoyer, débrider, et désinfecter en trois dimensions le réseau endodontique.
Les lasers Erbium représentent la technologie de pointe pour l’activation des irrigations en endodontie.
L’un des problèmes majeurs en endodontie reste les contraintes inhérentes à la dynamique des fluides, dans un espace canalaire confiné [27]. Ce phénomène physique empêche, en l’absence de turbulence, l’irrigant d’être véhiculé dans la zone apicale [28] et dans les zones non instrumentées et d’exercer son action solvante et antibactérienne.
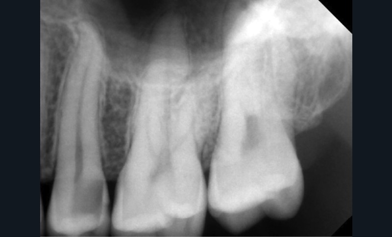
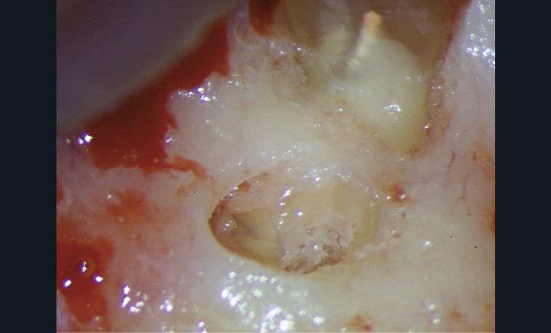
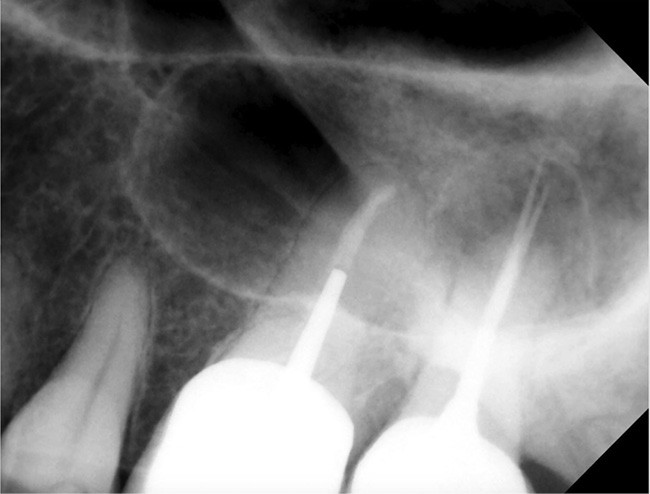
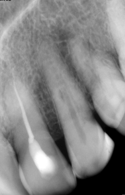
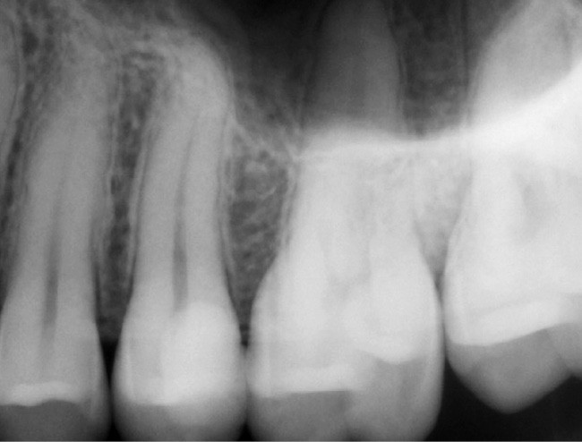
Si l’étude de Peters [18] nous montre que l’instrumentation laisse 35 % du volume canalaire non instrumenté, Ricucci et Siqueira montrent que la préparation physico-chimique n’élimine que partiellement les tissus nécrotiques à l’entrée des canaux latéraux, des isthmes et des ramifications apicales, en laissant des tissus enflammés et infectés, en association avec des lésions apicales [29] (fig. 4 et 5).
Fig. 4 – Coupe d’une racine mésiale de molaire mandibulaire avec deux canaux traités. Coupe à 3 mm de l’apex, coloration Brown et Brenn, technique modifiée par Taylor. Ces images montrent un isthme étroit avec une infection bactérienne, ce qui prouve l’importance de désinfecter et d’inclure l’isthme dans les traitements conventionnels et dans les rétropréparations apicales en chirurgie endodontique.
L’hypochlorite de sodium, communément utilisé comme irrigant pour ses propriétés antibactériennes et solvantes, se doit d’être véhiculé pour atteindre ces zones retranchées [30]. Le laser Erbium permettra d’activer localement cette solution, augmentant la densité énergétique au sein de la zone ciblée, et donc de la véhiculer. Cette solution activée par le laser se fera à un faible niveau d’énergie avec des pulses courts, afin de rester dans un mode subablatif, et de permettre la formation d’une onde de choc initiatrice d’un phénomène photo-acoustique. Ceci tout en évitant tout risque de dégradation des parois dentinaires, d’échauffement, et de dommages thermiques [31].
La faible efficacité pour la préparation et la mise en forme des canaux du laser Erbium requièrent une préparation canalaire mécanique.
Cet évasement canalaire a minima, dans le respect des parois canalaires, permet la progression et le renouvellement de l’irrigant dans les zones stratégiques de l’espace canalaire. Ce principe « mini-invasif » sera d’autant plus respecté par le bon choix d’instruments de préparation canalaire.
La nouvelle génération d’instruments en rotation continue, tels que le XP Shaper et le XP Finisher (FKG), s’inscrit parfaitement dans cet esprit, respectueux des parois radiculaires, tout en ayant un nettoyage optimal.
Le tip du laser reste dans la cavité d’accès, remplie d’hypochlorite de sodium, renouvelée en continu, le spray de pulvérisation de la pièce à main fermé (le principe, relativement complexe, peut être simplifié).
L’énergie du laser est absorbée par l’eau qui, à l’émission des photons, atteint le point d’ébullition de l’eau (100 °C), qui génère une expansion de la bulle dont la pression interne est inférieure à la pression externe et implose. C’est l’effet de cavitation.
L’énergie libérée va créer l’onde de choc, immédiatement relayée par une deuxième bulle, qui subit la même dynamique physique, et ainsi de suite… C’est ce « train de bulles » qui donne au laser Erbium cet effet exponentiel de cavitation.
Si l’élévation de température à la pointe du tip permet la formation d’une bulle qui implose, l’élévation de température à l’intérieur du canal, quant à elle, reste très faible (3 à 5 °C) [32], selon les auteurs, et ne présente donc aucune inquiétude quant à l’effet délétère des parois radiculaires et de la structure parodontale. La variation de température sur la face externe n’excède pas 1,5 °C, très loin de la zone critique de 43 °C qui pourrait créer des troubles parodontaux [33].
Cette très faible élévation de température est due à la forte absorption de l’erbium dans l’eau et à une très faible pénétration (1 micromètre approximativement). Les effets thermiques iatrogènes aux tissus environnants sont alors moindres, par une réduction du phénomène de dissipation de l’énergie.
Er:YAG et endodontie : des principes à la clinique
Très vite, il nous est apparu indispensable d’utiliser cet outil dans les nombreuses indications de notre sphère endodontique. Du coiffage pulpaire à la chirurgie endodontique, nous en détaillerons quelques indications majeures.
Coiffages pulpaires
L’exposition pulpaire a deux causes principales : traumatique ou carieuse.
Dans le cas d’un traumatisme récent, chez le jeune ou l’adulte, la pulpe doit être systématiquement coiffée pour conserver la vitalité pulpaire
Concernant les coiffages sur dents adultes, un bon diagnostic doit être posé pour faire le bon choix entre la conservation pulpaire totale, partielle ou le traitement endodontique [34]. Il est particulièrement indiqué chez le jeune dont les dents immatures ont une édification apicale incomplète.
Plusieurs facteurs interviennent dans le bon pronostic du coiffage pulpaire : l’élimination de l’inflammation, le contrôle de l’infection et la biocompatibilité des matériaux utilisés [35].
Le laser Er:YAG va permettre une élimination des débris en surface, une stérilisation, avec comme irrigation de l’eau stérile [36] et en coupant le spray, une hémostase avec la formation d’une couche de coagulation [37] propre à la formation d’un pont dentinaire au contact du biomatériau, qui peut être bio-actif, tel que la Biodentine (Septodont) (fig. 6a à d).
Protocole opératoire : sous anesthésie, une cavité suffisante à recevoir le biomatériau (2 à 3 mm) sous champ opératoire est réalisée. La désinfection au laser Er:YAG (40 mJ ; 20 Hz) sous spray, pendant 20 secondes, est alors mise en œuvre. S’en suit éventuellement une coagulation de 3 secondes, en coupant le spray, puis la mise en place du biomatériau Biodentine (Septodont). Il sera ensuite recouvert d’un matériau de restauration adéquate.
Régénération pulpaire
Elle est indiquée chez le jeune qui présente une nécrose, avec ou sans lésion apicale, souvent consécutive à un traumatisme.
La régénération d’un tissu conjonctif au sein du canal déshabité permettra soit la continuité d’une formation radiculaire (régénération), soit la mise en place d’un tissu osseux avec la reformation d’un espace parodontal et de son système d’attache, à l’intérieur du canal [38,39].
Quoi qu’il en soit, il est important de désinfecter le canal avant d’envisager la revascularisation : la persistance de bactéries compromet la survie du tissu conjonctif. Néanmoins, il a été démontré récemment que la contamination de la dentine canalaire par de l’hypochlorite de sodium limite, voire empêche l’adhésion cellulaire [40].
Dans le cadre de la stérilisation du canal, l’Er:YAG n’a aucun effet nocif sur les parois radiculaires et cellules apicales de par l’utilisation de l’eau distillée.
L’Er:YAG assurera également le nettoyage du canal et de la lésion éventuelle, en favorisant la formation d’un caillot apical.
La mise en place de l’OH2Ca pourra alors être faite aisément.
La deuxième séance consistera alors en l’élimination parfaite de l’OH2Ca sous irrigation avec l’Er:YAG [41] en association avec le XP Finisher [42] pour optimiser le nettoyage et la stérilisation du canal. Le XP Finisher étant par ailleurs indiqué dans la stimulation apicale et la formation d’un caillot, sans risque. Le caillot, ainsi formé, pourra être recouvert de Biodentine.
Des contrôles radiographiques permettront le contrôle du bon déroulement de la régénération.
Traitement endodontique
Comme mentionné précédemment, l’insuffisance instrumentale dans la préparation canalaire n’est plus à démontrer.
Si les isthmes sont particulièrement mis en évidence au niveau des molaires mandibulaires, cela devient médicalement important au niveau des molaires maxillaires.
La diffusion bactérienne et de leurs toxines, au niveau des molaires maxillaires est à l’origine d’un grand nombre de sinusites maxillaires chroniques, d’origine dentaire. Celles-ci sont principalement causées par l’absence de traitement du deuxième canal MV, qui existe dans 90 % des cas, et il est à noter que ces deux canaux – MV1 et MV2 – sont également reliés par un isthme.
Le nettoyage des isthmes intercanalaires reste un réel problème, et semble responsable de nombreux échecs [43]. Par ailleurs, il est nécessaire d’utiliser des instruments qui évitent de propulser les débris, tant apicalement que latéralement, en obturant les entrées isthmiques avec des débris compactés.
L’utilisation d’instruments en nickel titane, tels que le XP Shaper (FKG), le Vortex blue (Dentsply) ou le Profile (Dentsply), optimise la remontée des débris et s’inscrit dans cette nouvelle philosophie. En conséquence, la combinaison XP Shaper, XP Finisher et l’irrigation avec l’Er:YAG semblent optimiser nos traitements [44,45].
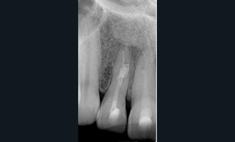
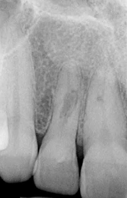
Le passage du laser est répété plusieurs fois, en début, au milieu et en fin de préparation. Un protocole peut alors être proposé : 40 mJ ; 20 Hz (fig. 7). L’utilisation de biocéramiques Bioroot (Septodont) ou Total Fill R (FKG) permet de sceller le système ainsi nettoyé, en assurant une action biologique de longue durée [46] (fig. 8a à c).
Résorptions radiculaires envahissantes
Les résorptions radiculaires correspondent à une perte de tissus durs de la dent, suite à un processus inflammatoire, puis cellulaire, de destruction tissulaire. La morphologie labyrinthique de ces destructions complique le traitement endodontique. Ce dernier sera modulé en fonction de la morphologie, de la destruction, et de sa position anatomique.
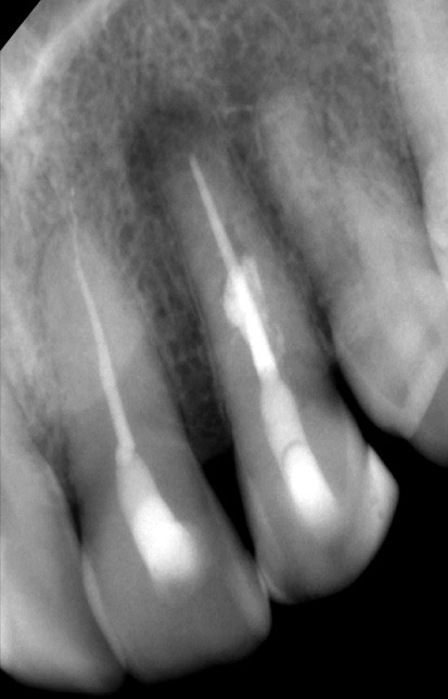
Quoi qu’il en soit, l’optimisation du traitement endodontique, si celui-ci est indiqué, sera facilitée par l’Er:YAG pour permettre à l’irrigant d’accéder à ces zones de résorption à distance du ou des canaux (fig. 9a et b). Une puissance légèrement supérieure (40 mJ ; 30 Hz) semble indiquée.
L’utilisation de biocéramiques, Bioroot, (Septodont) et Total Fill (FKG) permettra d’optimiser le scellement endodontique avec une propriété antibactérienne de longue durée, une adhérence aux parois dentinaires et un pH de 12,4 avec la libération d’OH2Ca à distance (fig. 10a à g).
Chirurgie endodontique
L’Er:YAG a également sa place en chirurgie endodontique. En mode ablatif, il permettra l’élimination des tissus de granulation et des tissus fibro-kystiques en assurant la stérilisation de la crypte osseuse ainsi formée.
La résection apicale et la préparation a retro exposent des canaux et des tubulis dentinaires infectés, qui pourront là aussi, être décontaminés par l’action du laser Er:YAG et de l’eau distillée [36].
Les espaces non accessibles à l’instrumentation conventionnelle pourront, là aussi, être débridés et stérilisés (fig. 11a à f). Cette procédure semble accélérer de manière très significative les processus de régénération osseuse (fig. 11f).
Les possibilités de l’endodontie sont très étendues, et permettent d’obtenir d’importantes régénérations osseuses physiologiques après nos traitements endodontiques conventionnels ou chirurgicaux.
En cas d’échec endodontique, avant de condamner une dent pour laquelle le retraitement n’est pas possible ou raisonnable et la chirurgie endodontique contre indiquée, il nous reste en dernier recours la réimplantation intentionnelle. L’intervention consiste à réaliser l’extraction atraumatique de la dent, la réséquer, l’obturer a retro et la repositionner dans l’alvéole.
Le laser Er:YAG permet de stériliser la partie apicale du canal, après l’avoir préparée a retro, ainsi que les tubulis dentinaires contaminés exposés.
Enfin, pendant la prise du matériau, le laser Er:YAG permet de pulvériser la lésion fibro-kystique et les tissus inflammatoires avant la réimplantation de la dent dans son alvéole ainsi stérilisée. Nous utilisons alors son mode photo ablatif décrit précédemment (fig. 12a à f).
Conclusion
Très vite, l’Er:YAG séduit par sa facilité de mise en œuvre et par les résultats, aussi bien immédiats, dans la visualisation radiographique des traitements endodontiques, que dans la rapidité de cicatrisation des traitements chirurgicaux. Le laser Er:YAG améliore la qualité des traitements, bouleverse parfois les idées reçues, mais n’est en aucun cas « magique ».
Son utilisation doit rester raisonnable et raisonnée. Il n’est que l’application de bases mécaniques et hydrauliques au service de l’endodontie.
Il lui a longtemps été reproché l’absence d’Evidence-Based, mais les Clinical-Based deviennent nombreuses. Les intuitions cliniques du passé sont progressivement appuyées par de nombreuses recherches, avec un bon niveau de preuves. Cet outil, pour ceux qui l’ont utilisé, devient incontournable dans l’optimisation qualitative des traitements endodontiques.
L’expérience de l’Er:YAG dans l’approche clinique se révèle irremplaçable et les résultats parlent d’eux-mêmes, repoussant de manière très significative le passage à l’implant.






































Commentaires